Tested Applications
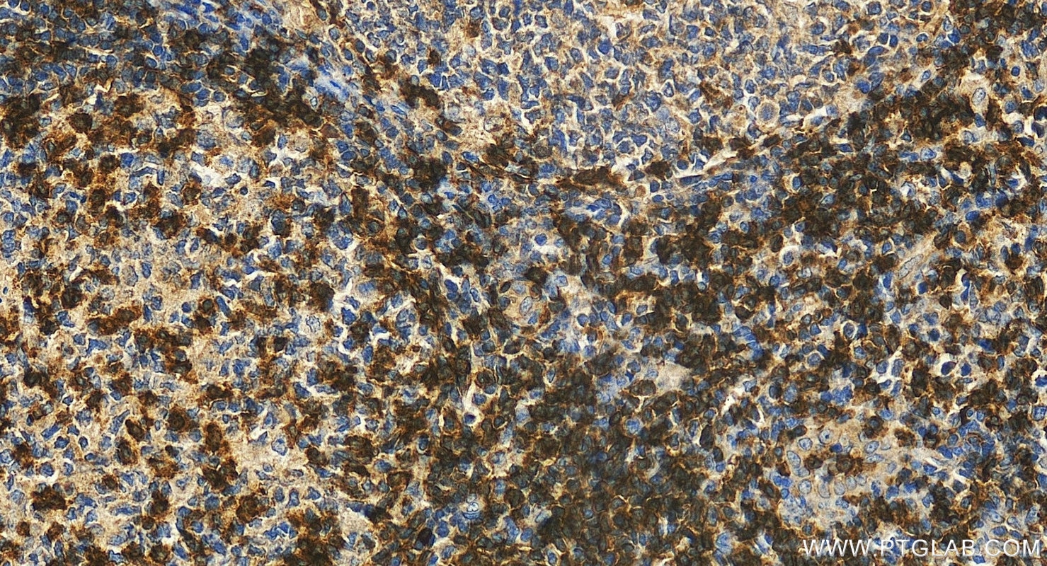
| Positive IHC detected in | human tonsillitis tissue Note: suggested antigen retrieval with TE buffer pH 9.0; (*) Alternatively, antigen retrieval may be performed with citrate buffer pH 6.0 |
Recommended dilution
| Application | Dilution |
|---|---|
| Immunohistochemistry (IHC) | IHC : 1:200-1:800 |
| It is recommended that this reagent should be titrated in each testing system to obtain optimal results. | |
| Sample-dependent, Check data in validation data gallery. | |
Product Information
16763-1-AP targets CD6 in IHC, ELISA applications and shows reactivity with human samples.
| Tested Reactivity | human |
| Host / Isotype | Rabbit / IgG |
| Class | Polyclonal |
| Type | Antibody |
| Immunogen |
CatNo: Ag10336 Product name: Recombinant human CD6 protein Source: e coli.-derived, PGEX-4T Tag: GST Domain: 16-350 aa of BC078669 Sequence: SGHPSPAPPDQLNTSSAESELWEPGERLPVRLTNGSSSCSGTVEVRLEASWEPACGALWDSRAAEAVCRALGCGGAEAASQLAPPTPELPPPPAAGNTSVAANATLAGAPALLCSGAEWRLCEVVEHACRSDGRRARVTCAENRALRLVDGGGACAGRVEMLEHGEWGSVCDDTWDLEDAHVVCRQLGCGWAVQALPGLHFMPGRGPIHRDQVNCSGAEAYLWDCPGLPGQHYCGHKEDAGVVCSEHQSWRLTGGADRCEGQVEVHFRGVWNTVCDSEWYPSEAKVLCQSLGCGTAVERPKGLPHSLSGRMYYSCNGEELTLSNCSWRFNNSNLC Predict reactive species |
| Full Name | CD6 molecule |
| Calculated Molecular Weight | 668 aa, 72 kDa |
| GenBank Accession Number | BC078669 |
| Gene Symbol | CD6 |
| Gene ID (NCBI) | 923 |
| RRID | AB_2878312 |
| Conjugate | Unconjugated |
| Form | Liquid |
| Purification Method | Antigen affinity purification |
| UNIPROT ID | P30203 |
| Storage Buffer | PBS with 0.02% sodium azide and 50% glycerol, pH 7.3. |
| Storage Conditions | Store at -20°C. Stable for one year after shipment. Aliquoting is unnecessary for -20oC storage. 20ul sizes contain 0.1% BSA. |
Background Information
CD6 is a type I transmembrane glycoprotein of 105-130 kDa that belongs to the scavenger receptor cysteine-rich superfamily (PMID: 21880988). It is composed of an extracellular region, which consists of three tandem SRCR domains, a transmembrane region, and a cytoplasmic tail devoid of intrinsic catalytic activity but harboring several phosphorylatable residues suitable for intracellular signal transduction (PMID: 38139340; 23711376). CD6 is expressed by T cells, medullary thymocytes, a subset of B cells and NK cells, and in some cells of the brain (PMID: 1919444; 21178331). CD6 plays a role in lymphocyte activation, proliferation, and survival processes via interaction with its endogenous ligands.
Protocols
| Product Specific Protocols | |
|---|---|
| IHC protocol for CD6 antibody 16763-1-AP | Download protocol |
| Standard Protocols | |
|---|---|
| Click here to view our Standard Protocols |



