Tested Applications
| Positive WB detected in | mouse brain tissue, rat brain tissue |
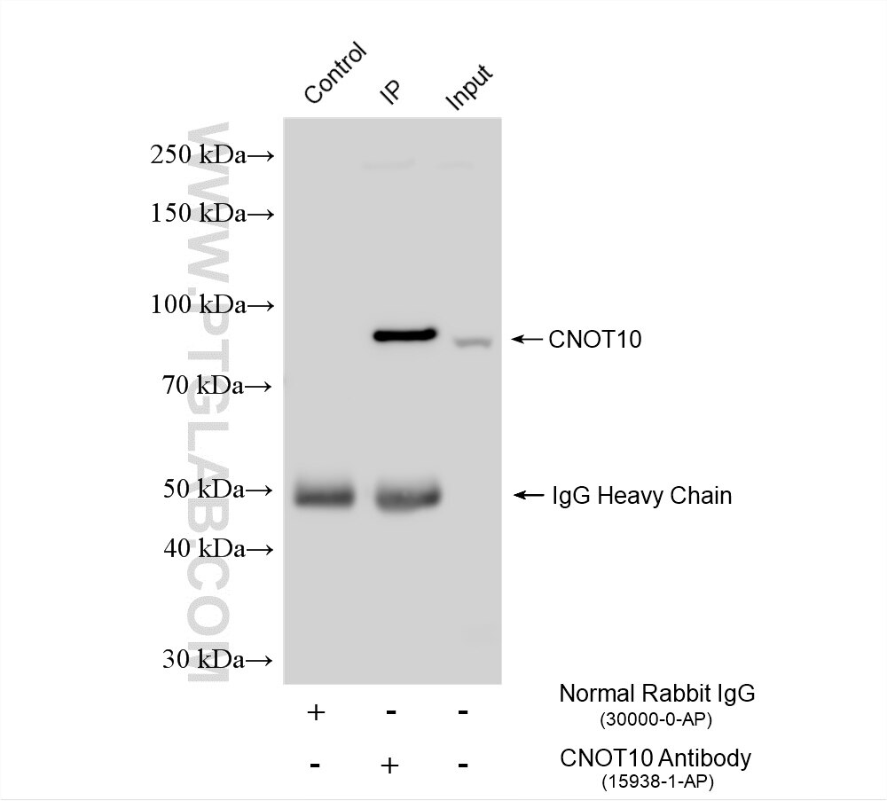
| Positive IP detected in | HeLa cells |
| Positive IHC detected in | human colon cancer tissue Note: suggested antigen retrieval with TE buffer pH 9.0; (*) Alternatively, antigen retrieval may be performed with citrate buffer pH 6.0 |
| Positive IF/ICC detected in | HepG2 cells |
Recommended dilution
| Application | Dilution |
|---|---|
| Western Blot (WB) | WB : 1:500-1:2000 |
| Immunoprecipitation (IP) | IP : 0.5-4.0 ug for 1.0-3.0 mg of total protein lysate |
| Immunohistochemistry (IHC) | IHC : 1:50-1:500 |
| Immunofluorescence (IF)/ICC | IF/ICC : 1:200-1:800 |
| It is recommended that this reagent should be titrated in each testing system to obtain optimal results. | |
| Sample-dependent, Check data in validation data gallery. | |
Published Applications
| WB | See 7 publications below |
Product Information
15938-1-AP targets CNOT10 in WB, IHC, IF/ICC, IP, ELISA applications and shows reactivity with human, mouse, rat samples.
| Tested Reactivity | human, mouse, rat |
| Cited Reactivity | human |
| Host / Isotype | Rabbit / IgG |
| Class | Polyclonal |
| Type | Antibody |
| Immunogen |
CatNo: Ag7654 Product name: Recombinant human CNOT10 protein Source: e coli.-derived, PET28a Tag: 6*His Domain: 568-717 aa of BC002928 Sequence: NPENVTDVSLGISSNEQDQGSDKGENEAMESSGKRAPQCYPSSVNSARTVMLFNLGSAYCLRSEYDKARKCLHQAASMIHPKEVPPEAILLAVYLELQNGNTQLALQIIKRNQLLPAVKTHSEVRKKPVFQPVHPIQPIQMSAFTTVQRK Predict reactive species |
| Full Name | CCR4-NOT transcription complex, subunit 10 |
| Calculated Molecular Weight | 82 kDa |
| Observed Molecular Weight | 82 kDa |
| GenBank Accession Number | BC002928 |
| Gene Symbol | CNOT10 |
| Gene ID (NCBI) | 25904 |
| RRID | AB_2229678 |
| Conjugate | Unconjugated |
| Form | Liquid |
| Purification Method | Antigen affinity purification |
| UNIPROT ID | Q9H9A5 |
| Storage Buffer | PBS with 0.02% sodium azide and 50% glycerol, pH 7.3. |
| Storage Conditions | Store at -20°C. Stable for one year after shipment. Aliquoting is unnecessary for -20oC storage. 20ul sizes contain 0.1% BSA. |
Background Information
CNOT10, also named as CCR4-NOT transcription complex subunit 10, is a 744 amino acid protein, which belongs to the CNOT10 family. CNOT10 lacalizes in the cytoplasm and nucleus. CNOT10 is a component of the CCR4-NOT complex which is one of the major cellular mRNA deadenylases and is linked to various cellular processes including bulk mRNA degradation, miRNA-mediated repression, translational repression during translational initiation and general transcription regulation.
Protocols
| Product Specific Protocols | |
|---|---|
| IF protocol for CNOT10 antibody 15938-1-AP | Download protocol |
| IHC protocol for CNOT10 antibody 15938-1-AP | Download protocol |
| IP protocol for CNOT10 antibody 15938-1-AP | Download protocol |
| WB protocol for CNOT10 antibody 15938-1-AP | Download protocol |
| Standard Protocols | |
|---|---|
| Click here to view our Standard Protocols |
Publications
| Species | Application | Title |
|---|---|---|
Mol Cell An Epstein-Barr virus protein interaction map reveals NLRP3 inflammasome evasion via MAVS UFMylation | ||
Nat Commun RNF219 attenuates global mRNA decay through inhibition of CCR4-NOT complex-mediated deadenylation. | ||
Cell Rep The human CNOT1-CNOT10-CNOT11 complex forms a structural platform for protein-protein interactions | ||
Nucleic Acids Res Trypanosome CNOT10 is essential for the integrity of the NOT deadenylase complex and for degradation of many mRNAs. | ||
Reviews
The reviews below have been submitted by verified Proteintech customers who received an incentive for providing their feedback.
FH Roy (Verified Customer) (06-13-2024) | Working very well to detect CNOT10 by WB in HeLa cells (1/1000 dilution - Overnight incubation at 4°C)
|









