Tested Applications
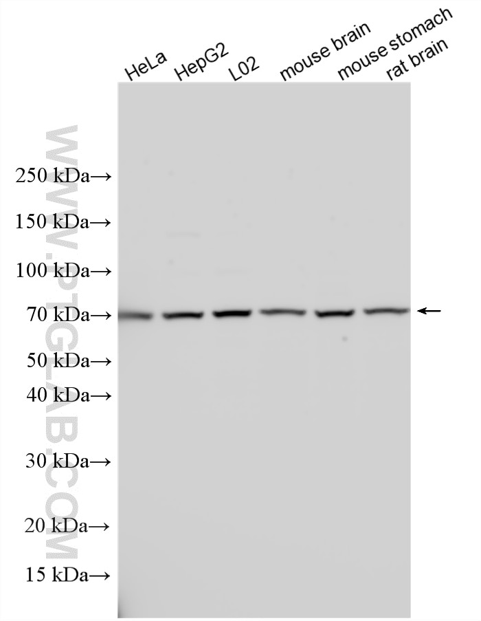
| Positive WB detected in | HeLa cells, mouse brain tissue, rat brain tissue, HepG2 cells, L02 cells, mouse stomach tissue |
| Positive IP detected in | mouse brain tissue |
Recommended dilution
| Application | Dilution |
|---|---|
| Western Blot (WB) | WB : 1:500-1:3000 |
| Immunoprecipitation (IP) | IP : 0.5-4.0 ug for 1.0-3.0 mg of total protein lysate |
| It is recommended that this reagent should be titrated in each testing system to obtain optimal results. | |
| Sample-dependent, Check data in validation data gallery. | |
Published Applications
| KD/KO | See 1 publications below |
| WB | See 7 publications below |
| IF | See 1 publications below |
| ChIP | See 1 publications below |
Product Information
12727-1-AP targets ELL2 in WB, IF, IP, ChIP, ELISA applications and shows reactivity with human, mouse, rat samples.
| Tested Reactivity | human, mouse, rat |
| Cited Reactivity | human, mouse |
| Host / Isotype | Rabbit / IgG |
| Class | Polyclonal |
| Type | Antibody |
| Immunogen |
CatNo: Ag3428 Product name: Recombinant human ELL2 protein Source: e coli.-derived, PGEX-4T Tag: GST Domain: 341-640 aa of BC028412 Sequence: TNRVPPTLNGHLNPTSEKSAAGLPLPPAAAAIPTPPPLPSTYLPISHPPQIVNSNSNSPSTPEGRGTQDLPVDSFSQNDSIYEDQQDKYTSRTSLETLPPGSVLLKCPKPMEENHSMSHKKSKKKSKKHKEKDQIKKHDIETIEEKEEDLKREEEIAKLNNSSPNSSGGVKEDCTASMEPSAIELPDYLIKYIAIVSYEQRQNYKDDFNAEYDEYRALHARMETVARRFIKLDAQRKRLSPGSKEYQNVHEEVLQEYQKIKQSSPNYHEEKYRCEYLHNKLAHIKRLIGEFDQQQAESWS Predict reactive species |
| Full Name | elongation factor, RNA polymerase II, 2 |
| Calculated Molecular Weight | 640 aa, 72 kDa |
| Observed Molecular Weight | 72 kDa |
| GenBank Accession Number | BC028412 |
| Gene Symbol | ELL2 |
| Gene ID (NCBI) | 22936 |
| RRID | AB_10644131 |
| Conjugate | Unconjugated |
| Form | Liquid |
| Purification Method | Antigen affinity purification |
| UNIPROT ID | O00472 |
| Storage Buffer | PBS with 0.02% sodium azide and 50% glycerol, pH 7.3. |
| Storage Conditions | Store at -20°C. Stable for one year after shipment. Aliquoting is unnecessary for -20oC storage. 20ul sizes contain 0.1% BSA. |
Background Information
ELL2 (Elongation Factor for RNA Polymerase II 2) is a key transcriptional elongation factor that regulates RNA polymerase II (Pol II) during mRNA synthesis (PMID: 34265249). It belongs to the ELL gene family, which includes ELL1, ELL2, and ELL3, and plays a crucial role in controlling the elongation phase of transcription (PMID: 9108030). ELL2 is an androgen-responsive gene that is expressed by prostate epithelial cells and is frequently down-regulated in prostate cancer (PMID: 29179998).
Protocols
| Product Specific Protocols | |
|---|---|
| WB protocol for ELL2 antibody 12727-1-AP | Download protocol |
| IP protocol for ELL2 antibody 12727-1-AP | Download protocol |
| Standard Protocols | |
|---|---|
| Click here to view our Standard Protocols |
Publications
| Species | Application | Title |
|---|---|---|
Cell MicroRNA Directly Enhances Mitochondrial Translation during Muscle Differentiation.
| ||
Mol Cell RNA Pol II preferentially regulates ribosomal protein expression by trapping disassociated subunits | ||
Cell Death Dis TRIB1 regulates liver regeneration by antagonizing the NRF2-mediated antioxidant response | ||
J Biol Chem Cytoplasmic poly(A)-binding protein 1 (PABPC1) interacts with the RNA-binding protein hnRNPLL and thereby regulates immunoglobulin secretion in plasma cells. | ||
FASEB J Androgen receptor splicing variant 7 (ARv7) promotes DNA damage response in prostate cancer cells |
Reviews
The reviews below have been submitted by verified Proteintech customers who received an incentive for providing their feedback.
FH Beth (Verified Customer) (10-05-2017) | Using LI-COR imaging system.
![]() |






