Tested Applications
| Positive WB detected in | mouse liver tissue, HepG2 cells |
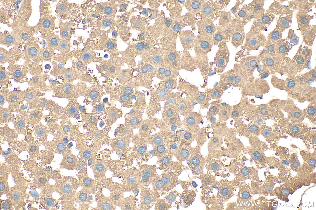
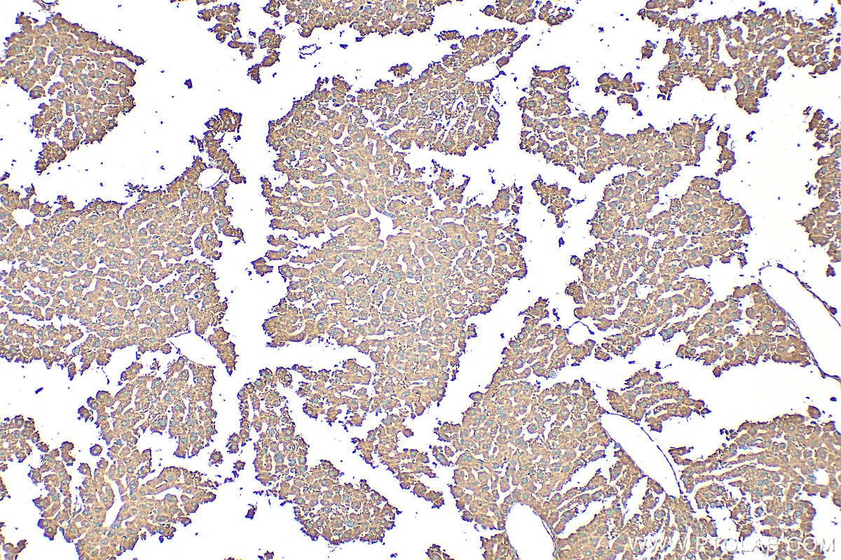
| Positive IHC detected in | mouse liver tissue Note: suggested antigen retrieval with TE buffer pH 9.0; (*) Alternatively, antigen retrieval may be performed with citrate buffer pH 6.0 |
Recommended dilution
| Application | Dilution |
|---|---|
| Western Blot (WB) | WB : 1:500-1:2000 |
| Immunohistochemistry (IHC) | IHC : 1:50-1:500 |
| It is recommended that this reagent should be titrated in each testing system to obtain optimal results. | |
| Sample-dependent, Check data in validation data gallery. | |
Product Information
27751-1-AP targets APOB in WB, IHC, ELISA applications and shows reactivity with human, mouse samples.
| Tested Reactivity | human, mouse |
| Host / Isotype | Rabbit / IgG |
| Class | Polyclonal |
| Type | Antibody |
| Immunogen |
CatNo: Ag26773 Product name: Recombinant human APOB protein Source: e coli.-derived, PGEX-4T Tag: GST Domain: 23-220 aa of NM_000384 Sequence: MAGARAEEEMLENVSLVCPKDATRFKHLRKYTYNYEAESSSGVPGTADSRSATRINCKVELEVPQLCSFILKTSQCTLKEVYGFNPEGKALLKKTKNSEEFAAAMSRYELKLAIPEGKQVFLYPEKDEPTYILNIKRGIISALLVPPETEEAKQVLFLDTVYGNCSTHFTVKTRKGNVATEISTERDLGQCDRFKPIRT Predict reactive species |
| Full Name | apolipoprotein B (including Ag(x) antigen) |
| Calculated Molecular Weight | 516 kDa |
| Observed Molecular Weight | 150-250 kDa, 400-520 kDa |
| GenBank Accession Number | NM_000384 |
| Gene Symbol | APOB |
| Gene ID (NCBI) | 338 |
| Conjugate | Unconjugated |
| Form | Liquid |
| Purification Method | Antigen affinity purification |
| UNIPROT ID | P04114 |
| Storage Buffer | PBS with 0.02% sodium azide and 50% glycerol, pH 7.3. |
| Storage Conditions | Store at -20°C. Stable for one year after shipment. Aliquoting is unnecessary for -20oC storage. 20ul sizes contain 0.1% BSA. |
Background Information
The apolipoprotein B (APOB) is a plasma protein synthesized primarily in the liver and intestine and play an important role in lipid and cholesterol metabolism. The APOB encodes two different isoproteins through mRNA editing, APOB-48 and APOB-100. APOB-48 and APOB-100 is present in both human liver and intestine. APOB-100 is essential for the assembly of VLDL in the liver. APOB-48 is essential for the assembly of chylomicrons in the intestine. It is well established that APOB-100 levels are associated with coronary heart disease. This antibody recognizes both of APOB-48, APOB-100 (PMID:11839763, PMID:2450346).
Protocols
| Product Specific Protocols | |
|---|---|
| IHC protocol for APOB antibody 27751-1-AP | Download protocol |
| WB protocol for APOB antibody 27751-1-AP | Download protocol |
| Standard Protocols | |
|---|---|
| Click here to view our Standard Protocols |







