Tested Applications
| Positive WB detected in | NIH/3T3 cells |
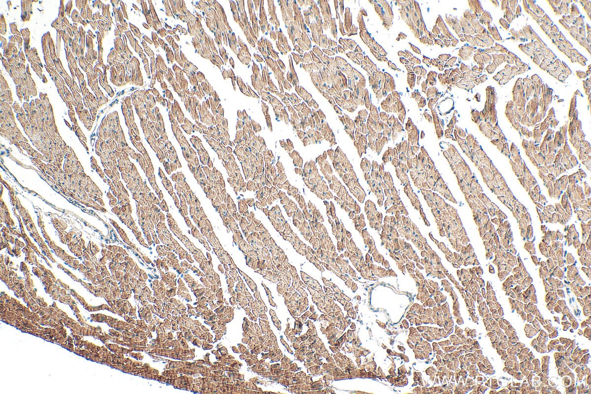
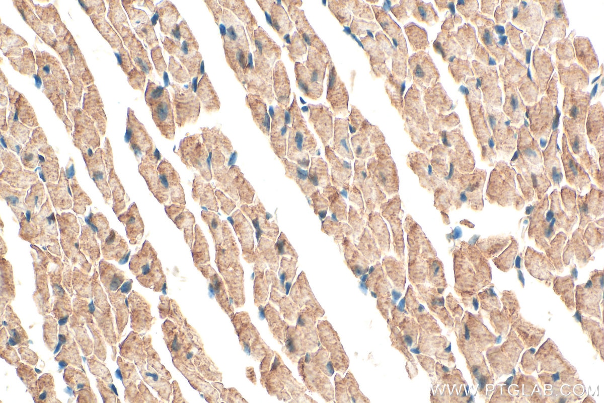
| Positive IHC detected in | mouse heart tissue Note: suggested antigen retrieval with TE buffer pH 9.0; (*) Alternatively, antigen retrieval may be performed with citrate buffer pH 6.0 |
| Positive IF/ICC detected in | A431 cells |
Recommended dilution
| Application | Dilution |
|---|---|
| Western Blot (WB) | WB : 1:500-1:1000 |
| Immunohistochemistry (IHC) | IHC : 1:50-1:500 |
| Immunofluorescence (IF)/ICC | IF/ICC : 1:200-1:800 |
| It is recommended that this reagent should be titrated in each testing system to obtain optimal results. | |
| Sample-dependent, Check data in validation data gallery. | |
Product Information
25991-1-AP targets DEM1/EXO5 in WB, IHC, IF/ICC, ELISA applications and shows reactivity with human, mouse samples.
| Tested Reactivity | human, mouse |
| Host / Isotype | Rabbit / IgG |
| Class | Polyclonal |
| Type | Antibody |
| Immunogen |
CatNo: Ag22666 Product name: Recombinant human DEM1 protein Source: e coli.-derived, PGEX-4T Tag: GST Domain: 1-373 aa of BC021969 Sequence: MAETREEETVSAEASGFSDLSDSEFLEFLDLEDAQESKALVNMPGPSSESLGKDDKPISLQNWKRGLDILSPMERFHLKYLYVTDLATQNWCELQTAYGKELPGFLAPEKAAVLDTGASIHLARELELHDLVTVPVTTKEDAWAIKFLNILLLIPTLQSEGHIREFPVFGEVEGVLLVGVIDELHYTAKGELELAELKTRRRPMLPLEAQKKKDCFQVSLYKYIFDAMVQGKVTPASLIHHTKLCLEKPLGPSVLRHAQQGGFSVKSLGDLMELVFLSLTLSDLPVIDILKIEYIHQETATVLGTEIVAFKEKEVRAKVQHYMAYWMGHREPQGVDVEEAWKCRTCTYADICEWRKGSGVLSSTLAPQVKKAK Predict reactive species |
| Full Name | defects in morphology 1 homolog (S. cerevisiae) |
| Observed Molecular Weight | 42 kDa |
| GenBank Accession Number | BC021969 |
| Gene Symbol | DEM1 |
| Gene ID (NCBI) | 64789 |
| RRID | AB_3085832 |
| Conjugate | Unconjugated |
| Form | Liquid |
| Purification Method | Antigen affinity purification |
| UNIPROT ID | Q9H790 |
| Storage Buffer | PBS with 0.02% sodium azide and 50% glycerol, pH 7.3. |
| Storage Conditions | Store at -20°C. Stable for one year after shipment. Aliquoting is unnecessary for -20oC storage. 20ul sizes contain 0.1% BSA. |
Protocols
| Product Specific Protocols | |
|---|---|
| IF protocol for DEM1/EXO5 antibody 25991-1-AP | Download protocol |
| IHC protocol for DEM1/EXO5 antibody 25991-1-AP | Download protocol |
| WB protocol for DEM1/EXO5 antibody 25991-1-AP | Download protocol |
| Standard Protocols | |
|---|---|
| Click here to view our Standard Protocols |











