Tested Applications
| Positive WB detected in | A549 cells, HEK-293 cells, HeLa cells, MCF-7 cells, mouse brain tissue, rat brain tissue |
| Positive IP detected in | HeLa cells |
| Positive IHC detected in | human ovary tumor tissue Note: suggested antigen retrieval with TE buffer pH 9.0; (*) Alternatively, antigen retrieval may be performed with citrate buffer pH 6.0 |
| Positive IF/ICC detected in | HepG2 cells |
Recommended dilution
| Application | Dilution |
|---|---|
| Western Blot (WB) | WB : 1:2000-1:16000 |
| Immunoprecipitation (IP) | IP : 0.5-4.0 ug for 1.0-3.0 mg of total protein lysate |
| Immunohistochemistry (IHC) | IHC : 1:20-1:200 |
| Immunofluorescence (IF)/ICC | IF/ICC : 1:200-1:800 |
| It is recommended that this reagent should be titrated in each testing system to obtain optimal results. | |
| Sample-dependent, Check data in validation data gallery. | |
Published Applications
| KD/KO | See 1 publications below |
| WB | See 13 publications below |
| IHC | See 1 publications below |
| IF | See 4 publications below |
| IP | See 1 publications below |
| CoIP | See 2 publications below |
| RIP | See 1 publications below |
Product Information
10578-1-AP targets HNRNPUL1 in WB, IHC, IF/ICC, IP, CoIP, RIP, ELISA applications and shows reactivity with human, mouse samples.
| Tested Reactivity | human, mouse |
| Cited Reactivity | human, mouse |
| Host / Isotype | Rabbit / IgG |
| Class | Polyclonal |
| Type | Antibody |
| Immunogen |
CatNo: Ag0899 Product name: Recombinant human HNRNPUL1 protein Source: e coli.-derived, PGEX-4T Tag: GST Domain: 1-227 aa of BC002564 Sequence: MDVRRLKVNELREELQRRGLDTRGLKAELAERLQAALEAEEPDDERELDADDEPGRPGHINEEVETEGGSELEGTAQPPPPGLQPHAEPGCYSGPDGHYAMDNITRQNQFYDTQVIKQENESGYERRPLEMEQQQAYRPEMKTEMKQGAPTSFLPPEASQLKPDRQQFQSRKRPYEENRGRGYFEHREDRRGRSPQPPAEEDEDDFDDTLVAIDTYNCDLHFKVARD Predict reactive species |
| Full Name | heterogeneous nuclear ribonucleoprotein U-like 1 |
| Calculated Molecular Weight | 120 kDa |
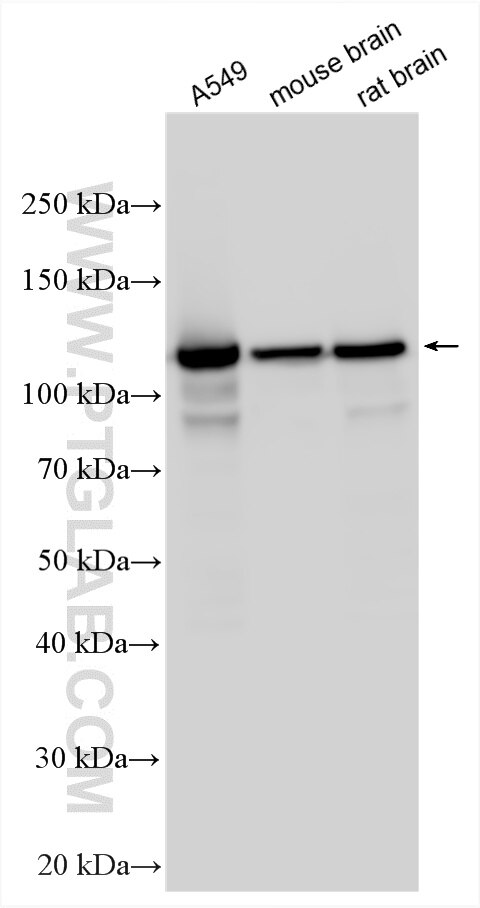
| Observed Molecular Weight | 90-115 kDa |
| GenBank Accession Number | BC002564 |
| Gene Symbol | HNRNPUL1 |
| Gene ID (NCBI) | 11100 |
| RRID | AB_2120655 |
| Conjugate | Unconjugated |
| Form | Liquid |
| Purification Method | Antigen affinity purification |
| UNIPROT ID | Q9BUJ2 |
| Storage Buffer | PBS with 0.02% sodium azide and 50% glycerol, pH 7.3. |
| Storage Conditions | Store at -20°C. Stable for one year after shipment. Aliquoting is unnecessary for -20oC storage. 20ul sizes contain 0.1% BSA. |
Background Information
HNRNPUL1, also named as E1BAP5, HNRPUL1 and E1B-AP5, acts as a basic transcriptional regulator. It represses basic transcription driven by several virus and cellular promoters. HNRNPUL1 plays also a role in mRNA processing and transport. It is a cellular protein that interacts with the adenovirus protein E1B-55 and implicated in mRNA export. HNRNPUL1 is an hnRNP-like protein that likely mediates the interaction of NXF1 with mRNAs.(PMID:17267598). It may modulate PAN expression in complex with KSHV ORF57(PMID:22043172). HNRNPUL1 specifically bound to the Rae1-Nup98 complex independently of M protein, and this interaction was found to be RNA dependent, as it was greatly diminished in the presence of RNase.(PMID:19745842) HNRNPUL1 has 5 isoforms with calculated MW 84-95kd and 42kd(isoform 5). This antibody can recognize isoform 1-4 .
Protocols
| Product Specific Protocols | |
|---|---|
| IF protocol for HNRNPUL1 antibody 10578-1-AP | Download protocol |
| IHC protocol for HNRNPUL1 antibody 10578-1-AP | Download protocol |
| IP protocol for HNRNPUL1 antibody 10578-1-AP | Download protocol |
| WB protocol for HNRNPUL1 antibody 10578-1-AP | Download protocol |
| Standard Protocols | |
|---|---|
| Click here to view our Standard Protocols |
Publications
| Species | Application | Title |
|---|---|---|
Clin Transl Med LncRNA BC promotes lung adenocarcinoma progression by modulating IMPAD1 alternative splicing | ||
Proc Natl Acad Sci U S A Influenza virus targets the mRNA export machinery and the nuclear pore complex. | ||
PLoS Pathog Cellular RNA Binding Proteins NS1-BP and hnRNP K Regulate Influenza A Virus RNA Splicing. | ||
EMBO Rep Vesicular stomatitis virus inhibits mitotic progression and triggers cell death. | ||
J Autoimmun RNA-binding protein hnRNP UL1 binds κB sites to attenuate NF-κB-mediated inflammation.
| ||
FASEB J Lnc056 Enhances Hair Follicle Stem Cells Proliferation by Binding Transcription Factor HNRNPUL1 to Up-Regulate TRIP6 Expression |
Reviews
The reviews below have been submitted by verified Proteintech customers who received an incentive for providing their feedback.
FH Annabel (Verified Customer) (02-12-2026) | Clear band detected, decreased as expected from proteomics.
|























