Tested Applications
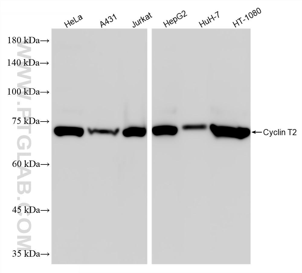
| Positive WB detected in | HeLa cells, A431 cells, Jurkat cells, HepG2 cells, HuH-7 cells, HT-1080 cells |
Recommended dilution
| Application | Dilution |
|---|---|
| Western Blot (WB) | WB : 1:2000-1:10000 |
| It is recommended that this reagent should be titrated in each testing system to obtain optimal results. | |
| Sample-dependent, Check data in validation data gallery. | |
Product Information
86859-3-RR targets Cyclin T2 in WB, ELISA applications and shows reactivity with human samples.
| Tested Reactivity | human |
| Host / Isotype | Rabbit / IgG |
| Class | Recombinant |
| Type | Antibody |
| Immunogen |
CatNo: Ag16514 Product name: Recombinant human CCNT2 protein Source: e coli.-derived, PGEX-4T Tag: GST Domain: 251-610 aa of BC114366 Sequence: LKKIRNWRANQAARKPKVDGQVSETPLLGSSLVQNSILVDSVTGVPTNPSFQKPSTSAFPAPVPLNSGNISVQDSHTSDNLSMLATGMPSTSYGLSSHQEWPQHQDSARTEQLYSQKQETSLSGSQYNINFQQGPSISLHSGLHHRPDKISDHSSVKQEYTHKAGSSKHHGPISTTPGIIPQKMSLDKYREKRKLETLDLDVRDHYIAAQVEQQHKQGQSQAASSSSVTSPIKMKIPIANTEKYMADKKEKSGSLKLRIPIPPTDKSASKEELKMKIKVSSSERHSSSDEGSGKSKHSSPHISRDHKEKHKEHPSSRHHTSSHKHSHSHSGSSSGGSKHSADGIPPTVLRSPVGLSSDGI Predict reactive species |
| Full Name | cyclin T2 |
| Calculated Molecular Weight | 730 aa, 81 kDa |
| Observed Molecular Weight | 70-74 kDa |
| GenBank Accession Number | BC114366 |
| Gene Symbol | Cyclin T2 |
| Gene ID (NCBI) | 905 |
| RRID | AB_3745170 |
| Conjugate | Unconjugated |
| Form | Liquid |
| Purification Method | Protein A purification |
| UNIPROT ID | O60583 |
| Storage Buffer | PBS with 0.02% sodium azide and 50% glycerol, pH 7.3. |
| Storage Conditions | Store at -20°C. Stable for one year after shipment. Aliquoting is unnecessary for -20oC storage. 20ul sizes contain 0.1% BSA. |
Background Information
Cyclin T2 (CCNT2) belongs to the cyclin family. CCNT2 is regulatory subunit of the cyclin-dependent kinase pair (CDK9/cyclin T) complex, also called positive transcription elongation factor B (P-TEFB), which is proposed to facilitate the transition from abortive to production elongation by phosphorylating the CTD (carboxy-terminal domain) of the large subunit of RNA polymerase II (RNAP II) (PMID: 9499409, PMID: 15563843). Cyclin T2 is expressed at a relatively high level in freshly isolated monocytes and its level remains constant when the cells are induced to undergo macrophage differentiation (PMID: 21791050). In contrast, Cyclin T1 is expressed at low levels in monocytes and it is strongly up-regulated by a post-transcriptional mechanism when the cells are induced to differentiate to macrophages.
Protocols
| Product Specific Protocols | |
|---|---|
| WB protocol for Cyclin T2 antibody 86859-3-RR | Download protocol |
| Standard Protocols | |
|---|---|
| Click here to view our Standard Protocols |

