Tested Applications
| Positive WB detected in | PC-3 cells, HeLa cells |
| Positive IP detected in | PC-3 cells |
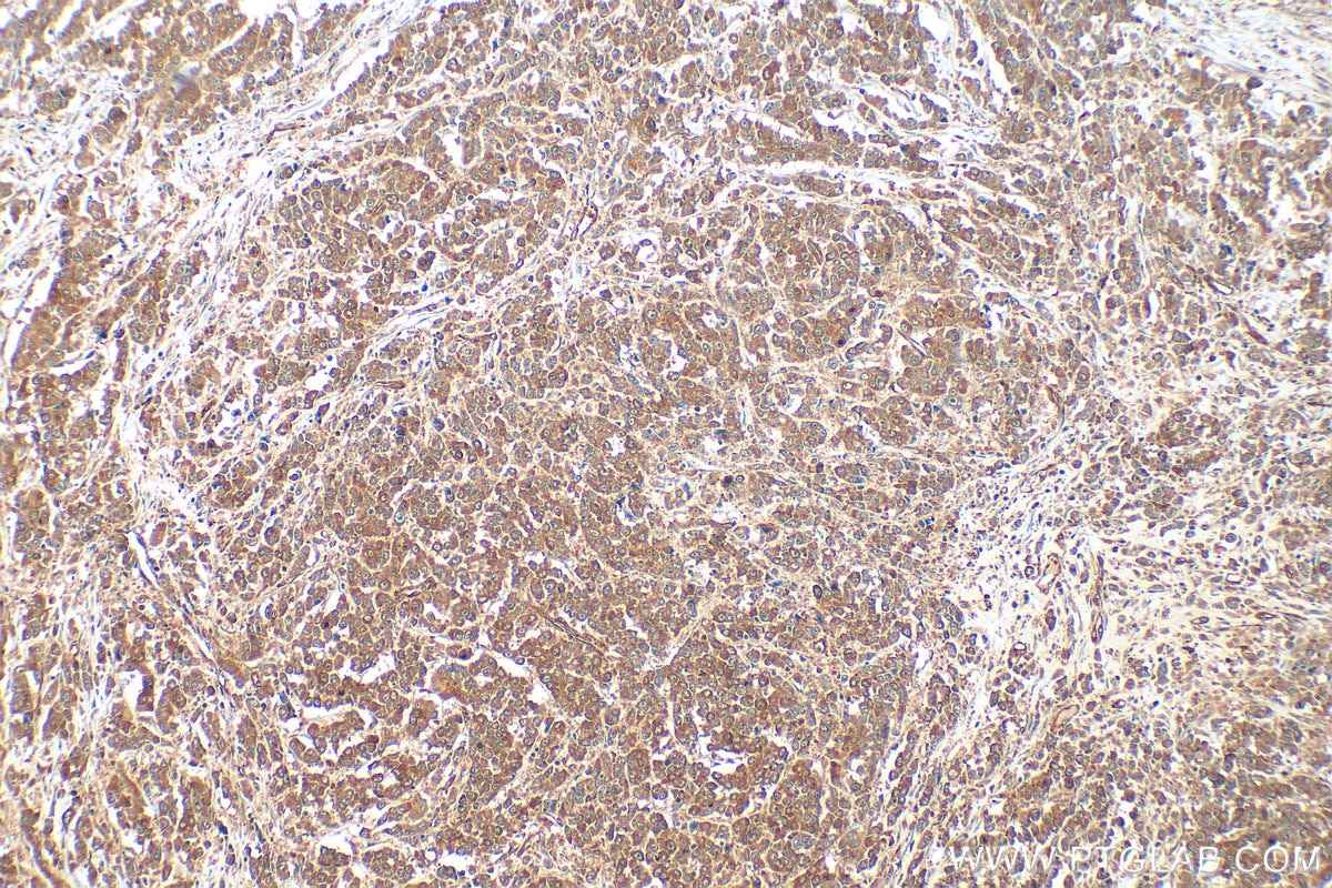
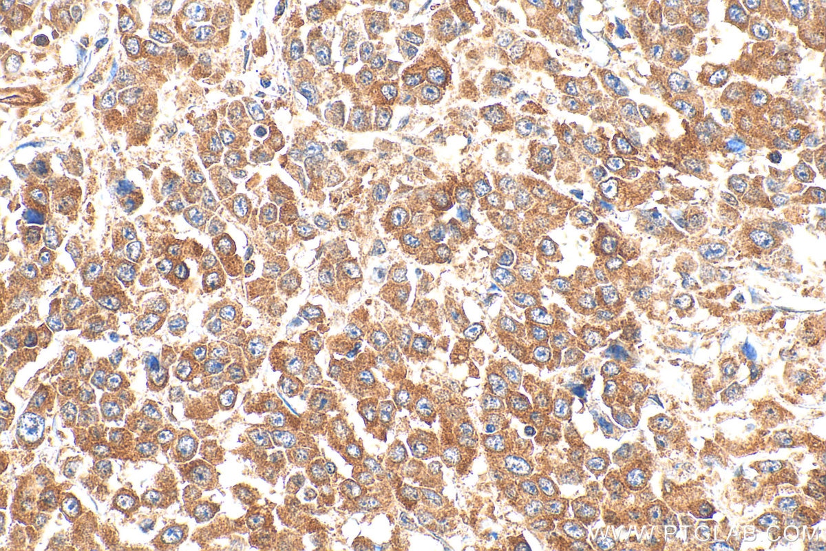
| Positive IHC detected in | human colon cancer tissue Note: suggested antigen retrieval with TE buffer pH 9.0; (*) Alternatively, antigen retrieval may be performed with citrate buffer pH 6.0 |
| Positive IF/ICC detected in | HepG2 cells |
Recommended dilution
| Application | Dilution |
|---|---|
| Western Blot (WB) | WB : 1:500-1:1000 |
| Immunoprecipitation (IP) | IP : 0.5-4.0 ug for 1.0-3.0 mg of total protein lysate |
| Immunohistochemistry (IHC) | IHC : 1:200-1:800 |
| Immunofluorescence (IF)/ICC | IF/ICC : 1:10-1:100 |
| It is recommended that this reagent should be titrated in each testing system to obtain optimal results. | |
| Sample-dependent, Check data in validation data gallery. | |
Published Applications
| WB | See 3 publications below |
| IP | See 1 publications below |
Product Information
20282-1-AP targets FAM127 in WB, IHC, IF/ICC, IP, ELISA applications and shows reactivity with human, mouse, rat samples.
| Tested Reactivity | human, mouse, rat |
| Cited Reactivity | human, mouse |
| Host / Isotype | Rabbit / IgG |
| Class | Polyclonal |
| Type | Antibody |
| Immunogen |
CatNo: Ag13930 Product name: Recombinant human FAM127B protein Source: e coli.-derived, PGEX-4T Tag: GST Domain: 1-113 aa of BC000393 Sequence: MDGRVQLMKALLAGPLRPAARRWRNPIPFPETFDGDTDRLPEFIVQTCSYMFVDENTFSNDALKVTFLITRLTGPALQWVIPYIRKESPLLNDYRGFLAEMKRVFGWEEDEDF Predict reactive species |
| Full Name | family with sequence similarity 127, member B |
| Calculated Molecular Weight | 113 aa, 13 kDa |
| Observed Molecular Weight | 13 kDa |
| GenBank Accession Number | BC000393 |
| Gene Symbol | FAM127B |
| Gene ID (NCBI) | 26071 |
| RRID | AB_10694677 |
| Conjugate | Unconjugated |
| Form | Liquid |
| Purification Method | Antigen affinity purification |
| UNIPROT ID | Q9BWD3 |
| Storage Buffer | PBS with 0.02% sodium azide and 50% glycerol, pH 7.3. |
| Storage Conditions | Store at -20°C. Stable for one year after shipment. Aliquoting is unnecessary for -20oC storage. 20ul sizes contain 0.1% BSA. |
Background Information
The FAM127 family currently has three members, namely FAM127A (also called RTL8C and CXX1), FAM127B (also called CXX1B and RTL8A), and FAM127C (also called RTL8B and CXX1C). They are located on chromosomes and their functions are unknown. All three are composed of 113 amino acids and have extremely high sequence similarity. The immunogen of this antibody has a sequence similarity of more than 95% with members of the FAM127 family. Theoretically, the antibody can recognize all members of the FAM127 family.
Protocols
| Product Specific Protocols | |
|---|---|
| IP protocol for FAM127 antibody 20282-1-AP | Download protocol |
| WB protocol for FAM127 antibody 20282-1-AP | Download protocol |
| IF protocol for FAM127 antibody 20282-1-AP | Download protocol |
| IHC protocol for FAM127 antibody 20282-1-AP | Download protocol |
| Standard Protocols | |
|---|---|
| Click here to view our Standard Protocols |
Publications
| Species | Application | Title |
|---|---|---|
Sci Adv Endogenous retrovirus-like proteins recruit UBQLN2 to stress granules and shape their functional biology | ||
Cell Mol Life Sci RTL8 promotes nuclear localization of UBQLN2 to subnuclear compartments associated with protein quality control. | ||
bioRxiv Endogenous retrovirus-like proteins recruit UBQLN2 to stress granules and alter their functional properties | ||
Reviews
The reviews below have been submitted by verified Proteintech customers who received an incentive for providing their feedback.
FH Harihar (Verified Customer) (01-28-2024) | The antibody works well for Western blots and we have validated it in knockout cell lines. There is however a lot of high molecular weight background bands. It is not suitable for IF.
![]() |












