Tested Applications
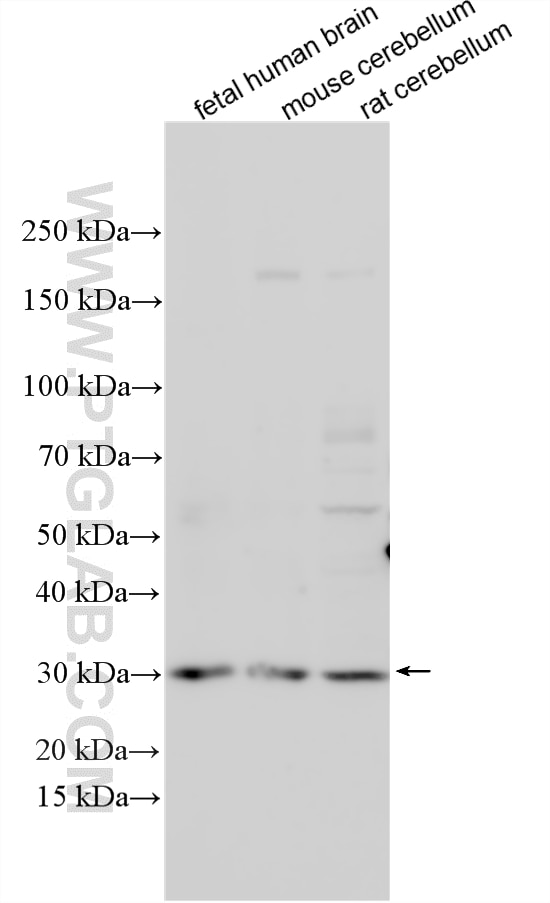
| Positive WB detected in | fetal human brain tissue, mouse heart tissue, mouse cerebellum tissue, rat cerebellum tissue |
| Positive IF-P detected in | mouse skin tissue |
Recommended dilution
| Application | Dilution |
|---|---|
| Western Blot (WB) | WB : 1:500-1:1000 |
| Immunofluorescence (IF)-P | IF-P : 1:50-1:500 |
| It is recommended that this reagent should be titrated in each testing system to obtain optimal results. | |
| Sample-dependent, Check data in validation data gallery. | |
Product Information
16426-1-AP targets CHST8 in WB, IF-P, ELISA applications and shows reactivity with human, mouse, rat samples.
| Tested Reactivity | human, mouse, rat |
| Host / Isotype | Rabbit / IgG |
| Class | Polyclonal |
| Type | Antibody |
| Immunogen |
CatNo: Ag9669 Product name: Recombinant human CHST8 protein Source: e coli.-derived, PGEX-4T Tag: GST Domain: 75-424 aa of BC014250 Sequence: VTRDLSSGAPRGRNLPAPDQPQPPLQRGTRLRLRQRRRRLLIKKMPAAATIPANSSDAPFIRPGPGTLDGRWVSLHRSQQERKRVMQEACAKYRASSSRRAVTPRHVSRIFVEDRHRVLYCEVPKAGCSNWKRVLMVLAGLASSTADIQHNTVHYGSALKRLDTFDRQGILHRLSTYTKMLFVREPFERLVSAFRDKFEHPNSYYHPVFGKAILARYRANASREALRTGSGVRFPEFVQYLLDVHRPVGMDIHWDHVSRLCSPCLIDYDFVGKFESMEDDANFFLSLIRAPRNLTFPRFKDRHSQEARTTARIAHQYFAQLSALQRQRTYDFYYMDYLMFNYSKPFADLY Predict reactive species |
| Full Name | carbohydrate (N-acetylgalactosamine 4-0) sulfotransferase 8 |
| Calculated Molecular Weight | 424 aa, 49 kDa |
| Observed Molecular Weight | 30-35 kDa |
| GenBank Accession Number | BC014250 |
| Gene Symbol | CHST8 |
| Gene ID (NCBI) | 64377 |
| RRID | AB_2229376 |
| Conjugate | Unconjugated |
| Form | Liquid |
| Purification Method | Antigen affinity purification |
| UNIPROT ID | Q9H2A9 |
| Storage Buffer | PBS with 0.02% sodium azide and 50% glycerol, pH 7.3. |
| Storage Conditions | Store at -20°C. Stable for one year after shipment. Aliquoting is unnecessary for -20oC storage. 20ul sizes contain 0.1% BSA. |
Background Information
CHST8 (Carbohydrate sulfotransferase 8), also named GalNAc-4-O-sulfotransferase 1 (GalNAc4-ST1), is a Golgi-resident type II transmembrane enzyme that transfers sulfate to the C-4 hydroxyl group of terminal β1,4-linked N-acetylgalactosamine (GalNAc) residues present in both N- and O-glycans.
Protocols
| Product Specific Protocols | |
|---|---|
| IF protocol for CHST8 antibody 16426-1-AP | Download protocol |
| WB protocol for CHST8 antibody 16426-1-AP | Download protocol |
| Standard Protocols | |
|---|---|
| Click here to view our Standard Protocols |







