Tested Applications
| Positive WB detected in | mouse brain tissue |
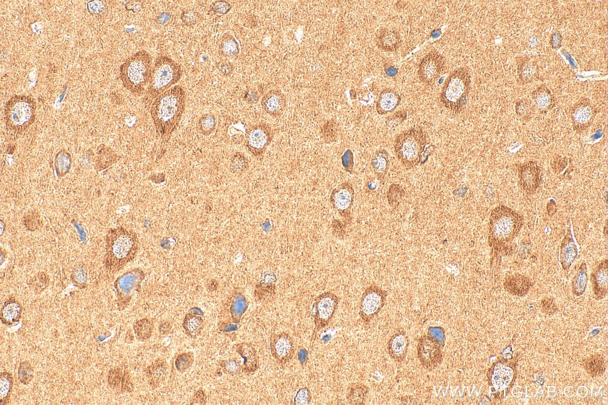
| Positive IHC detected in | rat brain tissue Note: suggested antigen retrieval with TE buffer pH 9.0; (*) Alternatively, antigen retrieval may be performed with citrate buffer pH 6.0 |
Recommended dilution
| Application | Dilution |
|---|---|
| Western Blot (WB) | WB : 1:500-1:2000 |
| Immunohistochemistry (IHC) | IHC : 1:50-1:500 |
| It is recommended that this reagent should be titrated in each testing system to obtain optimal results. | |
| Sample-dependent, Check data in validation data gallery. | |
Published Applications
| KD/KO | See 1 publications below |
| WB | See 3 publications below |
| IHC | See 1 publications below |
| CoIP | See 1 publications below |
Product Information
21465-1-AP targets IGSF21 in WB, IHC, CoIP, ELISA applications and shows reactivity with human, mouse, rat samples.
| Tested Reactivity | human, mouse, rat |
| Cited Reactivity | human, mouse |
| Host / Isotype | Rabbit / IgG |
| Class | Polyclonal |
| Type | Antibody |
| Immunogen |
CatNo: Ag15062 Product name: Recombinant human IGSF21 protein Source: e coli.-derived, PET28a Tag: 6*His Domain: 117-467 aa of BC007618 Sequence: HVGIYDRATREKVVLASGNIFLNVMAPPTSIEVVAADTPAPFSRYQAQNFTLVCIVSGGKPAPMVYFKRDGEPIDAVPLSEPPAASSGPLQDSRPFRSLLHRDLDDTKMQKSLSLLDAENRGGRPYTERPSRGLTPDPNILLQPTTENIPETVVSREFPRWVHSAEPTYFLRHSRTPSSDGTVEVRALLTWTLNPQIDNEALFSCEVKHPALSMPMQAEVTLVAPKGPKIVMTPSRARVGDTVRILVHGFQNEVFPEPMFTWTRVGSRLLDGSAEFDGKELVLERVPAELNGSMYRCTAQNPLGSTDTHTRLIVFENPNIPRGTEDSNGSIGPTGARLTLVLALTVILELT Predict reactive species |
| Full Name | immunoglobin superfamily, member 21 |
| Calculated Molecular Weight | 467 aa, 52 kDa |
| Observed Molecular Weight | 48-50 kDa |
| GenBank Accession Number | BC007618 |
| Gene Symbol | IGSF21 |
| Gene ID (NCBI) | 84966 |
| RRID | AB_10734429 |
| Conjugate | Unconjugated |
| Form | Liquid |
| Purification Method | Antigen affinity purification |
| UNIPROT ID | Q96ID5 |
| Storage Buffer | PBS with 0.02% sodium azide and 50% glycerol, pH 7.3. |
| Storage Conditions | Store at -20°C. Stable for one year after shipment. Aliquoting is unnecessary for -20oC storage. 20ul sizes contain 0.1% BSA. |
Background Information
IGSF21 (Immunoglobulin superfamily member 21) is a GPI-anchored protein that contains two immunoglobulin-like domains (Ig-like 1 and Ig-like 2). The Ig-like 1 domain of IGSF21 is indispensable for synaptogenic activity whereas its Ig-like 2 domain is secondarily responsible for the activity. It has been reported that IGSF21 selectively regulates inhibitory presynaptic differentiation through interacting with presynaptic neurexin2α and plays a crucial role in synaptic inhibition in the brain. (PMID: 28864826)
Protocols
| Product Specific Protocols | |
|---|---|
| IHC protocol for IGSF21 antibody 21465-1-AP | Download protocol |
| WB protocol for IGSF21 antibody 21465-1-AP | Download protocol |
| Standard Protocols | |
|---|---|
| Click here to view our Standard Protocols |
Publications
| Species | Application | Title |
|---|---|---|
Nat Commun IgSF21 promotes differentiation of inhibitory synapses via binding to neurexin2α.
| ||
EMBO Rep Schizophrenia-related Xpo7 haploinsufficiency leads to behavioral and nuclear transport pathologies | ||
Front Mol Neurosci Structural and functional characterization of the IgSF21-neurexin2α complex and its related signaling pathways in the regulation of inhibitory synapse organization | ||
Front Immunol IgLON5 deficiency produces behavioral alterations in a knockout mouse model |





