Tested Applications
| Positive WB detected in | L02 cells, mouse heart tissue, mouse liver tissue, rat heart tissue, rat liver tissue |
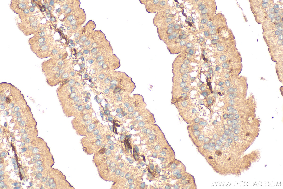
| Positive IHC detected in | mouse small intestine tissue Note: suggested antigen retrieval with TE buffer pH 9.0; (*) Alternatively, antigen retrieval may be performed with citrate buffer pH 6.0 |
| Positive IF/ICC detected in | HepG2 cells |
Recommended dilution
| Application | Dilution |
|---|---|
| Western Blot (WB) | WB : 1:500-1:3000 |
| Immunohistochemistry (IHC) | IHC : 1:50-1:500 |
| Immunofluorescence (IF)/ICC | IF/ICC : 1:50-1:500 |
| It is recommended that this reagent should be titrated in each testing system to obtain optimal results. | |
| Sample-dependent, Check data in validation data gallery. | |
Published Applications
| IHC | See 1 publications below |
Product Information
25616-1-AP targets ASB13 in WB, IHC, IF/ICC, ELISA applications and shows reactivity with human, mouse, rat samples.
| Tested Reactivity | human, mouse, rat |
| Cited Reactivity | human |
| Host / Isotype | Rabbit / IgG |
| Class | Polyclonal |
| Type | Antibody |
| Immunogen |
CatNo: Ag22533 Product name: Recombinant human ASB13 protein Source: e coli.-derived, PET30a Tag: 6*His Domain: 5-173 aa of BC012056 Sequence: AADGCFLGDVGFWVERTPVHEAAQRGESLQLQQLIESGACVNQVTVDSITPLHAASLQGQARCVQLLLAAGAQVDARNIDGSTPLCDACASGSIECVKLLLSYGAKVNPPLYTASPLHEACMSGSSECVRLLIDVGANLEAHDCHFGTPLHVACAREHLDCVKVLLNAA Predict reactive species |
| Full Name | ankyrin repeat and SOCS box-containing 13 |
| Calculated Molecular Weight | 278 aa, 30 kDa |
| Observed Molecular Weight | 30 kDa |
| GenBank Accession Number | BC012056 |
| Gene Symbol | ASB13 |
| Gene ID (NCBI) | 79754 |
| RRID | AB_2880162 |
| Conjugate | Unconjugated |
| Form | Liquid |
| Purification Method | Antigen affinity purification |
| UNIPROT ID | Q8WXK3 |
| Storage Buffer | PBS with 0.02% sodium azide and 50% glycerol, pH 7.3. |
| Storage Conditions | Store at -20°C. Stable for one year after shipment. Aliquoting is unnecessary for -20oC storage. 20ul sizes contain 0.1% BSA. |
Protocols
| Product Specific Protocols | |
|---|---|
| IF protocol for ASB13 antibody 25616-1-AP | Download protocol |
| IHC protocol for ASB13 antibody 25616-1-AP | Download protocol |
| WB protocol for ASB13 antibody 25616-1-AP | Download protocol |
| Standard Protocols | |
|---|---|
| Click here to view our Standard Protocols |







