Tested Applications
| Positive WB detected in | A431 cells, THP-1 cells |
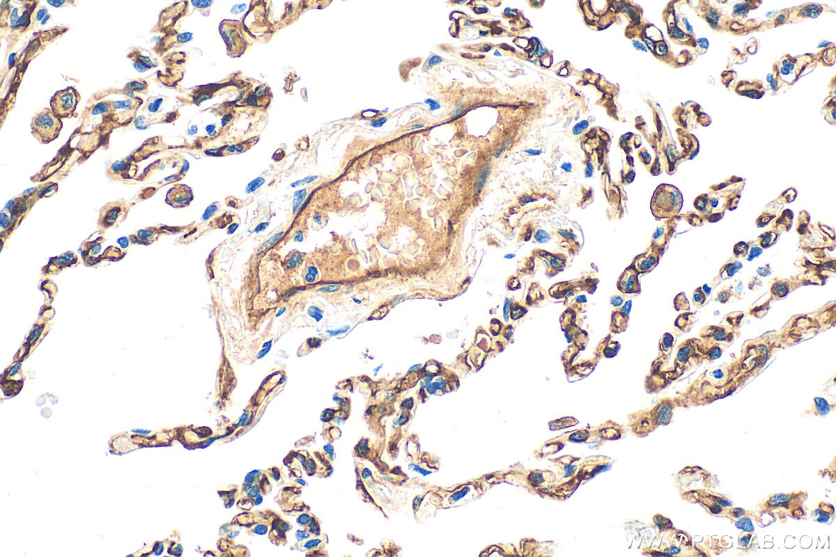
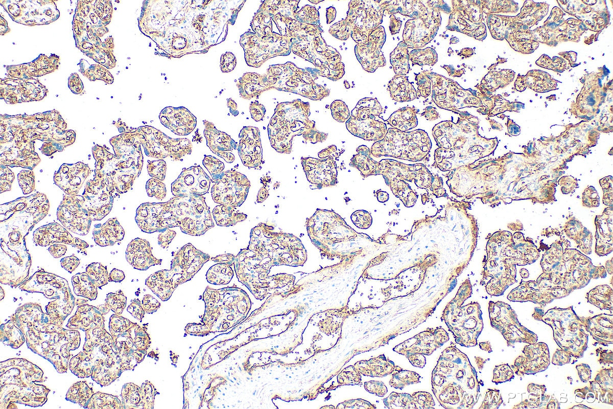
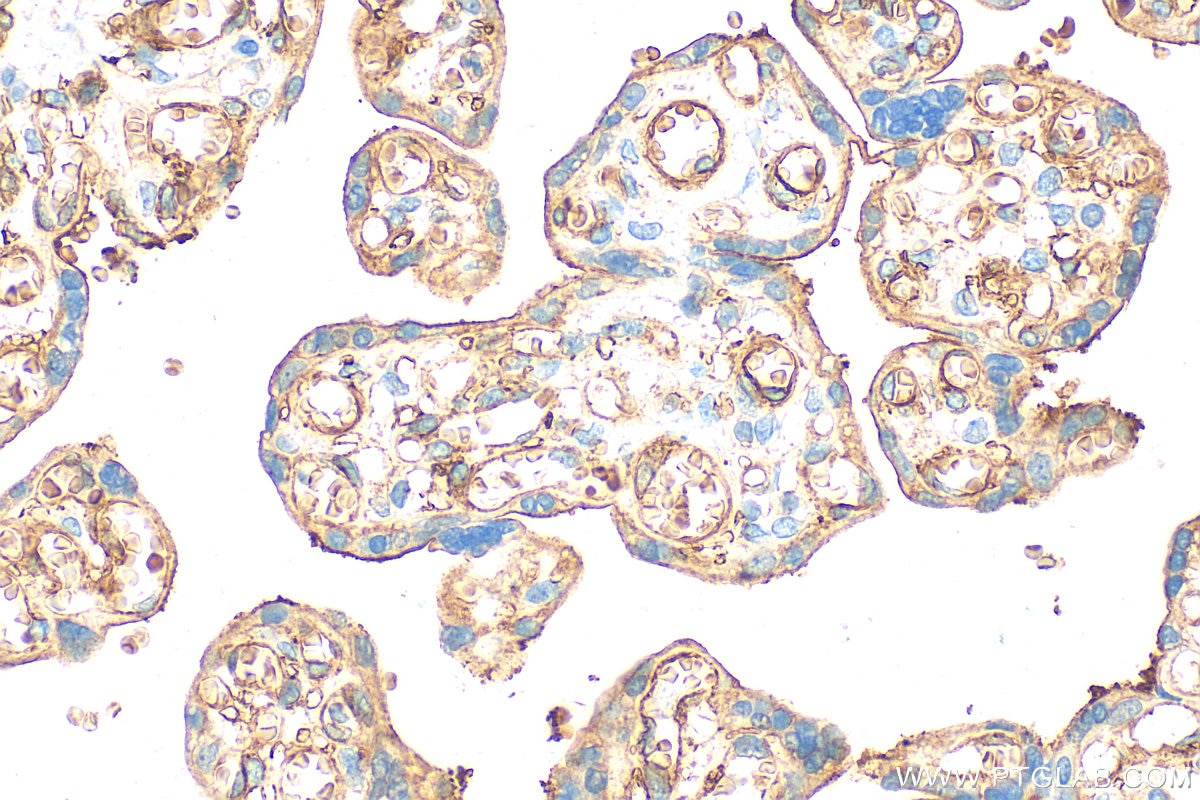
| Positive IHC detected in | human placenta tissue, human lung tissue Note: suggested antigen retrieval with TE buffer pH 9.0; (*) Alternatively, antigen retrieval may be performed with citrate buffer pH 6.0 |
| Positive IF/ICC detected in | HUVEC cells |
Recommended dilution
| Application | Dilution |
|---|---|
| Western Blot (WB) | WB : 1:2000-1:10000 |
| Immunohistochemistry (IHC) | IHC : 1:200-1:800 |
| Immunofluorescence (IF)/ICC | IF/ICC : 1:50-1:500 |
| It is recommended that this reagent should be titrated in each testing system to obtain optimal results. | |
| Sample-dependent, Check data in validation data gallery. | |
Product Information
31339-1-AP targets CD141/Thrombomodulin in WB, IHC, IF/ICC, ELISA applications and shows reactivity with human samples.
| Tested Reactivity | human |
| Host / Isotype | Rabbit / IgG |
| Class | Polyclonal |
| Type | Antibody |
| Immunogen |
CatNo: Eg0944 Product name: Recombinant human Thrombomodulin protein Source: mammalian cells-derived, pHZ-KIsec-C-6*HIS Tag: C-6*HIS Domain: 19-515 aa of NM_000361.3 Sequence: APAEPQPGGSQCVEHDCFALYPGPATFLNASQICDGLRGHLMTVRSSVAADVISLLLNGDGGVGRRRLWIGLQLPPGCGDPKRLGPLRGFQWVTGDNNTSYSRWARLDLNGAPLCGPLCVAVSAAEATVPSEPIWEEQQCEVKADGFLCEFHFPATCRPLAVEPGAAAAAVSITYGTPFAARGADFQALPVGSSAAVAPLGLQLMCTAPPGAVQGHWAREAPGAWDCSVENGGCEHACNAIPGAPRCQCPAGAALQADGRSCTASATQSCNDLCEHFCVPNPDQPGSYSCMCETGYRLAADQHRCEDVDDCILEPSPCPQRCVNTQGGFECHCYPNYDLVDGECVEPVDPCFRANCEYQCQPLNQTSYLCVCAEGFAPIPHEPHRCQMFCNQTACPADCDPNTQASCECPEGYILDDGFICTDIDECENGGFCSGVCHNLPGTFECICGPDSALARHIGTDCDSGKVDGGDSGSGEPPPSPTPGSTLTPPAVGLVHS Predict reactive species |
| Full Name | thrombomodulin |
| Calculated Molecular Weight | 60 kDa |
| Observed Molecular Weight | 90-100 kDa |
| GenBank Accession Number | NM_000361.3 |
| Gene Symbol | THBD |
| Gene ID (NCBI) | 7056 |
| RRID | AB_3669952 |
| Conjugate | Unconjugated |
| Form | Liquid |
| Purification Method | Antigen affinity purification |
| UNIPROT ID | P07204 |
| Storage Buffer | PBS with 0.02% sodium azide and 50% glycerol, pH 7.3. |
| Storage Conditions | Store at -20°C. Stable for one year after shipment. Aliquoting is unnecessary for -20oC storage. 20ul sizes contain 0.1% BSA. |
Background Information
Thrombomodulin, also known as CD141, is an endothelial cell surface glycoprotein that forms a 1:1 complex with the coagulation factor thrombin and plays an important role as a natural anticoagulant. Thrombomodulin serves to convert thrombin from a procoagulant protein into the activator for protein C. Once converted to activated protein C (APC), this protein serves as a major anticoagulant in blood (PMID: 2827310). Thrombomodulin is also located in other cells (keratinocytes, osteoblasts, macrophages,...) where it might be involved in cell differentiation or in inflammation (PMID: 9814688). In humans, thrombomodulin is encoded by the THBD gene. Mutations in this gene are a cause of thromboembolic disease, also known as inherited thrombophilia. Thrombomodulin is glycosylated and has an apparent molecular weight of 75 to 110 kDa (PMID: 1650405; 2827310).
Protocols
| Product Specific Protocols | |
|---|---|
| IF protocol for CD141/Thrombomodulin antibody 31339-1-AP | Download protocol |
| IHC protocol for CD141/Thrombomodulin antibody 31339-1-AP | Download protocol |
| WB protocol for CD141/Thrombomodulin antibody 31339-1-AP | Download protocol |
| Standard Protocols | |
|---|---|
| Click here to view our Standard Protocols |











