Tested Applications
| Positive WB detected in | human brain tissue, human cerebellum tissue, human kidney tissue, mouse lung tissue |
| Positive IP detected in | mouse lung tissue |
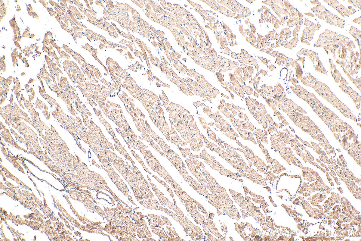
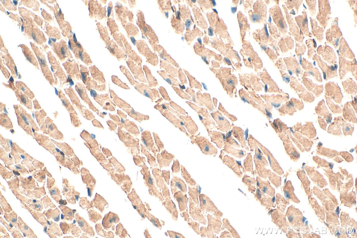
| Positive IHC detected in | mouse heart tissue, human heart tissue Note: suggested antigen retrieval with TE buffer pH 9.0; (*) Alternatively, antigen retrieval may be performed with citrate buffer pH 6.0 |
Recommended dilution
| Application | Dilution |
|---|---|
| Western Blot (WB) | WB : 1:500-1:2000 |
| Immunoprecipitation (IP) | IP : 0.5-4.0 ug for 1.0-3.0 mg of total protein lysate |
| Immunohistochemistry (IHC) | IHC : 1:50-1:500 |
| It is recommended that this reagent should be titrated in each testing system to obtain optimal results. | |
| Sample-dependent, Check data in validation data gallery. | |
Published Applications
| WB | See 9 publications below |
| IHC | See 1 publications below |
| IF | See 3 publications below |
Product Information
12605-1-AP targets GUCY1A3 in WB, IHC, IF, IP, ELISA applications and shows reactivity with human, mouse, rat samples.
| Tested Reactivity | human, mouse, rat |
| Cited Reactivity | human, mouse |
| Host / Isotype | Rabbit / IgG |
| Class | Polyclonal |
| Type | Antibody |
| Immunogen |
CatNo: Ag3293 Product name: Recombinant human GUCY1A3 protein Source: e coli.-derived, PGEX-4T Tag: GST Domain: 391-690 aa of BC028384 Sequence: EDFTGRGLYLSDIPIHNALRDVVLIGEQARAQDGLKKRLGKLKATLEQAHQALEEEKKKTVDLLCSIFPCEVAQQLWQGQVVQAKKFSNVTMLFSDIVGFTAICSQCSPLQVITMLNALYTRFDQQCGELDVYKVETIGDAYCVAGGLHKESDTHAVQIALMAVKMMELSDEVMSPHGEPIKMRIGLHSGSVFAGVVGVKMPRYCLFGNNVTLANKFESCSVPRKINVSPTTYRLLKDCPGFVFTPRSREELPPNFPSEIPGICHFLDAYQQGTNSKPCFQKKDVEDGNANFLGKASGID Predict reactive species |
| Full Name | guanylate cyclase 1, soluble, alpha 3 |
| Calculated Molecular Weight | 690 aa, 77 kDa |
| Observed Molecular Weight | 77 kDa |
| GenBank Accession Number | BC028384 |
| Gene Symbol | GUCY1A3 |
| Gene ID (NCBI) | 2982 |
| RRID | AB_2248099 |
| Conjugate | Unconjugated |
| Form | Liquid |
| Purification Method | Antigen affinity purification |
| UNIPROT ID | Q02108 |
| Storage Buffer | PBS with 0.02% sodium azide and 50% glycerol, pH 7.3. |
| Storage Conditions | Store at -20°C. Stable for one year after shipment. Aliquoting is unnecessary for -20oC storage. 20ul sizes contain 0.1% BSA. |
Background Information
Guanylate cyclase soluble subunit alpha-1 (GUCY1A3, also known as GUCY1A1, GCS-alpha-1, and GCS-alpha-3) is a lyase that plays a role in cGMP biosynthesis (PMID: 24155296). GUCY1A3 activation may be considered as a strategy to alleviate endothelial ferroptosis and cardiac microvascular reperfusion injury (PMID: 40856046). GUCY1A3 is also known to be associated with coronary artery disease and pulmonary artery hypertension (PMID: 24213632; 25373139).
Protocols
| Product Specific Protocols | |
|---|---|
| IHC protocol for GUCY1A3 antibody 12605-1-AP | Download protocol |
| IP protocol for GUCY1A3 antibody 12605-1-AP | Download protocol |
| WB protocol for GUCY1A3 antibody 12605-1-AP | Download protocol |
| Standard Protocols | |
|---|---|
| Click here to view our Standard Protocols |
Publications
| Species | Application | Title |
|---|---|---|
Hepatology Single-cell transcriptomic analysis reveals a hepatic stellate cell-activation roadmap and myofibroblast origin during liver fibrosis. | ||
Nat Commun Aortic disease in Marfan syndrome is caused by overactivation of sGC-PRKG signaling by NO. | ||
Int J Mol Sci Hypertensive Effect of Downregulation of the Opioid System in Mouse Model of Different Activity of the Endogenous Opioid System. | ||
J Ethnopharmacol Modified Zhenwu Decoction improved intestinal barrier function of experimental colitis through activation of sGC-mediated cGMP/PKG signaling | ||
Sci Rep Hypertension reduces soluble guanylyl cyclase expression in the mouse aorta via the Notch signaling pathway. | ||
Eur J Pharmacol Sodium valproate treatment reverses endothelial dysfunction in aorta from rabbits with acute myocardial infarction |





















