Tested Applications
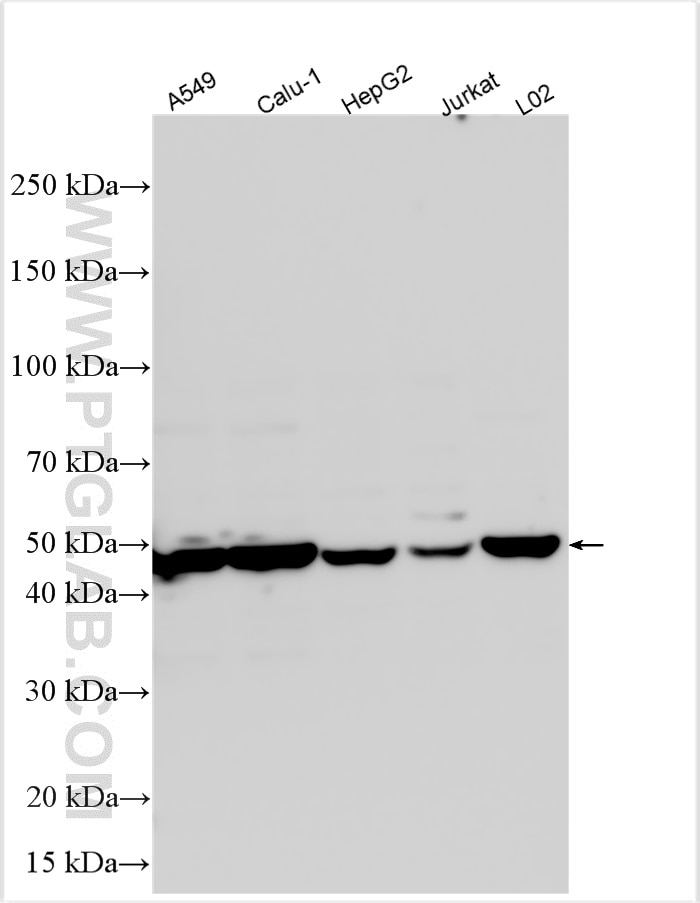
| Positive WB detected in | A549 cells, Jurkat cells, Calu-1 cells, HepG2 cells, L02 cells |
| Positive IHC detected in | human tonsillitis tissue, human prostate hyperplasia tissue Note: suggested antigen retrieval with TE buffer pH 9.0; (*) Alternatively, antigen retrieval may be performed with citrate buffer pH 6.0 |
| Positive IF/ICC detected in | A549 cells |
Recommended dilution
| Application | Dilution |
|---|---|
| Western Blot (WB) | WB : 1:1000-1:6000 |
| Immunohistochemistry (IHC) | IHC : 1:20-1:200 |
| Immunofluorescence (IF)/ICC | IF/ICC : 1:10-1:100 |
| It is recommended that this reagent should be titrated in each testing system to obtain optimal results. | |
| Sample-dependent, Check data in validation data gallery. | |
Product Information
22652-1-AP targets DNASE2B in WB, IHC, IF/ICC, ELISA applications and shows reactivity with human samples.
| Tested Reactivity | human |
| Host / Isotype | Rabbit / IgG |
| Class | Polyclonal |
| Type | Antibody |
| Immunogen |
CatNo: Ag18246 Product name: Recombinant human DNASE2B protein Source: e coli.-derived, PGEX-4T Tag: GST Domain: 1-361 aa of BC126136 Sequence: MKHKMMARLLRTSFALLFLGLFGVLGAATISCRNEEGKAVDWFTFYKLPKKQNKESGETGLEYLYLDSTTRSWRKSEQLMNDTKSVLGRTLQQLYEAYASKSNNTAYLIYNDGVPKPVNYSRKYGHTKGLLLWNRVQGFWLIHSIPQFPPIPEEGYDYPPTGRRNGQSGICITFKYNQYEAIDSQLLVCNPNVYSCSIPATFHQELIHMPQLCTRASSSEIPGRLLTTLQSAQGQKFLHFAKSDSFLDDIFAAWMAQRLKTHLLTETWQRKRQELPSNCSLPYHVYNIKAIKLSRHSYFSSYQDHAKWCISQKGTKNRWTCIGDLNRSPHQAFRSGGFICTQNWQIYQAFQGLVLYYESCK Predict reactive species |
| Full Name | deoxyribonuclease II beta |
| Calculated Molecular Weight | 361 aa, 42 kDa |
| Observed Molecular Weight | 42 kDa |
| GenBank Accession Number | BC126136 |
| Gene Symbol | DNASE2B |
| Gene ID (NCBI) | 58511 |
| RRID | AB_2879144 |
| Conjugate | Unconjugated |
| Form | Liquid |
| Purification Method | Antigen Affinity purified |
| UNIPROT ID | Q8WZ79 |
| Storage Buffer | PBS with 0.02% sodium azide and 50% glycerol, pH 7.3. |
| Storage Conditions | Store at -20°C. Stable for one year after shipment. Aliquoting is unnecessary for -20oC storage. 20ul sizes contain 0.1% BSA. |
Background Information
DNASE2B, also known as DLAD (DNase II-like acid DNase) or DNase II beta, is a protein-coding gene located on human chromosome 1p22.3. The gene is positioned head-to-head with the urate oxidase (Uox) pseudogene and consists of 6 exons.
Protocols
| Product Specific Protocols | |
|---|---|
| IF protocol for DNASE2B antibody 22652-1-AP | Download protocol |
| IHC protocol for DNASE2B antibody 22652-1-AP | Download protocol |
| WB protocol for DNASE2B antibody 22652-1-AP | Download protocol |
| Standard Protocols | |
|---|---|
| Click here to view our Standard Protocols |















