Tested Applications
| Positive WB detected in | mouse kidney tissue, mouse lung tissue |
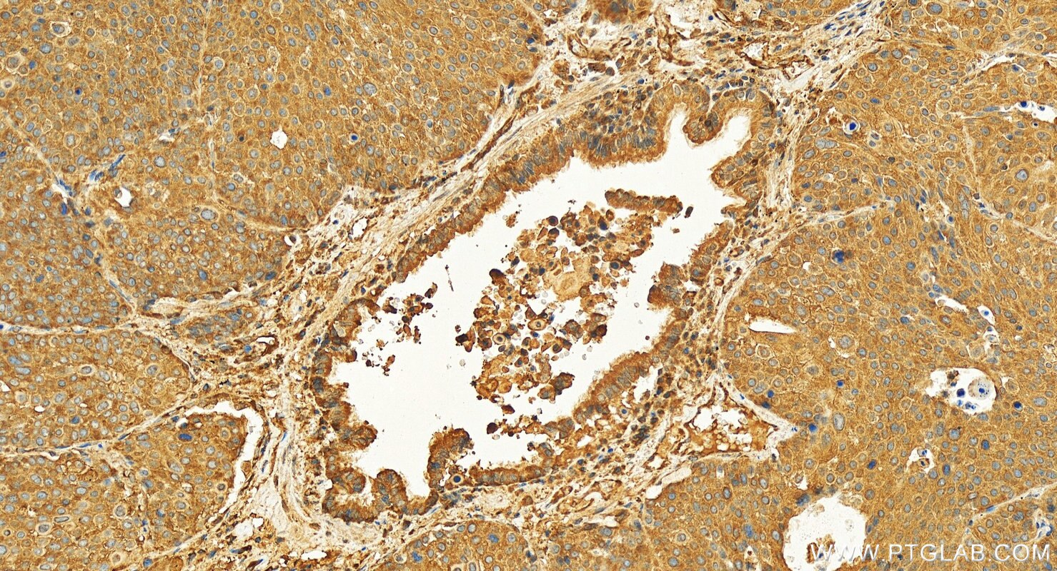
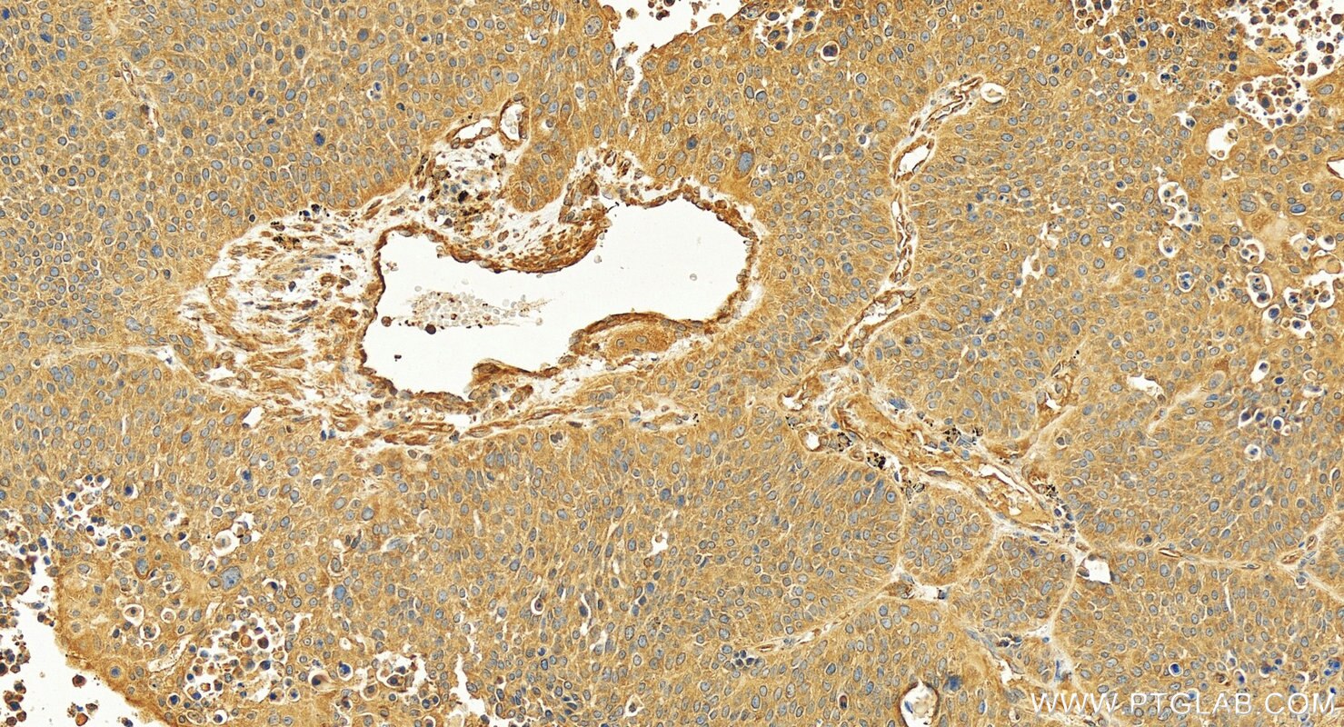
| Positive IHC detected in | human lung squamous cell cancer Note: suggested antigen retrieval with TE buffer pH 9.0; (*) Alternatively, antigen retrieval may be performed with citrate buffer pH 6.0 |
Recommended dilution
| Application | Dilution |
|---|---|
| Western Blot (WB) | WB : 1:500-1:2000 |
| Immunohistochemistry (IHC) | IHC : 1:50-1:500 |
| It is recommended that this reagent should be titrated in each testing system to obtain optimal results. | |
| Sample-dependent, Check data in validation data gallery. | |
Product Information
16861-1-AP targets FMO2-specific in WB, IHC, ELISA applications and shows reactivity with human, mouse samples.
| Tested Reactivity | human, mouse |
| Host / Isotype | Rabbit / IgG |
| Class | Polyclonal |
| Type | Antibody |
| Immunogen |
Peptide Predict reactive species |
| Full Name | flavin containing monooxygenase 2 |
| Calculated Molecular Weight | 54 kDa |
| Observed Molecular Weight | 50-60 kDa |
| GenBank Accession Number | NM_001460 |
| Gene Symbol | FMO2 |
| Gene ID (NCBI) | 2327 |
| RRID | AB_2105388 |
| Conjugate | Unconjugated |
| Form | Liquid |
| Purification Method | Antigen affinity purification |
| UNIPROT ID | Q99518 |
| Storage Buffer | PBS with 0.02% sodium azide and 50% glycerol, pH 7.3. |
| Storage Conditions | Store at -20°C. Stable for one year after shipment. Aliquoting is unnecessary for -20oC storage. 20ul sizes contain 0.1% BSA. |
Background Information
FMO2, belongs to FMO (flavin containing monooxygenase) family, which catalyzes the oxidation of soft nucleophilic heteroatom centers in drugs, pesticides, and xenobiotics. FMO family has 1-5 members, with homologous sequences. This antibody is specially against FMO2. It does not bind other FMOs.
Protocols
| Product Specific Protocols | |
|---|---|
| IHC protocol for FMO2-specific antibody 16861-1-AP | Download protocol |
| WB protocol for FMO2-specific antibody 16861-1-AP | Download protocol |
| Standard Protocols | |
|---|---|
| Click here to view our Standard Protocols |







