Tested Applications
| Positive WB detected in | mouse liver tissue, NIH/3T3 cells |
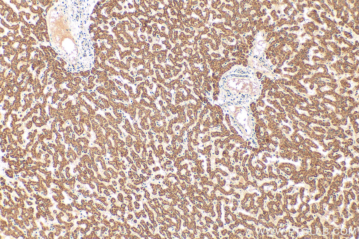
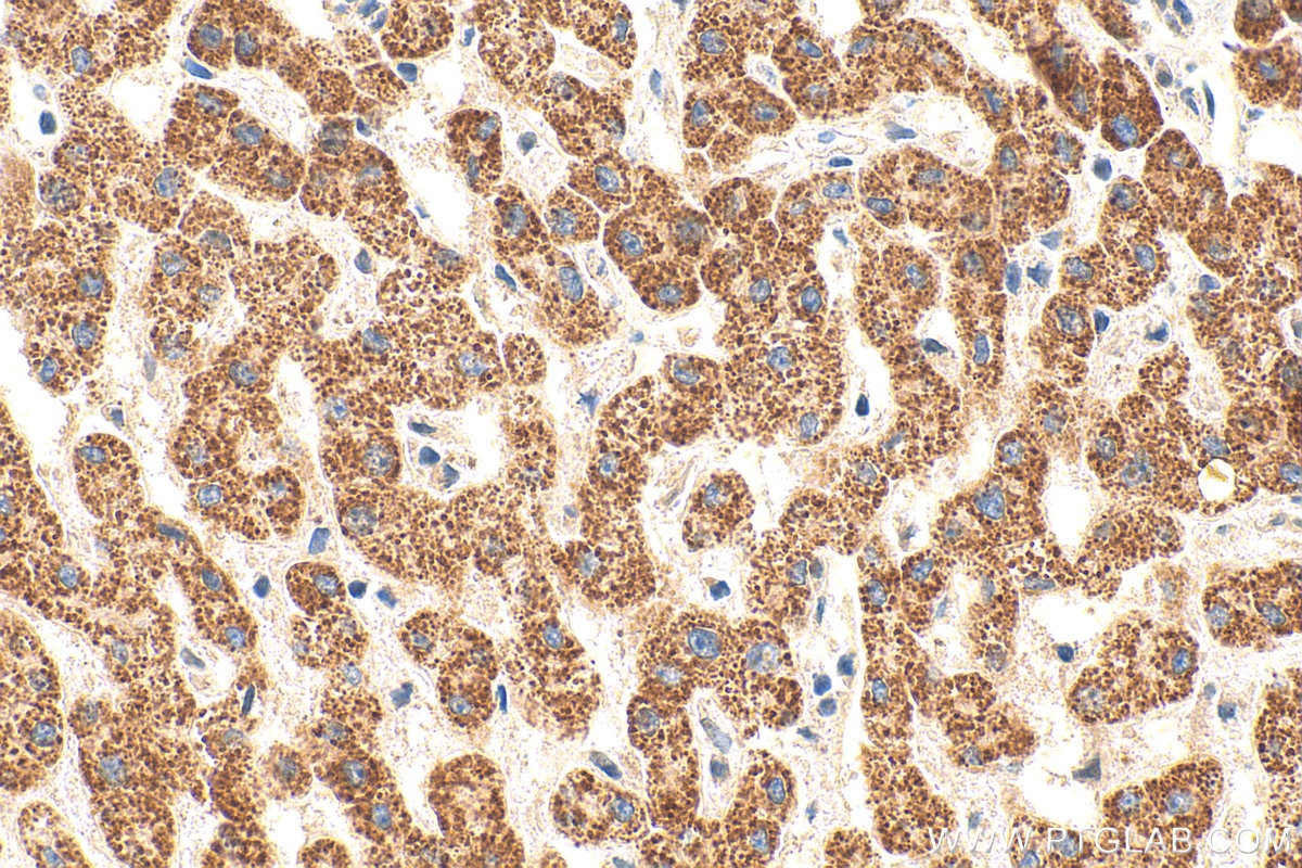
| Positive IHC detected in | human liver tissue, human liver cancer tissue Note: suggested antigen retrieval with TE buffer pH 9.0; (*) Alternatively, antigen retrieval may be performed with citrate buffer pH 6.0 |
Recommended dilution
| Application | Dilution |
|---|---|
| Western Blot (WB) | WB : 1:500-1:1000 |
| Immunohistochemistry (IHC) | IHC : 1:50-1:500 |
| It is recommended that this reagent should be titrated in each testing system to obtain optimal results. | |
| Sample-dependent, Check data in validation data gallery. | |
Published Applications
| WB | See 27 publications below |
| IHC | See 6 publications below |
| IF | See 1 publications below |
Product Information
14739-1-AP targets CYP27A1 in WB, IHC, IF, ELISA applications and shows reactivity with human, mouse, rat samples.
| Tested Reactivity | human, mouse, rat |
| Cited Reactivity | human, mouse, rat, pig, rabbit, chicken |
| Host / Isotype | Rabbit / IgG |
| Class | Polyclonal |
| Type | Antibody |
| Immunogen |
CatNo: Ag6408 Product name: Recombinant human CYP27A1 protein Source: e coli.-derived, PGEX-4T Tag: GST Domain: 183-531 aa of BC051851 Sequence: DDFMTRLDQLRAESASGNQVSDMAQLFYYFALEAICYILFEKRIGCLQRSIPEDTVTFVRSIGLMFQNSLYATFLPKWTRPVLPFWKRYLDGWNAIFSFGKKLIDEKLEDMEAQLQAAGPDGIQVSGYLHFLLASGQLSPREAMGSLPELLMAGVDTTSNTLTWALYHLSKDPEIQEALHEEVVGVVPAGQVPQHKDFAHMPLLKAVLKETLRLYPVVPTNSRIIEKEIEVDGFLFPKNTQFVFCHYVVSRDPTAFSEPESFQPHRWLRNSQPATPRIQHPFGSVPFGYGVRACLGRRIAELEMQLLLARLIQKYKVVLAPETGELKSVARIVLVPNKKVGLQFLQRQC Predict reactive species |
| Full Name | cytochrome P450, family 27, subfamily A, polypeptide 1 |
| Calculated Molecular Weight | 60 kDa |
| Observed Molecular Weight | 60-65 kDa |
| GenBank Accession Number | BC051851 |
| Gene Symbol | CYP27A1 |
| Gene ID (NCBI) | 1593 |
| RRID | AB_2089276 |
| Conjugate | Unconjugated |
| Form | Liquid |
| Purification Method | Antigen affinity purification |
| UNIPROT ID | Q02318 |
| Storage Buffer | PBS with 0.02% sodium azide and 50% glycerol, pH 7.3. |
| Storage Conditions | Store at -20°C. Stable for one year after shipment. Aliquoting is unnecessary for -20oC storage. 20ul sizes contain 0.1% BSA. |
Background Information
Mitochondrial sterol 27-hydroxylase (CYP27A1) catalyzes oxidative cleavage of the sterol side chain in the bile acid biosynthetic pathway in the liver and 27-hydroxylation of cholesterol in most tissues(PMID:17088262). It belongs to the cytochrome P450 family. CYP27A1 catalyses an important sterol elimination pathway in the macrophage, and consequently may protect against atherosclerosis.
Protocols
| Product Specific Protocols | |
|---|---|
| IHC protocol for CYP27A1 antibody 14739-1-AP | Download protocol |
| WB protocol for CYP27A1 antibody 14739-1-AP | Download protocol |
| Standard Protocols | |
|---|---|
| Click here to view our Standard Protocols |
Publications
| Species | Application | Title |
|---|---|---|
Cell Res Tissue-specific transcription reprogramming promotes liver metastasis of colorectal cancer. | ||
J Lipid Res Increased maternal and fetal cholesterol efflux capacity and placental CYP27A1 expression in preeclampsia. | ||
Phytomedicine Dehydrodiconiferyl alcohol, a lignan from Herpetospermum pedunculosum, alleviates cholestasis by activating pathways associated with the farnesoid X receptor. | ||
Phytomedicine Dolomiaea souliei ethyl acetate extract protected against α-naphthylisothiocyanate-induced acute intrahepatic cholestasis through regulation of farnesoid x receptor-mediated bile acid metabolism | ||
Phytomedicine Alisol B 23-acetate adjusts bile acid metabolisim via hepatic FXR-BSEP signaling activation to alleviate atherosclerosis. | ||
J Agric Food Chem Oryzanol Attenuates High Fat and Cholesterol Diet-Induced Hyperlipidemia by Regulating the Gut Microbiome and Amino Acid Metabolism. |
Reviews
The reviews below have been submitted by verified Proteintech customers who received an incentive for providing their feedback.
FH Meixin (Verified Customer) (10-14-2025) | I tested the CYP27A1 Polyclonal antibody in Western blot, and it worked very well. The signal was clear and strong, with a single clean band at the expected molecular weight. The background was minimal, and no obvious non-specific bands were observed. This antibody shows excellent specificity and reliability, making it a great choice for CYP27A1 detection.
|
FH kishu (Verified Customer) (06-10-2021) | got good results in WB for human and rat liver cells
|















