Tested Applications
| Positive WB detected in | mouse testis tissue, rat testis tissue |
| Positive IP detected in | mouse testis tissue |
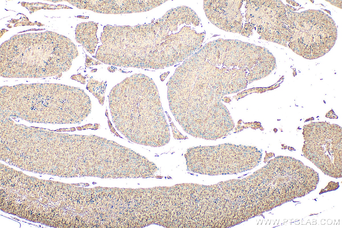
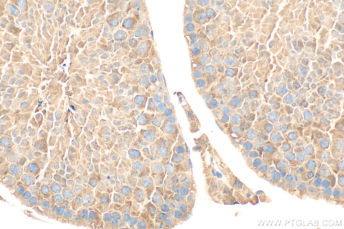
| Positive IHC detected in | mouse testis tissue Note: suggested antigen retrieval with TE buffer pH 9.0; (*) Alternatively, antigen retrieval may be performed with citrate buffer pH 6.0 |
| Positive IF/ICC detected in | U2OS cells |
Recommended dilution
| Application | Dilution |
|---|---|
| Western Blot (WB) | WB : 1:500-1:2000 |
| Immunoprecipitation (IP) | IP : 0.5-4.0 ug for 1.0-3.0 mg of total protein lysate |
| Immunohistochemistry (IHC) | IHC : 1:50-1:500 |
| Immunofluorescence (IF)/ICC | IF/ICC : 1:50-1:500 |
| It is recommended that this reagent should be titrated in each testing system to obtain optimal results. | |
| Sample-dependent, Check data in validation data gallery. | |
Published Applications
| WB | See 1 publications below |
| IF | See 1 publications below |
Product Information
24376-1-AP targets CCDC65 in WB, IHC, IF/ICC, IP, ELISA applications and shows reactivity with human, mouse, rat samples.
| Tested Reactivity | human, mouse, rat |
| Cited Reactivity | human |
| Host / Isotype | Rabbit / IgG |
| Class | Polyclonal |
| Type | Antibody |
| Immunogen |
CatNo: Ag19357 Product name: Recombinant human CCDC65 protein Source: e coli.-derived, PGEX-4T Tag: GST Domain: 12-325 aa of BC039317 Sequence: LSDEKQLLLFQQKLLAEEEMAKKKERLLSQFLKDKLAKEEHNSALNLNKINTQWRTVLREVKTRELHKDIEILSQTFERVVDCKDNVIKSLAKDLSEAEEQYAHALRSHLHNVDQLLALQRHRLSLLEESYNMELEALTKEFETERKTIIDQHEKEIHYLQDIFMAMEQNYIDSEYESKLEFQSMWNDLKNMNLEEKHFLRLHLENRVEDLWRKFQDVLKNYTDATEDRKAAFETLQVKDEKSSKEIEVQMKKIQKLQDAITISKGKIMIHSRESEDENRYIRNDKELVLVQLRKLKAQRTQARAASQKNLVRL Predict reactive species |
| Full Name | coiled-coil domain containing 65 |
| Calculated Molecular Weight | 484 aa, 57 kDa |
| Observed Molecular Weight | 57 kDa |
| GenBank Accession Number | BC039317 |
| Gene Symbol | CCDC65 |
| Gene ID (NCBI) | 85478 |
| RRID | AB_2879513 |
| Conjugate | Unconjugated |
| Form | Liquid |
| Purification Method | Antigen affinity purification |
| UNIPROT ID | Q8IXS2 |
| Storage Buffer | PBS with 0.02% sodium azide and 50% glycerol, pH 7.3. |
| Storage Conditions | Store at -20°C. Stable for one year after shipment. Aliquoting is unnecessary for -20oC storage. 20ul sizes contain 0.1% BSA. |
Background Information
CCDC65, also known as DRC2, is a sperm tail protein highly expressed in adult testis, spermatocytes, and spermatids. It is a component of the nexin-dynein regulatory complex (N-DRC), a structure important for regulating and orchestrating dynein activity. Mutations in CCDC65 are associated with primary ciliary dyskinesia (PCD), a genetic disorder that affects the structure and function of cilia(PMID: 23991085).
Protocols
| Product Specific Protocols | |
|---|---|
| IF protocol for CCDC65 antibody 24376-1-AP | Download protocol |
| IHC protocol for CCDC65 antibody 24376-1-AP | Download protocol |
| IP protocol for CCDC65 antibody 24376-1-AP | Download protocol |
| WB protocol for CCDC65 antibody 24376-1-AP | Download protocol |
| Standard Protocols | |
|---|---|
| Click here to view our Standard Protocols |
Publications
| Species | Application | Title |
|---|---|---|
Int J Biol Sci CCDC65, a Gene Knockout that leads to Early Death of Mice, acts as a potentially Novel Tumor Suppressor in Lung Adenocarcinoma. | ||
Andrology A recurrent loss-of-function variant in DRC1 causes non-syndromic severe asthenozoospermia with favorable intracytoplasmic sperm injection and pregnancy outcomes |











