Tested Applications
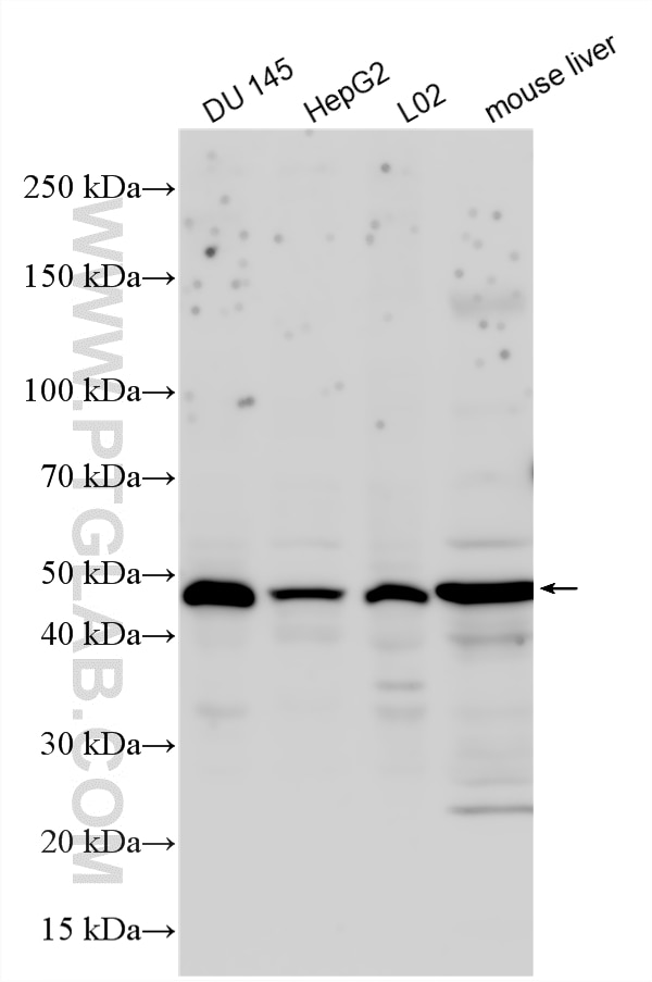
| Positive WB detected in | DU 145 cells, HepG2 cells, L02 cells, mouse liver tissue |
| Positive IHC detected in | human stomach cancer tissue Note: suggested antigen retrieval with TE buffer pH 9.0; (*) Alternatively, antigen retrieval may be performed with citrate buffer pH 6.0 |
Recommended dilution
| Application | Dilution |
|---|---|
| Western Blot (WB) | WB : 1:200-1:1000 |
| Immunohistochemistry (IHC) | IHC : 1:50-1:500 |
| It is recommended that this reagent should be titrated in each testing system to obtain optimal results. | |
| Sample-dependent, Check data in validation data gallery. | |
Product Information
26355-1-AP targets PRR5L/Protor-2 in WB, IHC, ELISA applications and shows reactivity with human samples.
| Tested Reactivity | human |
| Host / Isotype | Rabbit / IgG |
| Class | Polyclonal |
| Type | Antibody |
| Immunogen |
CatNo: Ag23837 Product name: Recombinant human FLJ14213 protein Source: e coli.-derived, PGEX-4T Tag: GST Domain: 1-139 aa of BC008922 Sequence: MPVFSRAPARRHSRVRPKVTVLNYASPITAVSRPLNEMVLTPLTEQEGEAYLEKCGSVRRHTVANAHSDIQLLAMATMMHSGLGEEASSENKCLLLPPSFPPPHRQCSSEPNITDNPDGLEEGARGSQEGSELNCASLS Predict reactive species |
| Full Name | protor-2 |
| Observed Molecular Weight | 42 kDa |
| GenBank Accession Number | BC008922 |
| Gene Symbol | FLJ14213 |
| Gene ID (NCBI) | 79899 |
| RRID | AB_2880488 |
| Conjugate | Unconjugated |
| Form | Liquid |
| Purification Method | Antigen affinity purification |
| UNIPROT ID | Q6MZQ0 |
| Storage Buffer | PBS with 0.02% sodium azide and 50% glycerol, pH 7.3. |
| Storage Conditions | Store at -20°C. Stable for one year after shipment. Aliquoting is unnecessary for -20oC storage. 20ul sizes contain 0.1% BSA. |
Protocols
| Product Specific Protocols | |
|---|---|
| IHC protocol for PRR5L/Protor-2 antibody 26355-1-AP | Download protocol |
| WB protocol for PRR5L/Protor-2 antibody 26355-1-AP | Download protocol |
| Standard Protocols | |
|---|---|
| Click here to view our Standard Protocols |



