Tested Applications
| Positive WB detected in | mouse colon tissue, rat colon tissue |
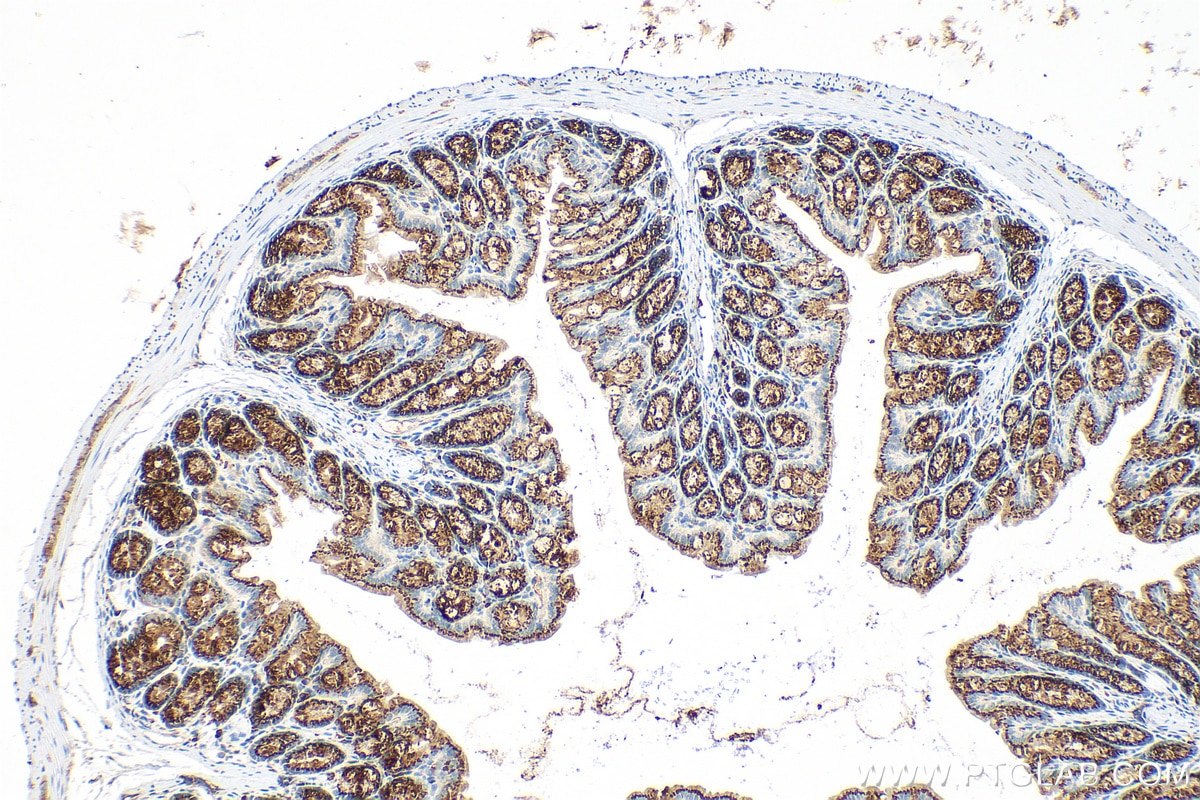
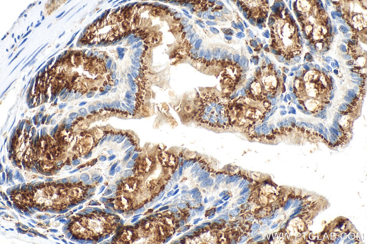
| Positive IHC detected in | mouse colon tissue Note: suggested antigen retrieval with TE buffer pH 9.0; (*) Alternatively, antigen retrieval may be performed with citrate buffer pH 6.0 |
Recommended dilution
| Application | Dilution |
|---|---|
| Western Blot (WB) | WB : 1:1000-1:8000 |
| Immunohistochemistry (IHC) | IHC : 1:400-1:1600 |
| It is recommended that this reagent should be titrated in each testing system to obtain optimal results. | |
| Sample-dependent, Check data in validation data gallery. | |
Product Information
32785-1-AP targets FAM3D in WB, IHC, ELISA applications and shows reactivity with mouse, rat samples.
| Tested Reactivity | mouse, rat |
| Host / Isotype | Rabbit / IgG |
| Class | Polyclonal |
| Type | Antibody |
| Immunogen |
CatNo: Eg2694 Product name: Recombinant Mouse Oit1 protein (rFc Tag) Source: mammalian cells-derived, V37 Tag: C-rFc Domain: 26-223 aa of NM_146050.2 Sequence: YTSFSRKTIRLPRWLGITPKDIQTPKSKCGLSKICPNNFFAFKISSGAANVVGPSMCFEDEIIMSPVRNNVGRGLNVALVNGSTGQVMKKDSFDMYSGDPQLLLNFLTEIPDSTLVLVASYDDPGTKMNDKIKTLFSNLGSSYAKQLGFRDSWVFVGAKDLKSKSPYEQFLKNNPETNKYDGWPELLELEGCVPRKVM Predict reactive species |
| Full Name | oncoprotein induced transcript 1 |
| Calculated Molecular Weight | 25 kDa |
| Observed Molecular Weight | 25 kDa |
| GenBank Accession Number | NM_146050.2 |
| Gene Symbol | Oit1 |
| Gene ID (NCBI) | 18300 |
| Conjugate | Unconjugated |
| Form | Liquid |
| Purification Method | Antigen affinity Purification |
| UNIPROT ID | P97805 |
| Storage Buffer | PBS with 0.02% sodium azide and 50% glycerol, pH 7.3. |
| Storage Conditions | Store at -20°C. Stable for one year after shipment. Aliquoting is unnecessary for -20oC storage. 20ul sizes contain 0.1% BSA. |
Background Information
FAM3D (family with sequence similarity 3, member D) is a protein that belongs to the FAM3 family, which is a novel cytokine-like gene family identified in 2002. This family comprises four members: FAM3A, FAM3B, FAM3C, and FAM3D. FAM3D is a gut-secreted protein that is regulated by nutritional status. It has a predicted secondary structure of a four-helix bundle, which is a common feature in many other cytokines.
Protocols
| Product Specific Protocols | |
|---|---|
| IHC protocol for FAM3D antibody 32785-1-AP | Download protocol |
| WB protocol for FAM3D antibody 32785-1-AP | Download protocol |
| Standard Protocols | |
|---|---|
| Click here to view our Standard Protocols |





