Tested Applications
| Positive WB detected in | Daudi cells, HL-60 cells, human placenta tissue, MDA-MB-231 cells, THP-1 cells, U-937 cells, Raji cells, Ramos cells |
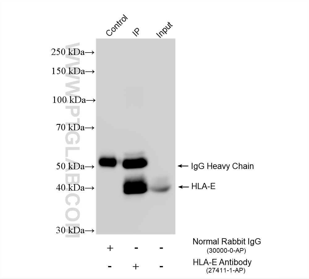
| Positive IP detected in | THP-1 cells |
| Positive IHC detected in | human tonsillitis tissue Note: suggested antigen retrieval with TE buffer pH 9.0; (*) Alternatively, antigen retrieval may be performed with citrate buffer pH 6.0 |
| Positive IF/ICC detected in | Raji cells |
Recommended dilution
| Application | Dilution |
|---|---|
| Western Blot (WB) | WB : 1:2000-1:16000 |
| Immunoprecipitation (IP) | IP : 0.5-4.0 ug for 1.0-3.0 mg of total protein lysate |
| Immunohistochemistry (IHC) | IHC : 1:500-1:2000 |
| Immunofluorescence (IF)/ICC | IF/ICC : 1:50-1:500 |
| It is recommended that this reagent should be titrated in each testing system to obtain optimal results. | |
| Sample-dependent, Check data in validation data gallery. | |
Product Information
27411-1-AP targets HLA-E in WB, IHC, IF/ICC, IP, ELISA applications and shows reactivity with human, mouse samples.
| Tested Reactivity | human, mouse |
| Host / Isotype | Rabbit / IgG |
| Class | Polyclonal |
| Type | Antibody |
| Immunogen |
CatNo: Ag26581 Product name: Recombinant human HLA-E protein Source: e coli.-derived, PGEX-4T Tag: GST Domain: 72-200 aa of BC002578 Sequence: WMEQEGSEYWDRETRSARDTAQIFRVNLRTLRGYYNQSEAGSHTLQWMHGCELGPDRRFLRGYEQFAYDGKDYLTLNEDLRSWTAVDTAAQISEQKSNDASEAEHQRAYLEDTCVEWLHKYLEKGKETL Predict reactive species |
| Full Name | major histocompatibility complex, class I, E |
| Calculated Molecular Weight | 40 kDa |
| Observed Molecular Weight | 40-42 kDa |
| GenBank Accession Number | BC002578 |
| Gene Symbol | HLA-E |
| Gene ID (NCBI) | 3133 |
| RRID | AB_2880865 |
| Conjugate | Unconjugated |
| Form | Liquid |
| Purification Method | Antigen affinity purification |
| UNIPROT ID | P13747 |
| Storage Buffer | PBS with 0.02% sodium azide and 50% glycerol, pH 7.3. |
| Storage Conditions | Store at -20°C. Stable for one year after shipment. Aliquoting is unnecessary for -20oC storage. 20ul sizes contain 0.1% BSA. |
Background Information
Human major histocompatibility complex (MHC) antigens, also referred to as human leukocyte antigens (HLA), are encoded by genes located on the short arm of chromosome 6 (6p21.3). There are two classes of HLA antigens: class I and class II. This class I molecules are membrane glycoproteins composed of a heavy (alpha) chain which is encoded by a HLA class I gene, and β2-microglobulin light (beta) chain. The most extensively characterized members of the HLA class I gene family are the genes encoding the major transplantation antigenes, HLA-A, B and C. HLA-E is a non-classical MHC class I molecule. HLA-E is frequently overexpressed in tumor diseases, transplants and virus-infected cells and represents an immunomodulatory molecule by binding to the receptors CD94/NKG2A, -B and -C on NK and T cells. Due to its immune suppressive features HLA-E expression might represent an important mechanism of tumors to escape immune surveillance.(PMID: 667938; 3375250; 2249951; 27589686)
Protocols
| Product Specific Protocols | |
|---|---|
| IF protocol for HLA-E antibody 27411-1-AP | Download protocol |
| IHC protocol for HLA-E antibody 27411-1-AP | Download protocol |
| IP protocol for HLA-E antibody 27411-1-AP | Download protocol |
| WB protocol for HLA-E antibody 27411-1-AP | Download protocol |
| Standard Protocols | |
|---|---|
| Click here to view our Standard Protocols |





















