Tested Applications
| Positive WB detected in | J774A.1 cells, RAW 264.7 cells, mouse spleen tissue |
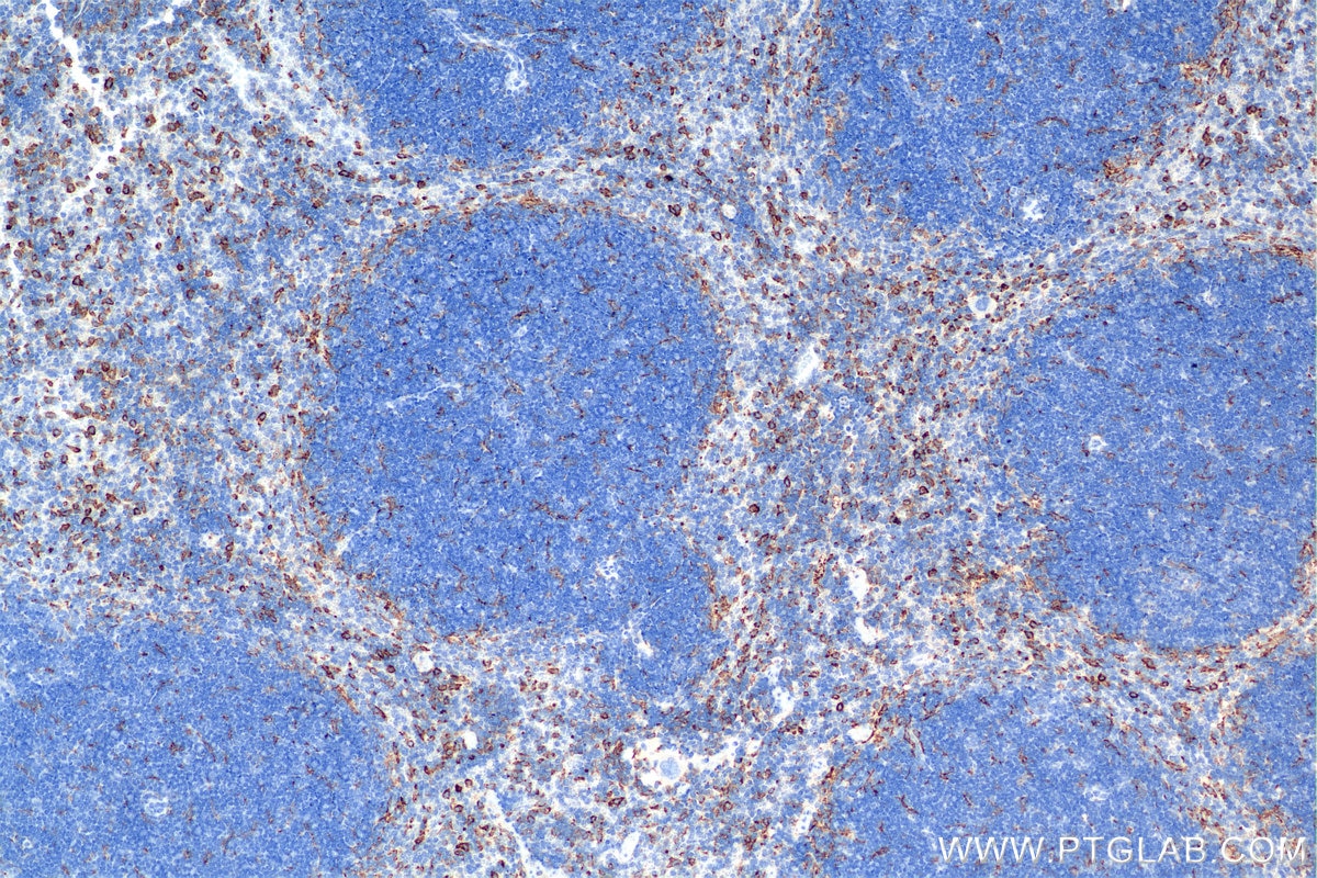
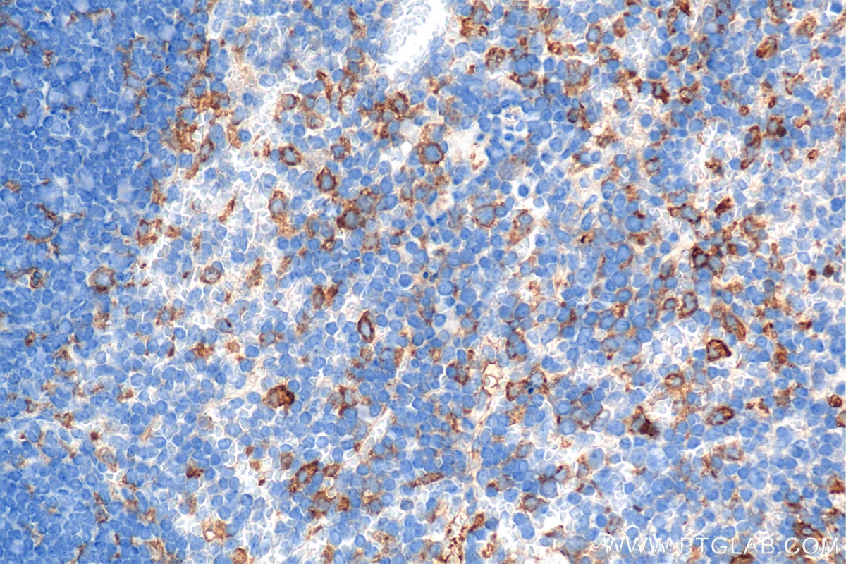
| Positive IHC detected in | mouse spleen tissue Note: suggested antigen retrieval with TE buffer pH 9.0; (*) Alternatively, antigen retrieval may be performed with citrate buffer pH 6.0 |
Recommended dilution
| Application | Dilution |
|---|---|
| Western Blot (WB) | WB : 1:1000-1:4000 |
| Immunohistochemistry (IHC) | IHC : 1:500-1:2000 |
| It is recommended that this reagent should be titrated in each testing system to obtain optimal results. | |
| Sample-dependent, Check data in validation data gallery. | |
Product Information
84919-6-RR targets CSF1R/CD115 in WB, IHC, ELISA applications and shows reactivity with mouse samples.
| Tested Reactivity | mouse |
| Host / Isotype | Rabbit / IgG |
| Class | Recombinant |
| Type | Antibody |
| Immunogen |
CatNo: Eg1816 Product name: Recombinant Mouse CSF1R protein (rFc Tag) Source: mammalian cells-derived, pHZ-KIsec-C-rFc Tag: C-rFc Domain: 20-511 aa of NM_001037859.2 Sequence: APVIEPSGPELVVEPGETVTLRCVSNGSVEWDGPISPYWTLDPESPGSTLTTRNATFKNTGTYRCTELEDPMAGSTTIHLYVKDPAHSWNLLAQEVTVVEGQEAVLPCLITDPALKDSVSLMREGGRQVLRKTVYFFSPWRGFIIRKAKVLDSNTYVCKTMVNGRESTSTGIWLKVNRVHPEPPQIKLEPSKLVRIRGEAAQIVCSATNAEVGFNVILKRGDTKLEIPLNSDFQDNYYKKVRALSLNAVDFQDAGIYSCVASNDVGTRTATMNFQVVESAYLNLTSEQSLLQEVSVGDSLILTVHADAYPSIQHYNWTYLGPFFEDQRKLEFITQRAIYRYTFKLFLNRVKASEAGQYFLMAQNKAGWNNLTFELTLRYPPEVSVTWMPVNGSDVLFCDVSGYPQPSVTWMECRGHTDRCDEAQALQVWNDTHPEVLSQKPFDKVIIQSQLPIGTLKHNMTYFCKTHNSVGNSSQYFRAVSLGQSKQLPDES Predict reactive species |
| Full Name | colony stimulating factor 1 receptor |
| Calculated Molecular Weight | 109 kDa |
| Observed Molecular Weight | 110-170 kDa |
| GenBank Accession Number | NM_001037859.2 |
| Gene Symbol | CSF1R/CD115 |
| Gene ID (NCBI) | 12978 |
| Conjugate | Unconjugated |
| Form | Liquid |
| Purification Method | Protein A purification |
| UNIPROT ID | P09581 |
| Storage Buffer | PBS with 0.02% sodium azide and 50% glycerol, pH 7.3. |
| Storage Conditions | Store at -20°C. Stable for one year after shipment. Aliquoting is unnecessary for -20oC storage. 20ul sizes contain 0.1% BSA. |
Background Information
CSF1R (colony-stimulating factor 1 receptor) belongs to the type III protein tyrosine kinase receptor family. CSF1R-mediated signaling is crucial for the differentiation and survival of the mononuclear phagocyte system and macrophages in particular (PMID: 28716061).
Protocols
| Product Specific Protocols | |
|---|---|
| IHC protocol for CSF1R/CD115 antibody 84919-6-RR | Download protocol |
| WB protocol for CSF1R/CD115 antibody 84919-6-RR | Download protocol |
| Standard Protocols | |
|---|---|
| Click here to view our Standard Protocols |







