Tested Applications
| Positive WB detected in | Caki-2 cells, HepG2 cells, RT-4 cells |
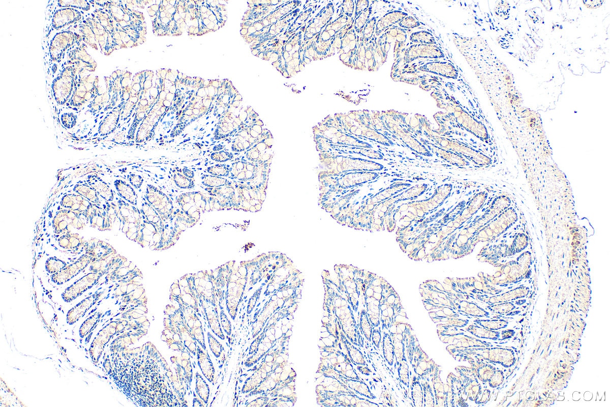
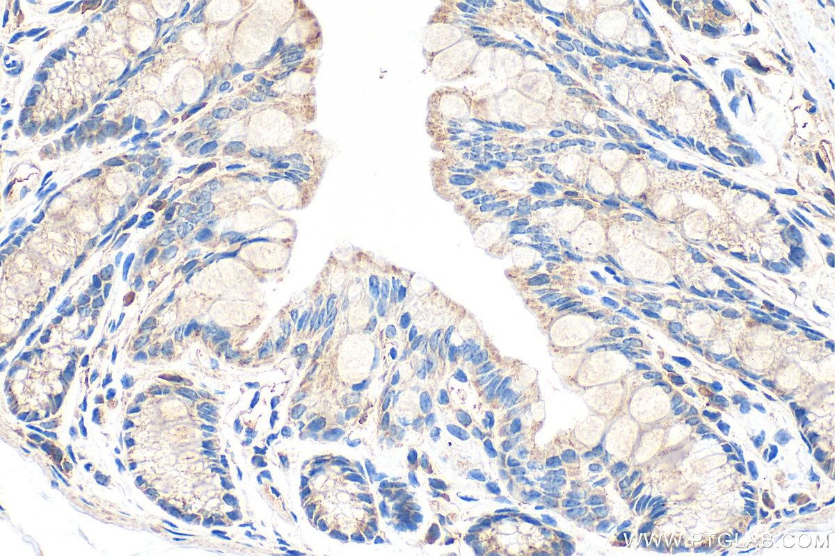
| Positive IHC detected in | mouse colon tissue Note: suggested antigen retrieval with TE buffer pH 9.0; (*) Alternatively, antigen retrieval may be performed with citrate buffer pH 6.0 |
| Positive IF/ICC detected in | A431 cells |
Recommended dilution
| Application | Dilution |
|---|---|
| Western Blot (WB) | WB : 1:5000-1:50000 |
| Immunohistochemistry (IHC) | IHC : 1:200-1:800 |
| Immunofluorescence (IF)/ICC | IF/ICC : 1:200-1:800 |
| It is recommended that this reagent should be titrated in each testing system to obtain optimal results. | |
| Sample-dependent, Check data in validation data gallery. | |
Product Information
32034-1-AP targets FAM162A in WB, IHC, IF/ICC, ELISA applications and shows reactivity with human, mouse samples.
| Tested Reactivity | human, mouse |
| Host / Isotype | Rabbit / IgG |
| Class | Polyclonal |
| Type | Antibody |
| Immunogen |
CatNo: Ag36569 Product name: Recombinant human FAM162A protein Source: e coli.-derived, PGEX-4T Tag: GST Domain: 1-154 aa of BC015060 Sequence: MGSLSGLRLAAGSCFRLCERDVSSSLRLTRSSDLKRINGFCTKPQESPGVPSRTYNRVPLHKPTDWQKKILIWSGRFKKEDEIPETVSLEMLDAAKNKMRVKISYLMIALTVVGCIFMVIEGKKAAQRHETLTSLNLEKKARLKEEAAMKAKTE Predict reactive species |
| Full Name | family with sequence similarity 162, member A |
| Calculated Molecular Weight | 154 aa, 17 kDa |
| Observed Molecular Weight | 17 kDa |
| GenBank Accession Number | BC015060 |
| Gene Symbol | FAM162A |
| Gene ID (NCBI) | 26355 |
| RRID | AB_3670175 |
| Conjugate | Unconjugated |
| Form | Liquid |
| Purification Method | Antigen affinity Purification |
| UNIPROT ID | Q96A26 |
| Storage Buffer | PBS with 0.02% sodium azide and 50% glycerol, pH 7.3. |
| Storage Conditions | Store at -20°C. Stable for one year after shipment. Aliquoting is unnecessary for -20oC storage. 20ul sizes contain 0.1% BSA. |
Background Information
Family with sequence similarity 162 member A (FAM162A, also known as E2IG5, HGTD-P, and C3orf28) is a mitochondrial apoptotic protein, which is known as an HIF-1 alpha-responsive pro-apoptotic molecule (PMID: 15082785; 16698020; 22776087). When FAM162A was overexpressed, the hypoxia signal was sent directly to the mitochondria and caused cell death (PMID: 16698020).
Protocols
| Product Specific Protocols | |
|---|---|
| IF protocol for FAM162A antibody 32034-1-AP | Download protocol |
| IHC protocol for FAM162A antibody 32034-1-AP | Download protocol |
| WB protocol for FAM162A antibody 32034-1-AP | Download protocol |
| Standard Protocols | |
|---|---|
| Click here to view our Standard Protocols |







