Tested Applications
| Positive WB detected in | mouse pancreas tissue, human placenta tissue |
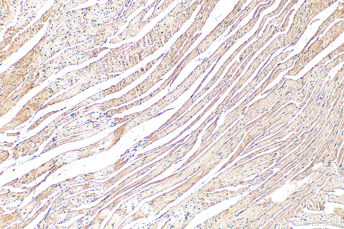
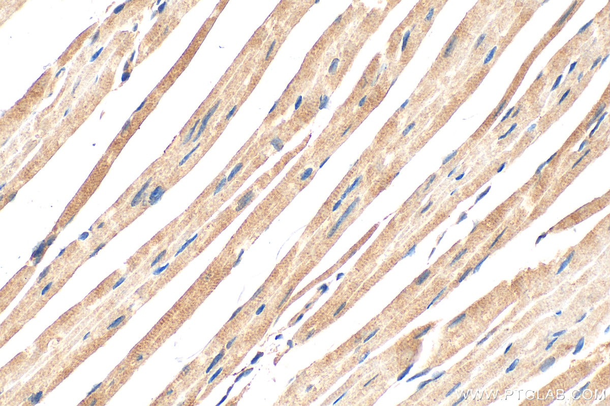
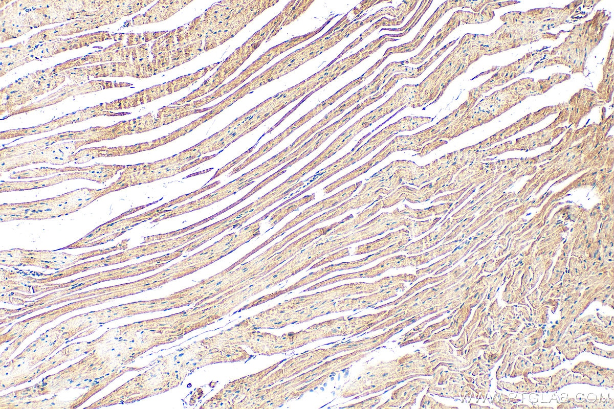
| Positive IHC detected in | mouse heart tissue Note: suggested antigen retrieval with TE buffer pH 9.0; (*) Alternatively, antigen retrieval may be performed with citrate buffer pH 6.0 |
Recommended dilution
| Application | Dilution |
|---|---|
| Western Blot (WB) | WB : 1:500-1:2000 |
| Immunohistochemistry (IHC) | IHC : 1:50-1:500 |
| It is recommended that this reagent should be titrated in each testing system to obtain optimal results. | |
| Sample-dependent, Check data in validation data gallery. | |
Product Information
19911-1-AP targets CHCHD7 in WB, IHC, ELISA applications and shows reactivity with human, mouse, rat samples.
| Tested Reactivity | human, mouse, rat |
| Host / Isotype | Rabbit / IgG |
| Class | Polyclonal |
| Type | Antibody |
| Immunogen |
CatNo: Ag13735 Product name: Recombinant human CHCHD7 protein Source: e coli.-derived, PGEX-4T Tag: GST Domain: 1-97 aa of BC002546 Sequence: MHQTRTGKKTVRMPSVTQRLRDPDINPCLSESDASTRCLDENNYDRERCSTYFLRYKNCRRFWNSIVMQRRKNGVKPFMPTAAERDEILRAVGNMPY Predict reactive species |
| Full Name | coiled-coil-helix-coiled-coil-helix domain containing 7 |
| Calculated Molecular Weight | 97 aa, 12 kDa |
| Observed Molecular Weight | 10 kDa |
| GenBank Accession Number | BC002546 |
| Gene Symbol | CHCHD7 |
| Gene ID (NCBI) | 79145 |
| RRID | AB_10666734 |
| Conjugate | Unconjugated |
| Form | Liquid |
| Purification Method | Antigen affinity purification |
| UNIPROT ID | Q9BUK0 |
| Storage Buffer | PBS with 0.02% sodium azide and 50% glycerol, pH 7.3. |
| Storage Conditions | Store at -20°C. Stable for one year after shipment. Aliquoting is unnecessary for -20oC storage. 20ul sizes contain 0.1% BSA. |
Protocols
| Product Specific Protocols | |
|---|---|
| IHC protocol for CHCHD7 antibody 19911-1-AP | Download protocol |
| WB protocol for CHCHD7 antibody 19911-1-AP | Download protocol |
| Standard Protocols | |
|---|---|
| Click here to view our Standard Protocols |







