Tested Applications
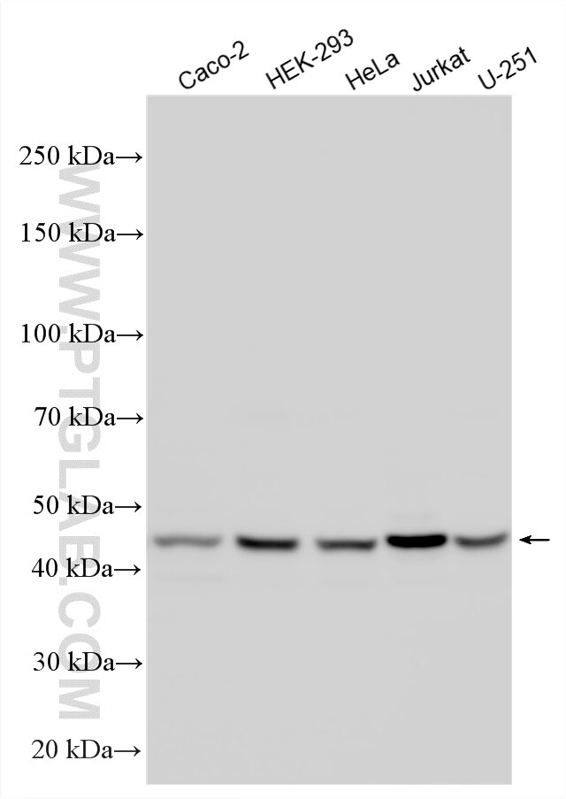
| Positive WB detected in | Caco-2 cells, COLO 320 cells, HEK-293 cells, HeLa cells, Jurkat cells, U-251 cells |
| Positive IF/ICC detected in | HeLa cells |
Recommended dilution
| Application | Dilution |
|---|---|
| Western Blot (WB) | WB : 1:5000-1:50000 |
| Immunofluorescence (IF)/ICC | IF/ICC : 1:50-1:500 |
| It is recommended that this reagent should be titrated in each testing system to obtain optimal results. | |
| Sample-dependent, Check data in validation data gallery. | |
Product Information
25558-1-AP targets ARMC6 in WB, IF/ICC, ELISA applications and shows reactivity with human samples.
| Tested Reactivity | human |
| Host / Isotype | Rabbit / IgG |
| Class | Polyclonal |
| Type | Antibody |
| Immunogen |
CatNo: Ag22278 Product name: Recombinant human ARMC6 protein Source: e coli.-derived, PGEX-4T Tag: GST Domain: 127-476 aa of BC067125 Sequence: QGLLLQSLNALSVLTDGQPDLLDAQGLQLLVATLTQNADEADLTCSGIRCVRHACLKHEQNRQDLVKAGVLPLLTGAITHHGHHTDVVREACWALRVMTFDDDIRVPFGHAHNHAKMIVQENKGLKVLIEATKAFLDNPGILSELCGTLSRLAIRNEFCQEVVDLGGLSILVSLLADCNDHQMRDQSGVQELVKQVLSTLRAIAGNDDVKDAIVRAGGTESIVAAMTQHLTSPQVCEQSCAALCFLALRKPDNSRIIVEGGGAVAALQAMKAHPQKAGVQKQACMLIRNLVAHGQAFSKPILDLGAEALIMQARSAHRDCEDVAKAALRDLGCHVELRELWTGQRGNLAP Predict reactive species |
| Full Name | armadillo repeat containing 6 |
| Calculated Molecular Weight | 501 aa, 54 kDa |
| Observed Molecular Weight | 40-50 kDa |
| GenBank Accession Number | BC067125 |
| Gene Symbol | ARMC6 |
| Gene ID (NCBI) | 93436 |
| RRID | AB_3085804 |
| Conjugate | Unconjugated |
| Form | Liquid |
| Purification Method | Antigen affinity purification |
| UNIPROT ID | Q6NXE6 |
| Storage Buffer | PBS with 0.02% sodium azide and 50% glycerol, pH 7.3. |
| Storage Conditions | Store at -20°C. Stable for one year after shipment. Aliquoting is unnecessary for -20oC storage. 20ul sizes contain 0.1% BSA. |
Background Information
ARMC6 (Armadillo repeat-containing protein 6) is a Protein Coding gene. Diseases associated with ARMC6 include Leber Congenital Amaurosis 1. The function of this gene's protein product has not been determined.
Protocols
| Product Specific Protocols | |
|---|---|
| IF protocol for ARMC6 antibody 25558-1-AP | Download protocol |
| WB protocol for ARMC6 antibody 25558-1-AP | Download protocol |
| Standard Protocols | |
|---|---|
| Click here to view our Standard Protocols |





