Tested Applications
| Positive WB detected in | HepG2 cells, mouse liver tissue, HeLa cells, Jurkat cells |
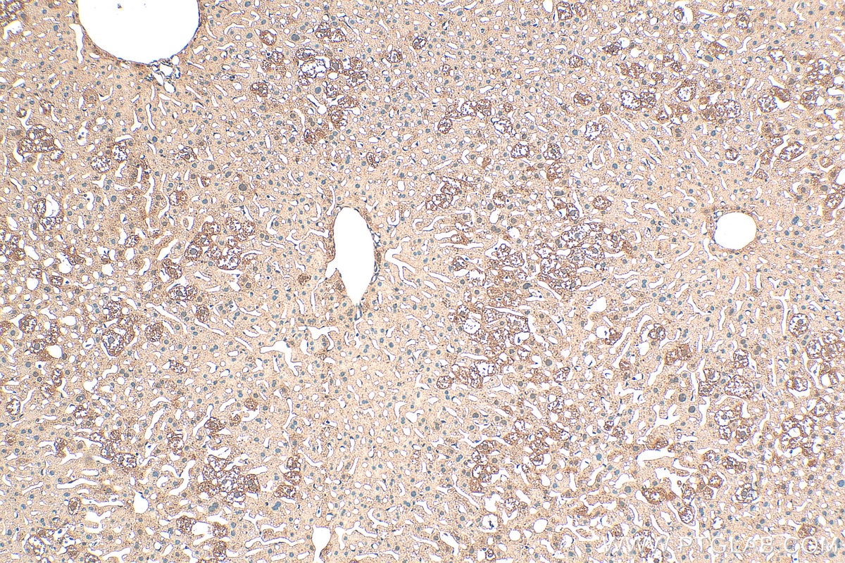
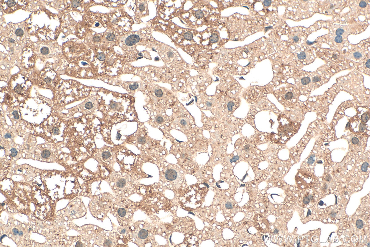
| Positive IHC detected in | mouse liver tissue Note: suggested antigen retrieval with TE buffer pH 9.0; (*) Alternatively, antigen retrieval may be performed with citrate buffer pH 6.0 |
Recommended dilution
| Application | Dilution |
|---|---|
| Western Blot (WB) | WB : 1:1000-1:6000 |
| Immunohistochemistry (IHC) | IHC : 1:50-1:500 |
| It is recommended that this reagent should be titrated in each testing system to obtain optimal results. | |
| Sample-dependent, Check data in validation data gallery. | |
Product Information
13973-1-AP targets ATE1 in WB, IHC, ELISA applications and shows reactivity with human, mouse, rat samples.
| Tested Reactivity | human, mouse, rat |
| Host / Isotype | Rabbit / IgG |
| Class | Polyclonal |
| Type | Antibody |
| Immunogen |
CatNo: Ag5006 Product name: Recombinant human ATE1 protein Source: e coli.-derived, PGEX-4T Tag: GST Domain: 219-518 aa of BC022026 Sequence: KLMQQNPAGELEGFQAQGHPPSLFPPKAKSNQPKSLEDLIFESLPENASHKLEVRLVPVSFEDPEFKSSFSQSFSLYVKYQVAIHQDPPDECGKTEFTRFLCSSPLEAETPPNGPDCGYGSFHQQYWLDGKIIAVGVIDILPNCVSSVYLYYDPDYSFLSLGVYSALREIAFTRQLHEKTSQLSYYYMGFYIHSCPKMKYKGQYRPSDLLCPETYVWVPIEQCLPSLENSKYCRFNQDPEAVDEDRSTEPDRLQVFHKRAIMPYGVYKKQQKDPSEEAAVLQYASLVGQKCSERMLLFRN Predict reactive species |
| Full Name | arginyltransferase 1 |
| Calculated Molecular Weight | 59 kDa |
| Observed Molecular Weight | 59-65 kDa |
| GenBank Accession Number | BC022026 |
| Gene Symbol | ATE1 |
| Gene ID (NCBI) | 11101 |
| RRID | AB_2060763 |
| Conjugate | Unconjugated |
| Form | Liquid |
| Purification Method | Antigen affinity purification |
| UNIPROT ID | O95260 |
| Storage Buffer | PBS with 0.02% sodium azide and 50% glycerol, pH 7.3. |
| Storage Conditions | Store at -20°C. Stable for one year after shipment. Aliquoting is unnecessary for -20oC storage. 20ul sizes contain 0.1% BSA. |
Background Information
Arginyltransferases (ATE1s) are eukaryotic enzymes that catalyze the non-ribosomal, post-translational addition of the amino acid arginine to an acceptor protein. ATE1 plays critical roles in many biological functions including cardiovascular development, angiogenesis, adipogenesis, muscle contraction, and metastasis of cancer.
Protocols
| Product Specific Protocols | |
|---|---|
| IHC protocol for ATE1 antibody 13973-1-AP | Download protocol |
| WB protocol for ATE1 antibody 13973-1-AP | Download protocol |
| Standard Protocols | |
|---|---|
| Click here to view our Standard Protocols |









