Tested Applications
| Positive WB detected in | MCF-7 cells, HEK-293 cells, HeLa cells, mouse heart tissue |
| Positive IHC detected in | human liver cancer tissue, human brain tissue Note: suggested antigen retrieval with TE buffer pH 9.0; (*) Alternatively, antigen retrieval may be performed with citrate buffer pH 6.0 |
Recommended dilution
| Application | Dilution |
|---|---|
| Western Blot (WB) | WB : 1:1000-1:8000 |
| Immunohistochemistry (IHC) | IHC : 1:20-1:200 |
| It is recommended that this reagent should be titrated in each testing system to obtain optimal results. | |
| Sample-dependent, Check data in validation data gallery. | |
Published Applications
| KD/KO | See 1 publications below |
| WB | See 7 publications below |
| IHC | See 1 publications below |
| IF | See 1 publications below |
Product Information
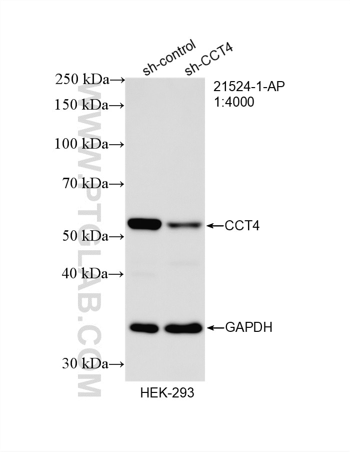
21524-1-AP targets CCT4 in WB, IHC, IF, ELISA applications and shows reactivity with human, mouse, rat samples.
| Tested Reactivity | human, mouse, rat |
| Cited Reactivity | human, mouse |
| Host / Isotype | Rabbit / IgG |
| Class | Polyclonal |
| Type | Antibody |
| Immunogen |
CatNo: Ag16128 Product name: Recombinant human CCT4 protein Source: e coli.-derived, PGEX-4T Tag: GST Domain: 108-407 aa of BC106934 Sequence: SVVIIAGSLLDSCTKLLQKGIHPTIISESFQKALEKGIEILTDMSRPVELSDRETLLNSATTSLNSKVVSQYSSLLSPMSVNAVMKVIDPATATSVDLRDIKIVKKLGGTIDDCELVEGLVLTQKVSNSGITRVEKAKIGLIQFCLSAPKTDMDNQIVVSDYAQMDRVLREERAYILNLVKQIKKTGCNVLLIQKSILRDALSDLALHFLNKMKIMVIKDIEREDIEFICKTIGTKPVAHIDQFTADMLGSAELAEEVNLNGSGKLLKITGCASPGKTVTIVVRGSNKLVIEEAERSIHD Predict reactive species |
| Full Name | chaperonin containing TCP1, subunit 4 (delta) |
| Calculated Molecular Weight | 539 aa, 58 kDa |
| Observed Molecular Weight | 58-60 kDa |
| GenBank Accession Number | BC106934 |
| Gene Symbol | CCT4 |
| Gene ID (NCBI) | 10575 |
| RRID | AB_10733520 |
| Conjugate | Unconjugated |
| Form | Liquid |
| Purification Method | Antigen affinity purification |
| UNIPROT ID | P50991 |
| Storage Buffer | PBS with 0.02% sodium azide and 50% glycerol, pH 7.3. |
| Storage Conditions | Store at -20°C. Stable for one year after shipment. Aliquoting is unnecessary for -20oC storage. 20ul sizes contain 0.1% BSA. |
Background Information
CCT4 (Chaperonin containing TCP1 complex 4), also known as TCP-1-delta, is a recent identified member of the family, that serves as a component of the chaperonin-containing TCP1 complex (TRiC) and also functions as a monomer. CCT4 has been shown to influence the cytoskeletal structure and regulate F-actin organization independently of TRiC (PMID: 41104595). CCT4 was highly expressed in human ESCC tissues and cell lines, and closely related to the poor prognosis (PMID: 36102200).
Protocols
| Product Specific Protocols | |
|---|---|
| IHC protocol for CCT4 antibody 21524-1-AP | Download protocol |
| WB protocol for CCT4 antibody 21524-1-AP | Download protocol |
| Standard Protocols | |
|---|---|
| Click here to view our Standard Protocols |
Publications
| Species | Application | Title |
|---|---|---|
Cell CCT2 is an aggrephagy receptor for clearance of solid protein aggregates.
| ||
Mol Ther Nucleic Acids hsa_circ_0001018 promotes papillary thyroid cancer by facilitating cell survival, invasion, G1/S cell cycle progression, and repressing cell apoptosis via crosstalk with miR-338-3p and SOX4. | ||
Pathog Dis Serum antibody response to group II chaperonin from Methanobrevibacter oralis and human chaperonin CCT. | ||
Medicine (Baltimore) Chaperonin-containing TCP-1 subunit genes are potential prognostic biomarkers and are correlated with Th2 cell infiltration in lung adenocarcinoma: An observational study | ||
Mol Carcinog CCT4 knockdown enhances the sensitivity of cisplatin by inhibiting glycolysis in human esophageal squamous cell carcinomas |

















