Tested Applications
| Positive WB detected in | PC-3 cells, HepG2 cells |
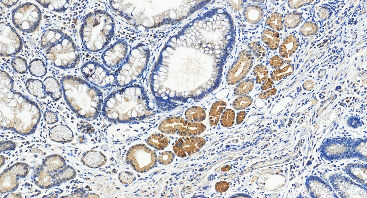
| Positive IHC detected in | human stomach cancer tissue Note: suggested antigen retrieval with TE buffer pH 9.0; (*) Alternatively, antigen retrieval may be performed with citrate buffer pH 6.0 |
Recommended dilution
| Application | Dilution |
|---|---|
| Western Blot (WB) | WB : 1:500-1:1000 |
| Immunohistochemistry (IHC) | IHC : 1:500-1:2000 |
| It is recommended that this reagent should be titrated in each testing system to obtain optimal results. | |
| Sample-dependent, Check data in validation data gallery. | |
Product Information
27028-1-AP targets ERCC6L2 in WB, IHC, ELISA applications and shows reactivity with human samples.
| Tested Reactivity | human |
| Host / Isotype | Rabbit / IgG |
| Class | Polyclonal |
| Type | Antibody |
| Immunogen |
CatNo: Ag19348 Product name: Recombinant human C9orf102 protein Source: e coli.-derived, PGEX-4T Tag: GST Domain: 358-712 aa of BC140702 Sequence: KRELATGRKAMQRLAKKMSGWFLRRTKTLIKDQLPKKEDRMVYCSLTDFQKAVYQTVLETEDVTLILQSSEPCTCRSGQKRRNCCYKTNSHGETVKTLYLSYLTVLQKVANHVALLQAASTSKQQETLIKRICDQVFSRFPDFVQKSKDAAFETLSDPKYSGKMKVLQQLLNHCRKNRDKVLLFSFSTKLLDVLQQYCMASGLDYRRLDGSTKSEERLKIVKEFNSTQDVNICLVSTMAGGLGLNFVGANVVVLFDPTWNPANDLQAIDRAYRIGQCRDVKVLRLISLGTVEEIMYLRQIYKQQLHCVVVGSENAKRYFEAVQGSKEHQGELFGIHNLFKFRSQGSCLTKDILEV Predict reactive species |
| Full Name | chromosome 9 open reading frame 102 |
| Calculated Molecular Weight | 712 aa, 81 kDa |
| Observed Molecular Weight | 70-80 kDa |
| GenBank Accession Number | BC140702 |
| Gene Symbol | ERCC6L2 |
| Gene ID (NCBI) | 375748 |
| RRID | AB_2880729 |
| Conjugate | Unconjugated |
| Form | Liquid |
| Purification Method | Protein A purification |
| UNIPROT ID | Q5T890 |
| Storage Buffer | PBS with 0.02% sodium azide and 50% glycerol, pH 7.3. |
| Storage Conditions | Store at -20°C. Stable for one year after shipment. Aliquoting is unnecessary for -20oC storage. 20ul sizes contain 0.1% BSA. |
Background Information
ERCC6L2 , also known as RAD26L or C9orf102 belongs to the SNF2/RAD54 helicase family and is expressed in bone marrow. C9orf102 may be involved in early DNA damage response. C9orf102 is phosphorylated by NEK6. C9orf102 exists some isoforms with the molecular weight 177, 80, 60, 40 kDa.
Protocols
| Product Specific Protocols | |
|---|---|
| IHC protocol for ERCC6L2 antibody 27028-1-AP | Download protocol |
| WB protocol for ERCC6L2 antibody 27028-1-AP | Download protocol |
| Standard Protocols | |
|---|---|
| Click here to view our Standard Protocols |





