Tested Applications
| Positive WB detected in | HeLa cells, human heart tissue, human skeletal muscle tissue |
| Positive IP detected in | HEK-293 cells |
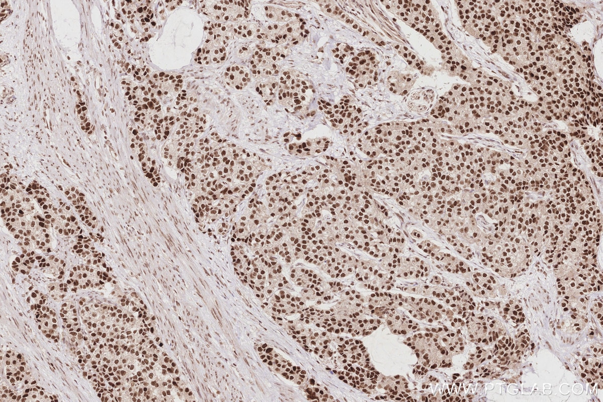
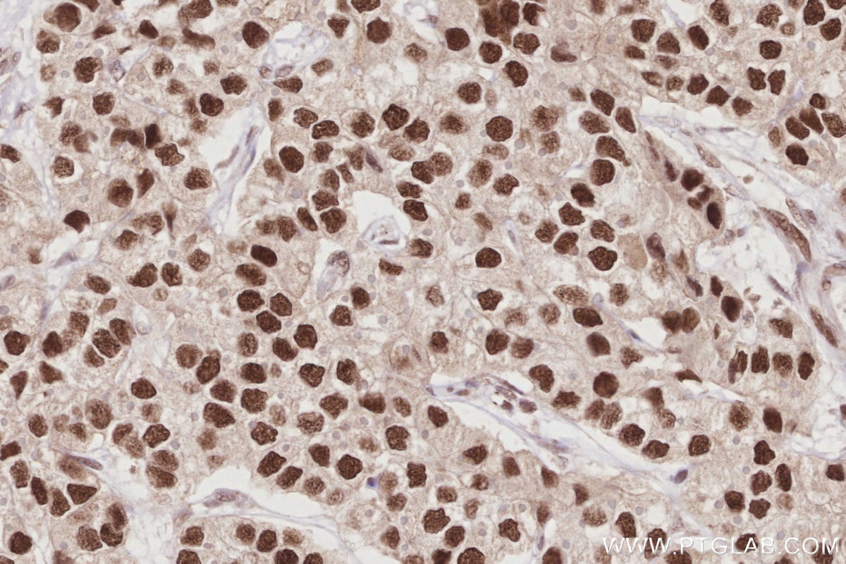
| Positive IHC detected in | human ovary tissue, human heart tissue, human kidney tissue, human placenta tissue, human skin tissue, human stomach cancer tissue, human testis tissue Note: suggested antigen retrieval with TE buffer pH 9.0; (*) Alternatively, antigen retrieval may be performed with citrate buffer pH 6.0 |
Recommended dilution
| Application | Dilution |
|---|---|
| Western Blot (WB) | WB : 1:500-1:1000 |
| Immunoprecipitation (IP) | IP : 0.5-4.0 ug for 1.0-3.0 mg of total protein lysate |
| Immunohistochemistry (IHC) | IHC : 1:50-1:500 |
| It is recommended that this reagent should be titrated in each testing system to obtain optimal results. | |
| Sample-dependent, Check data in validation data gallery. | |
Published Applications
| WB | See 1 publications below |
Product Information
14992-1-AP targets HIRIP3 in WB, IHC, IP, ELISA applications and shows reactivity with human samples.
| Tested Reactivity | human |
| Cited Reactivity | mouse |
| Host / Isotype | Rabbit / IgG |
| Class | Polyclonal |
| Type | Antibody |
| Immunogen |
CatNo: Ag6978 Product name: Recombinant human HIRIP3 protein Source: e coli.-derived, PGEX-4T Tag: GST Domain: 207-556 aa of BC000588 Sequence: TAKKVEGNKGTKSLKESEQESEEEILAQKKEQREEEVEEEEKEEDEEKGDWKPRTRSNGRRKSAREERSCKQKSQAKRLLGDSDSEEEQKEAASSGDDSGRDREPPVQRKSEDRTQLKGGKRLSGSSEDEEDSGKGEPTAKGSRKMARLGSTSGEESDLEREVSDSEAGGGPQGERKNRSSKKSSRKGRTRSSSSSSDGSPEAKGGKAGSGRRGEDHPAVMRLKRYIRACGAHRNYKKLLGSCCSHKERLSILRAELEALGMKGTPSLGKCRALKEQREEAAEVASLDVANIISGSGRPRRRTAWNPLGEAAPPGELYRRTLDSDEERPRPAPPDWSHMRGIISSDGESN Predict reactive species |
| Full Name | HIRA interacting protein 3 |
| Calculated Molecular Weight | 62 kDa |
| Observed Molecular Weight | 69-90 kDa |
| GenBank Accession Number | BC000588 |
| Gene Symbol | HIRIP3 |
| Gene ID (NCBI) | 8479 |
| RRID | AB_2117876 |
| Conjugate | Unconjugated |
| Form | Liquid |
| Purification Method | Antigen affinity purification |
| UNIPROT ID | Q9BW71 |
| Storage Buffer | PBS with 0.02% sodium azide and 50% glycerol, pH 7.3. |
| Storage Conditions | Store at -20°C. Stable for one year after shipment. Aliquoting is unnecessary for -20oC storage. 20ul sizes contain 0.1% BSA. |
Background Information
The HIRIP3 protein had been identified from its interaction with the HIRA histone chaperone. It may play a role in chromatin function and histone metabolism via its interaction with HIRA and histones.
Protocols
| Product Specific Protocols | |
|---|---|
| IHC protocol for HIRIP3 antibody 14992-1-AP | Download protocol |
| IP protocol for HIRIP3 antibody 14992-1-AP | Download protocol |
| WB protocol for HIRIP3 antibody 14992-1-AP | Download protocol |
| Standard Protocols | |
|---|---|
| Click here to view our Standard Protocols |



































