Tested Applications
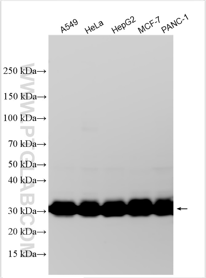
| Positive WB detected in | A549 cells, mouse brain tissue, HeLa cells, HepG2 cells, MCF-7 cells, PANC-1 cells |
| Positive IF/ICC detected in | A549 cells |
Recommended dilution
| Application | Dilution |
|---|---|
| Western Blot (WB) | WB : 1:2000-1:10000 |
| Immunofluorescence (IF)/ICC | IF/ICC : 1:200-1:800 |
| It is recommended that this reagent should be titrated in each testing system to obtain optimal results. | |
| Sample-dependent, Check data in validation data gallery. | |
Published Applications
| WB | See 2 publications below |
| IP | See 1 publications below |
Product Information
17196-1-AP targets GLO2 in WB, IF/ICC, IP, ELISA applications and shows reactivity with human, mouse samples.
| Tested Reactivity | human, mouse |
| Cited Reactivity | human |
| Host / Isotype | Rabbit / IgG |
| Class | Polyclonal |
| Type | Antibody |
| Immunogen |
CatNo: Ag9998 Product name: Recombinant human HAGH protein Source: e coli.-derived, PGEX-4T Tag: GST Domain: 1-260 aa of BC000840 Sequence: MKVEVLPALTDNYMYLVIDDETKEAAIVDPVQPQKVVDAARKHGVKLTTVLTTHHHWDHAGGNEKLVKLESGLKVYGGDDRIGALTHKITHLSTLQVGSLNVKCLATPCHTSGHICYFVSKPGGSEPPAVFTGDTLFVAGCGKFYEGTADEMCKALLEVLGRLPPDTRVYCGHEYTINNLKFARHVEPGNAAIREKLAWAKEKYSIGEPTVPSTLAEEFTYNPFMRVREKTVQQHAGETDPVTTMRAVRREKDQFKMPRD Predict reactive species |
| Full Name | hydroxyacylglutathione hydrolase |
| Calculated Molecular Weight | 34 kDa |
| Observed Molecular Weight | 29 kDa |
| GenBank Accession Number | BC000840 |
| Gene Symbol | HAGH |
| Gene ID (NCBI) | 3029 |
| RRID | AB_2878361 |
| Conjugate | Unconjugated |
| Form | Liquid |
| Purification Method | Antigen affinity purification |
| UNIPROT ID | Q16775 |
| Storage Buffer | PBS with 0.02% sodium azide and 50% glycerol, pH 7.3. |
| Storage Conditions | Store at -20°C. Stable for one year after shipment. Aliquoting is unnecessary for -20oC storage. 20ul sizes contain 0.1% BSA. |
Background Information
GLO2 (Glyoxalase 2) is one of the key enzymes in the glyoxalase system, which is mainly involved in cellular metabolic processes, especially the metabolic pathways related to glycolysis.
Protocols
| Product Specific Protocols | |
|---|---|
| IF protocol for GLO2 antibody 17196-1-AP | Download protocol |
| WB protocol for GLO2 antibody 17196-1-AP | Download protocol |
| Standard Protocols | |
|---|---|
| Click here to view our Standard Protocols |
Publications
| Species | Application | Title |
|---|---|---|
Brain C9orf72 expansion within astrocytes reduces metabolic flexibility in amyotrophic lateral sclerosis. | ||
Oncol Rep Butyrate increases methylglyoxal production through regulation of the JAK2/Stat3/Nrf2/Glo1 pathway in castration‑resistant prostate cancer cells | ||
Adv Sci (Weinh) Targeting Methylglyoxal Metabolism to Enhance Ferroptosis Sensitivity in Tumor Therapy |





