Tested Applications
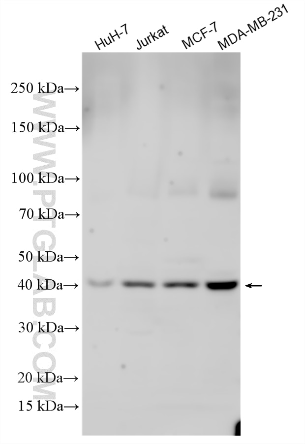
| Positive WB detected in | HuH-7 cells, Jurkat cells, MCF-7 cells, MDA-MB-231 cells |
Recommended dilution
| Application | Dilution |
|---|---|
| Western Blot (WB) | WB : 1:1000-1:4000 |
| It is recommended that this reagent should be titrated in each testing system to obtain optimal results. | |
| Sample-dependent, Check data in validation data gallery. | |
Product Information
16586-1-AP targets B3GAT3 in WB, ELISA applications and shows reactivity with human samples.
| Tested Reactivity | human |
| Host / Isotype | Rabbit / IgG |
| Class | Polyclonal |
| Type | Antibody |
| Immunogen |
CatNo: Ag8362 Product name: Recombinant human B3GAT3 protein Source: e coli.-derived, PET28a Tag: 6*His Domain: 1-335 aa of BC007906 Sequence: MKLKLKNVFLAYFLVSIAGLLYALVQLGQPCDCLPPLRAAAEQLRQKDLRISQLQAELRRPPPAPAQPPEPEALPTIYVVTPTYARLVQKAELVRLSQTLSLVPRLHWLLVEDAEGPTPLVSGLLAASGLLFTHLVVLTPKAQRLREGEPGWVHPRGVEQRNKALDWLRGRGGAVGGEKDPPPPGTQGVVYFADDDNTYSRELFEEMRWTRGVSVWPVGLVGGLRFEGPQVQDGRVVGFHTAWEPSRPFPVDMAGFAVALPLLLDKPNAQFDSTAPRGHLESSLLSHLVDPKDLEPRAANCTRVLVWHTRTEKPKMKQEEQLQRQGRGSDPAIEV Predict reactive species |
| Full Name | beta-1,3-glucuronyltransferase 3 (glucuronosyltransferase I) |
| Calculated Molecular Weight | 335 aa, 37 kDa |
| Observed Molecular Weight | 37-40 kDa |
| GenBank Accession Number | BC007906 |
| Gene Symbol | B3GAT3 |
| Gene ID (NCBI) | 26229 |
| RRID | AB_3741889 |
| Conjugate | Unconjugated |
| Form | Liquid |
| Purification Method | Antigen affinity purification |
| UNIPROT ID | O94766 |
| Storage Buffer | PBS with 0.02% sodium azide and 50% glycerol, pH 7.3. |
| Storage Conditions | Store at -20°C. Stable for one year after shipment. Aliquoting is unnecessary for -20oC storage. 20ul sizes contain 0.1% BSA. |
Background Information
B3GAT3 (Beta-1,3-Glucuronyltransferase 3), also known as Glucuronosyltransferase I (GlcAT-I), is an enzyme encoded by the B3GAT3 gene. This enzyme belongs to the glycosyltransferase family and catalyzes the transfer of glucuronic acid (GlcA) from UDP-GlcA to the terminal galactose residue of the linkage region tetrasaccharide (GlcA-Gal-Gal-Xyl-) during the biosynthesis of proteoglycans. The addition of glucuronic acid is a critical step in forming the glycosaminoglycan-protein linkage region, which serves as the attachment site for heparan sulfate and chondroitin sulfate chains. Mutations in the B3GAT3 gene cause a rare autosomal recessive disorder known as linkeropathy or B3GAT3-related multiple joint dislocations.
Protocols
| Product Specific Protocols | |
|---|---|
| WB protocol for B3GAT3 antibody 16586-1-AP | Download protocol |
| Standard Protocols | |
|---|---|
| Click here to view our Standard Protocols |

