Tested Applications
| Positive WB detected in | HeLa cells |
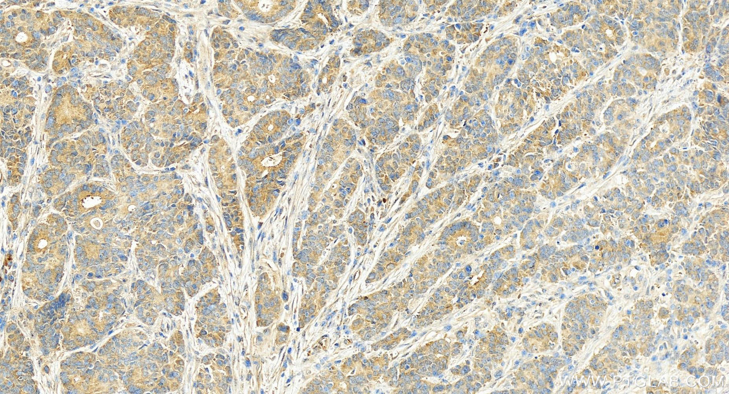
| Positive IHC detected in | human stomach cancer tissue Note: suggested antigen retrieval with TE buffer pH 9.0; (*) Alternatively, antigen retrieval may be performed with citrate buffer pH 6.0 |
Recommended dilution
| Application | Dilution |
|---|---|
| Western Blot (WB) | WB : 1:500-1:1000 |
| Immunohistochemistry (IHC) | IHC : 1:50-1:500 |
| It is recommended that this reagent should be titrated in each testing system to obtain optimal results. | |
| Sample-dependent, Check data in validation data gallery. | |
Published Applications
| WB | See 1 publications below |
Product Information
14866-1-AP targets DPH2 in WB, IHC, ELISA applications and shows reactivity with human, mouse, rat samples.
| Tested Reactivity | human, mouse, rat |
| Cited Reactivity | human |
| Host / Isotype | Rabbit / IgG |
| Class | Polyclonal |
| Type | Antibody |
| Immunogen |
CatNo: Ag6678 Product name: Recombinant human DPH2 protein Source: e coli.-derived, PGEX-4T Tag: GST Domain: 149-489 aa of BC001389 Sequence: VVLLSEPACAHALEALATLLRPRYLDLLVSSPAFPQPVGSLSPEPMPLERFGRRFPLAPGRRLEEYGAFYVGGSKASPDPDLDPDLSRLLLGWAPGQPFSSCCPDTGKTQDEGARAGRLRARRRYLVERARDARVVGLLAGTLGVAQHREALAHLRNLTQAAGKRSYVLALGRPTPAKLANFPEVDVFVLLACPLGALAPQLSGSFFQPILAPCELEAACNPAWPPPGLAPHLTHYADLLPGSPFHVALPPPESELWETPDVSLITGDLRPPPAWKSSNDHGSLALTPRPQLELAESSPAASFLSSRSWQGLEPRLGQTPVTEAVSGRRGIAIAYEDEGSG Predict reactive species |
| Full Name | DPH2 homolog (S. cerevisiae) |
| Calculated Molecular Weight | 51 kDa |
| Observed Molecular Weight | 52 kDa |
| GenBank Accession Number | BC001389 |
| Gene Symbol | DPH2 |
| Gene ID (NCBI) | 1802 |
| RRID | AB_2093254 |
| Conjugate | Unconjugated |
| Form | Liquid |
| Purification Method | Antigen affinity purification |
| UNIPROT ID | Q9BQC3 |
| Storage Buffer | PBS with 0.02% sodium azide and 50% glycerol, pH 7.3. |
| Storage Conditions | Store at -20°C. Stable for one year after shipment. Aliquoting is unnecessary for -20oC storage. 20ul sizes contain 0.1% BSA. |
Background Information
Required for the first step in the synthesis of diphthamide, a post-translational modification of histidine which occurs in translation elongation factor 2 (EEF2). Mutants of the DPH1, DPH2, and DPH5 (611075) genes, involved in diphthamide biosynthesis, were identified as resistant to both anthrax toxin and diphtheria toxin. This antibody works well in WB, IP, IHC and IF application.
Protocols
| Product Specific Protocols | |
|---|---|
| IHC protocol for DPH2 antibody 14866-1-AP | Download protocol |
| WB protocol for DPH2 antibody 14866-1-AP | Download protocol |
| Standard Protocols | |
|---|---|
| Click here to view our Standard Protocols |



