Tested Applications
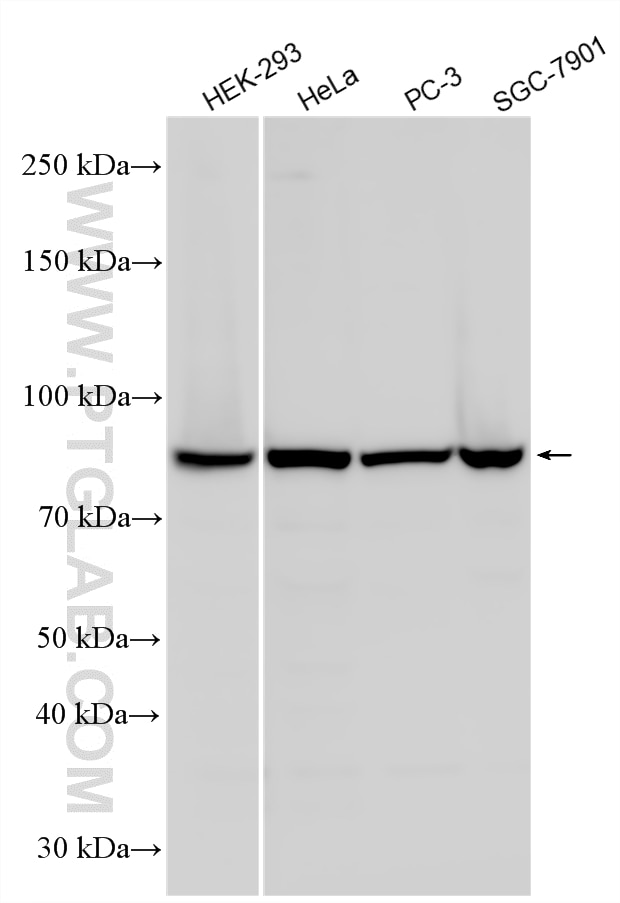
| Positive WB detected in | HEK-293 cells, HeLa cells, PC-3 cells, SGC-7901 cells |
| Positive IHC detected in | human skin cancer tissue Note: suggested antigen retrieval with TE buffer pH 9.0; (*) Alternatively, antigen retrieval may be performed with citrate buffer pH 6.0 |
| Positive IF/ICC detected in | HeLa cells |
Recommended dilution
| Application | Dilution |
|---|---|
| Western Blot (WB) | WB : 1:1000-1:8000 |
| Immunohistochemistry (IHC) | IHC : 1:50-1:500 |
| Immunofluorescence (IF)/ICC | IF/ICC : 1:50-1:500 |
| It is recommended that this reagent should be titrated in each testing system to obtain optimal results. | |
| Sample-dependent, Check data in validation data gallery. | |
Published Applications
| KD/KO | See 2 publications below |
| WB | See 6 publications below |
| IF | See 2 publications below |
Product Information
25486-1-AP targets CKAP2 in WB, IHC, IF/ICC, ELISA applications and shows reactivity with human samples.
| Tested Reactivity | human |
| Cited Reactivity | human, mouse |
| Host / Isotype | Rabbit / IgG |
| Class | Polyclonal |
| Type | Antibody |
| Immunogen |
CatNo: Ag21901 Product name: Recombinant human CKAP2 protein Source: e coli.-derived, PGEX-4T Tag: GST Domain: 1-356 aa of BC136332 Sequence: MSTPAVPQDLQLPPSQRAQSAFKEQRRQKLKEHLLRRKTLFAYKQENEMLSSRDQRVVTSEDQVQEGTKVLKLKTKMADKENMKRPAESKNNTVVGKHCIPLKPSNELTNSTVVIDTHKPKDSNQTPHLLLTEDDPQSQHMTLSQAFHLKNNSKKKQMTTEKQKQDANMPKKPVLGSYRGQIVQSKINSFRKPLQVKDESSAATKKLSATIPKATKPQPVNTSSVTVKSNRSSNMTATTKFVSTTSQNTQLVRPPIRSHHSNTRDTVKQGISRTSANVTIRKGPHEKELLQSKTALSSVKTSSSQGIIRNKTLSRSIASEVVARPASLSNDKLMEKSEPVDQRRHTAGKAIVDSRS Predict reactive species |
| Full Name | cytoskeleton associated protein 2 |
| Calculated Molecular Weight | 683 aa, 77 kDa |
| Observed Molecular Weight | 75-85 kDa |
| GenBank Accession Number | BC136332 |
| Gene Symbol | CKAP2 |
| Gene ID (NCBI) | 26586 |
| RRID | AB_2880100 |
| Conjugate | Unconjugated |
| Form | Liquid |
| Purification Method | Antigen affinity purification |
| UNIPROT ID | Q8WWK9 |
| Storage Buffer | PBS with 0.02% sodium azide and 50% glycerol, pH 7.3. |
| Storage Conditions | Store at -20°C. Stable for one year after shipment. Aliquoting is unnecessary for -20oC storage. 20ul sizes contain 0.1% BSA. |
Background Information
Cytoskeleton-associated protein 2 (CKAP2), also known as tumor-associated microtubule-associated protein (TMAP), is implicated in the regulation of cell proliferation (PMID: 30119212). CKAP2 is a MAP expressed during mitosis that localizes to centrosomes and spindles before being targeted for degradation by the anaphase-promoting complex/cyclosome at mitotic exit (PMID: 38381793, 17339342).
Protocols
| Product Specific Protocols | |
|---|---|
| IF protocol for CKAP2 antibody 25486-1-AP | Download protocol |
| IHC protocol for CKAP2 antibody 25486-1-AP | Download protocol |
| WB protocol for CKAP2 antibody 25486-1-AP | Download protocol |
| Standard Protocols | |
|---|---|
| Click here to view our Standard Protocols |
Publications
| Species | Application | Title |
|---|---|---|
Proc Natl Acad Sci U S A The spindle protein CKAP2 regulates microtubule dynamics and ensures faithful chromosome segregation | ||
Oncol Rep CKAP2 expression is associated with glioma tumor growth and acts as a prognostic factor in high‑grade glioma.
| ||
Nat Cell Biol Cell state-specific cytoplasmic density controls spindle architecture and scaling | ||
Cancers (Basel) Knockdown of CKAP2 Inhibits Proliferation, Migration, and Aggregate Formation in Aggressive Breast Cancer | ||
Mol Cell The RNA-stability-independent role of the RNA m6A reader YTHDF2 in promoting protein translation to confer tumor chemotherapy resistance
| ||
Front Immunol Identification and validation of CKAP2 as a novel biomarker in the development and progression of rheumatoid arthritis |
Reviews
The reviews below have been submitted by verified Proteintech customers who received an incentive for providing their feedback.
FH Azriel (Verified Customer) (12-02-2019) | Worked great for IF of HT-1080 cells at a 1/400 dilution incubation overnight
|





