Tested Applications
| Positive WB detected in | HeLa cells, HepG2 cells, human brain tissue |
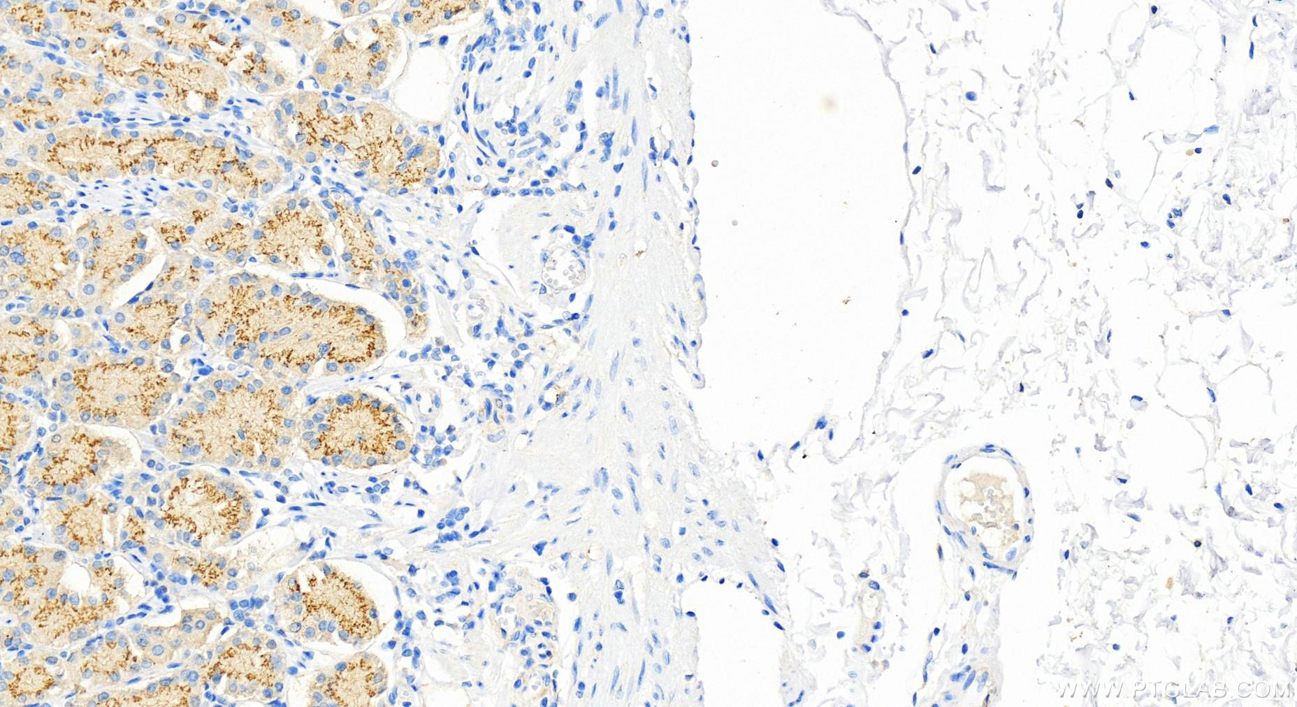
| Positive IHC detected in | human stomach tissue Note: suggested antigen retrieval with TE buffer pH 9.0; (*) Alternatively, antigen retrieval may be performed with citrate buffer pH 6.0 |
Recommended dilution
| Application | Dilution |
|---|---|
| Western Blot (WB) | WB : 1:500-1:3000 |
| Immunohistochemistry (IHC) | IHC : 1:150-1:600 |
| It is recommended that this reagent should be titrated in each testing system to obtain optimal results. | |
| Sample-dependent, Check data in validation data gallery. | |
Published Applications
| WB | See 1 publications below |
| IHC | See 2 publications below |
Product Information
13962-1-AP targets GALNT7 in WB, IHC, ELISA applications and shows reactivity with human, mouse, rat samples.
| Tested Reactivity | human, mouse, rat |
| Cited Reactivity | human |
| Host / Isotype | Rabbit / IgG |
| Class | Polyclonal |
| Type | Antibody |
| Immunogen |
CatNo: Ag4917 Product name: Recombinant human GALNT7 protein Source: e coli.-derived, PGEX-4T Tag: GST Domain: 308-657 aa of BC047468 Sequence: VNWYAPLVAPISKDRTICTVPLIDVINGNTYEIIPQGGGDEDGYARGAWDWSMLWKRVPLTPQEKRLRKTKTEPYRSPAMAGGLFAIEREFFFELGLYDPGLQIWGGENFEISYKIWQCGGKLLFVPCSRVGHIYRLEGWQGNPPPIYVGSSPTLKNYVRVVEVWWDEYKDYFYASRPESQALPYGDISELKKFREDHNCKSFKWFMEEIAYDITSHYPLPPKNVDWGEIRGFETAYCIDSMGKTNGGFVELGPCHRMGGNQLFRINEANQLMQYDQCLTKGADGSKVMITHCNLNEFKEWQYFKNLHRFTHIPSGKCLDRSEVLHQVFISNCDSSKTTQKWEMNNIHSV Predict reactive species |
| Full Name | UDP-N-acetyl-alpha-D-galactosamine:polypeptide N-acetylgalactosaminyltransferase 7 (GalNAc-T7) |
| Calculated Molecular Weight | 75.4 kDa |
| Observed Molecular Weight | 75 kDa |
| GenBank Accession Number | BC047468 |
| Gene Symbol | GALNT7 |
| Gene ID (NCBI) | 51809 |
| RRID | AB_2109009 |
| Conjugate | Unconjugated |
| Form | Liquid |
| Purification Method | Antigen affinity purification |
| UNIPROT ID | Q86SF2 |
| Storage Buffer | PBS with 0.02% sodium azide and 50% glycerol, pH 7.3. |
| Storage Conditions | Store at -20°C. Stable for one year after shipment. Aliquoting is unnecessary for -20oC storage. 20ul sizes contain 0.1% BSA. |
Background Information
GALNT7 is a member of GALNT family that are glycotransferases involved in oligosaccharide biosynthesis. Aberrant glycosylation has been linked to tumor development and progression. Increased expression of GALNT7 has been observed in cervical cancer cells. (PMID: 22399294)
Protocols
| Product Specific Protocols | |
|---|---|
| IHC protocol for GALNT7 antibody 13962-1-AP | Download protocol |
| WB protocol for GALNT7 antibody 13962-1-AP | Download protocol |
| Standard Protocols | |
|---|---|
| Click here to view our Standard Protocols |
Publications
| Species | Application | Title |
|---|---|---|
Am J Transl Res Resveratrol enhances MUC2 synthesis via the ANRIL-miR-34a axis to mitigate IBD | ||
J Pathol Clin Res Targeting the cancer glycocalyx in salivary duct carcinoma: tumor-associated mucin 1 (Tn-MUC1) as a novel cell surface marker | ||
Eur J Histochem Histological and histochemical characterization of the musk gland in forest musk deer (Moschus berezovskii): a preliminary study |
Reviews
The reviews below have been submitted by verified Proteintech customers who received an incentive for providing their feedback.
FH Maggie (Verified Customer) (11-03-2023) | 3 hours incubation
![]() |








