Tested Applications
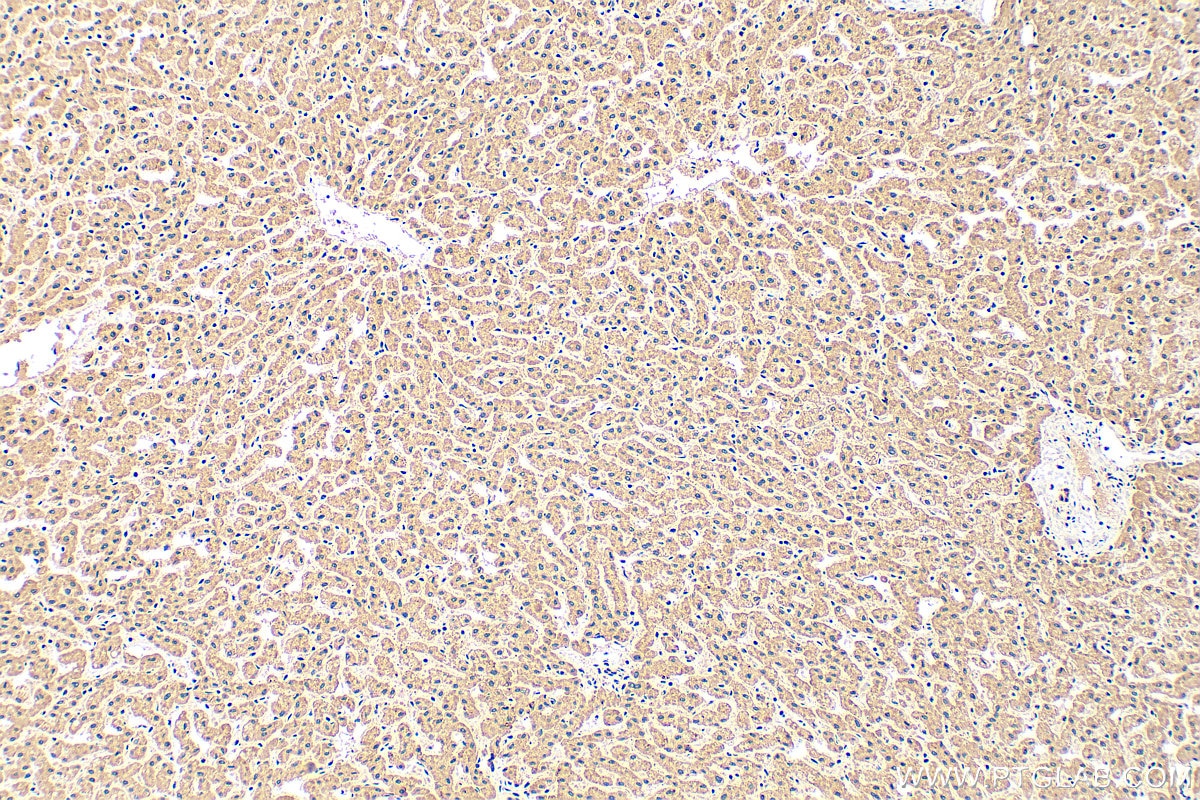
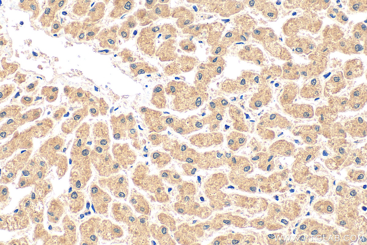
| Positive IHC detected in | human liver tissue Note: suggested antigen retrieval with TE buffer pH 9.0; (*) Alternatively, antigen retrieval may be performed with citrate buffer pH 6.0 |
Recommended dilution
| Application | Dilution |
|---|---|
| Immunohistochemistry (IHC) | IHC : 1:50-1:500 |
| It is recommended that this reagent should be titrated in each testing system to obtain optimal results. | |
| Sample-dependent, Check data in validation data gallery. | |
Product Information
17139-1-AP targets FBXL13 in IHC, ELISA applications and shows reactivity with human samples.
| Tested Reactivity | human |
| Host / Isotype | Rabbit / IgG |
| Class | Polyclonal |
| Type | Antibody |
| Immunogen |
CatNo: Ag10903 Product name: Recombinant human FBXL13 protein Source: e coli.-derived, PGEX-4T Tag: GST Domain: 358-707 aa of BC031285 Sequence: NDMPTLTDNCVKALVEKCSRITSLVFTGAPHISDCTFRALSACKLRKIRFEGNKRVTDASFKFIDKNYPNLSHIYMADCKGITDSSLRSLSPLKQLTVLNLANCVRIGDMGLKQFLDGPASMRIRELNLSNCVRLSDASVMKLSERCPNLNYLSLRNCEHLTAQGIGYIVNIFSLVSIDLSGTDISNEAFCKSSLILEHLDVSYCSQLSDMIIKALAIYCINLTSLSIAGCPKITDSAMEMLSAKCHYLHILDISGCVLLTDQILEDLQIGCKQLRILKMQYCTNISKKAAQRMSSKVQQQEYNTNGPPRWFGYDREGNPVTELDNITSSKGALELTVKKSTYSSEDQAA Predict reactive species |
| Full Name | F-box and leucine-rich repeat protein 13 |
| Calculated Molecular Weight | 707 aa, 81 kDa |
| GenBank Accession Number | BC031285 |
| Gene Symbol | FBXL13 |
| Gene ID (NCBI) | 222235 |
| RRID | AB_2103869 |
| Conjugate | Unconjugated |
| Form | Liquid |
| Purification Method | Antigen affinity purification |
| UNIPROT ID | Q8NEE6 |
| Storage Buffer | PBS with 0.02% sodium azide and 50% glycerol, pH 7.3. |
| Storage Conditions | Store at -20°C. Stable for one year after shipment. Aliquoting is unnecessary for -20oC storage. 20ul sizes contain 0.1% BSA. |
Background Information
FBXL13, a binding determinant of SCF (SKP1-CUL1-F-box)-family E3 ubiquitin ligases, is enriched at centrosomes and interacts with the centrosomal proteins Centrin-2, Centrin-3, CEP152 and CEP192. Induced FBXL13 expression downregulates centrosomal γ-tubulin and disrupts centrosomal microtubule arrays. FBXL13 is a novel regulator of microtubule nucleation activity and participate in promoting cell motility with potential tumour-promoting implications (PMID: 29348145).
Protocols
| Product Specific Protocols | |
|---|---|
| IHC protocol for FBXL13 antibody 17139-1-AP | Download protocol |
| Standard Protocols | |
|---|---|
| Click here to view our Standard Protocols |



