Tested Applications
| Positive WB detected in | rat pancreas tissue |
| Positive IP detected in | mouse liver tissue |
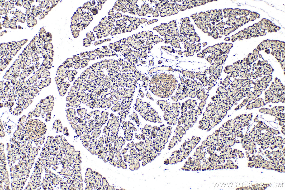
| Positive IHC detected in | mouse pancreas tissue Note: suggested antigen retrieval with TE buffer pH 9.0; (*) Alternatively, antigen retrieval may be performed with citrate buffer pH 6.0 |
Recommended dilution
| Application | Dilution |
|---|---|
| Western Blot (WB) | WB : 1:200-1:1000 |
| Immunoprecipitation (IP) | IP : 0.5-4.0 ug for 1.0-3.0 mg of total protein lysate |
| Immunohistochemistry (IHC) | IHC : 1:50-1:500 |
| It is recommended that this reagent should be titrated in each testing system to obtain optimal results. | |
| Sample-dependent, Check data in validation data gallery. | |
Product Information
25140-1-AP targets MIST1 in WB, IHC, IP, ELISA applications and shows reactivity with human, mouse, rat samples.
| Tested Reactivity | human, mouse, rat |
| Host / Isotype | Rabbit / IgG |
| Class | Polyclonal |
| Type | Antibody |
| Immunogen |
CatNo: Ag18199 Product name: Recombinant human BHLHA15 protein Source: e coli.-derived, PGEX-4T Tag: GST Domain: 1-189 aa of BC113394 Sequence: MKTKNRPPRRRAPVQDTEATPGEGTPDGSLPNPGPEPAKGLRSRPARAAARAPGEGRRRRPGPSGPGGRRDSSIQRRLESNERERQRMHKLNNAFQALREVIPHVRADKKLSKIETLTLAKNYIKSLTATILTMSSSRLPGLEGPGPKLYQHYQQQQQVAGGALGATEAQPQGHLQRYSTQIHSFREGT Predict reactive species |
| Full Name | basic helix-loop-helix family, member a15 |
| Calculated Molecular Weight | 189 aa, 21 kDa |
| Observed Molecular Weight | 30 kDa |
| GenBank Accession Number | BC113394 |
| Gene Symbol | MIST1 |
| Gene ID (NCBI) | 168620 |
| RRID | AB_2879920 |
| Conjugate | Unconjugated |
| Form | Liquid |
| Purification Method | Antigen affinity purification |
| UNIPROT ID | Q7RTS1 |
| Storage Buffer | PBS with 0.02% sodium azide and 50% glycerol, pH 7.3. |
| Storage Conditions | Store at -20°C. Stable for one year after shipment. Aliquoting is unnecessary for -20oC storage. 20ul sizes contain 0.1% BSA. |
Protocols
| Product Specific Protocols | |
|---|---|
| IHC protocol for MIST1 antibody 25140-1-AP | Download protocol |
| IP protocol for MIST1 antibody 25140-1-AP | Download protocol |
| WB protocol for MIST1 antibody 25140-1-AP | Download protocol |
| Standard Protocols | |
|---|---|
| Click here to view our Standard Protocols |







