Tested Applications
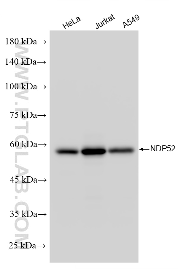
| Positive WB detected in | HeLa cells, human placenta tissue, Jurkat cells, mouse skeletal muscle tissue, rat skeletal muscle tissue, A549 cells | 
| Positive IP detected in | HeLa cells | 
| Positive IHC detected in | human ovary cancer tissue, human ovary tumor tissue,  human skeletal muscle tissue Note: suggested antigen retrieval with TE buffer pH 9.0; (*) Alternatively, antigen retrieval may be performed with citrate buffer pH 6.0 | 
| Positive IF/ICC detected in | HeLa cells | 
Recommended dilution
| Application | Dilution | 
|---|---|
| Western Blot (WB) | WB : 1:5000-1:50000 | 
| Immunoprecipitation (IP) | IP : 0.5-4.0 ug for 1.0-3.0 mg of total protein lysate | 
| Immunohistochemistry (IHC) | IHC : 1:200-1:800 | 
| Immunofluorescence (IF)/ICC | IF/ICC : 1:200-1:800 | 
| It is recommended that this reagent should be titrated in each testing system to obtain optimal results. | |
| Sample-dependent, Check data in validation data gallery. | |
Published Applications
| KD/KO | See 8 publications below | 
| WB | See 54 publications below | 
| IHC | See 1 publications below | 
| IF | See 7 publications below | 
| IP | See 5 publications below | 
| CoIP | See 2 publications below | 
Product Information
12229-1-AP targets NDP52 in WB, IHC, IF/ICC, IP, CoIP, ELISA applications and shows reactivity with human, mouse, rat samples.
| Tested Reactivity | human, mouse, rat | 
| Cited Reactivity | human, mouse, rat, pig, monkey | 
| Host / Isotype | Rabbit / IgG | 
| Class | Polyclonal | 
| Type | Antibody | 
| Immunogen | CatNo: Ag2866 Product name: Recombinant human CALCOCO2 protein Source: e coli.-derived, PGEX-4T Tag: GST Domain: 1-283 aa of BC015893 Sequence: MEETIKDPPTSAVLLDHCHFSQVIFNSVEKFYIPGGDVTCHYTFTQHFIPRRKDWIGIFRVGWKTTREYYTFMWVTLPIDLNNKSAKQQEVQFKAYYLPKDDEYYQFCYVDEDGVVRGASIPFQFRPENEEDILVVTTQGEVEEIEQHNKELCKENQELKDSCISLQKQNSDMQAELQKKQEELETLQSINKKLELKVKEQKDYWETELLQLKEQNQKMSSENEKMGIRVDQLQAQLSTQEKEMEKLVQGDQDKTEQLEQLKKENDHLFLSLTEQRKDQKKLEPredict reactive species | 
| Full Name | calcium binding and coiled-coil domain 2 | 
| Calculated Molecular Weight | 446 aa, 52 kDa | 
| Observed Molecular Weight | 52 kDa | 
| GenBank Accession Number | BC015893 | 
| Gene Symbol | NDP52 | 
| Gene ID (NCBI) | 10241 | 
| RRID | AB_11182600 | 
| Conjugate | Unconjugated | 
| Form | Liquid | 
| Purification Method | Antigen affinity purification | 
| UNIPROT ID | Q13137 | 
| Storage Buffer | PBS with 0.02% sodium azide and 50% glycerol, pH 7.3. | 
| Storage Conditions | Store at -20°C. Stable for one year after shipment. Aliquoting is unnecessary for -20oC storage. 20ul sizes contain 0.1% BSA. | 
Background Information
NDP52, also named as CALCOCO2, is an autophagy receptor. It plays a role in ruffle formation and actin cytoskeleton organization. Mouse/Rat NDP52 has some isoforms with MW 28-40 kDa and 67 kDa. Human NDP52 has some isoforms with MW 43-47 kDa and 52-55 kDa,
Protocols
| Product Specific Protocols | |
|---|---|
| IF protocol for NDP52 antibody 12229-1-AP | Download protocol | 
| IHC protocol for NDP52 antibody 12229-1-AP | Download protocol | 
| IP protocol for NDP52 antibody 12229-1-AP | Download protocol | 
| WB protocol for NDP52 antibody 12229-1-AP | Download protocol | 
| Standard Protocols | |
|---|---|
| Click here to view our Standard Protocols | 
Publications
| Species | Application | Title | 
|---|---|---|
| Autophagy TOLLIP-mediated autophagic degradation pathway links the VCP-TMEM63A-DERL1 signaling axis to triple-negative breast cancer progression | ||
| Autophagy ATG4B antagonizes antiviral immunity by GABARAP-directed autophagic degradation of TBK1 | ||
| Nat Commun TDP-43 and PINK1 mediate CHCHD10S59L mutation-induced defects in Drosophila and in vitro. | ||
| Nat Commun Microglia clear neuron-released α-synuclein via selective autophagy and prevent neurodegeneration. | 






































