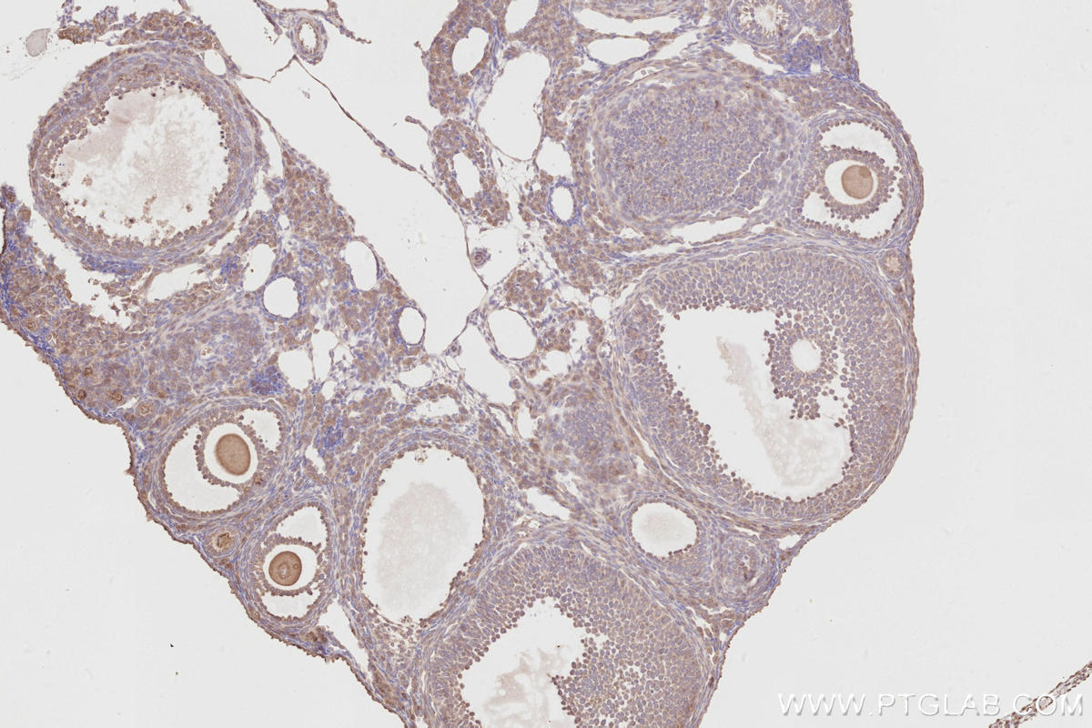
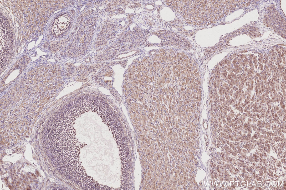
IHCeasy® ACBD3 Ready-To-Use IHC Kit
ACBD3 Ready-to-use reagent kit for IHC.
Cat no : KHC2910
Synonyms
Acyl-CoA-binding domain-containing protein 3, GCP60, GOCAP1, Golgi complex-associated protein 1, Golgi phosphoprotein 1
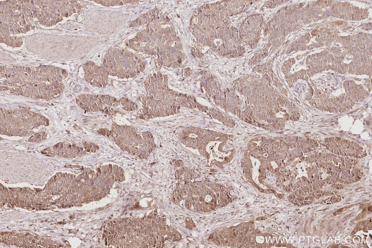
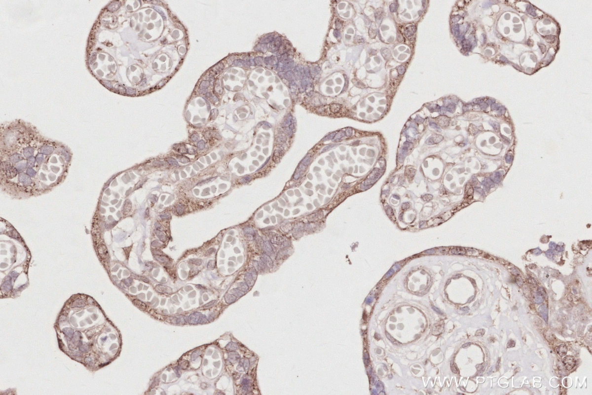
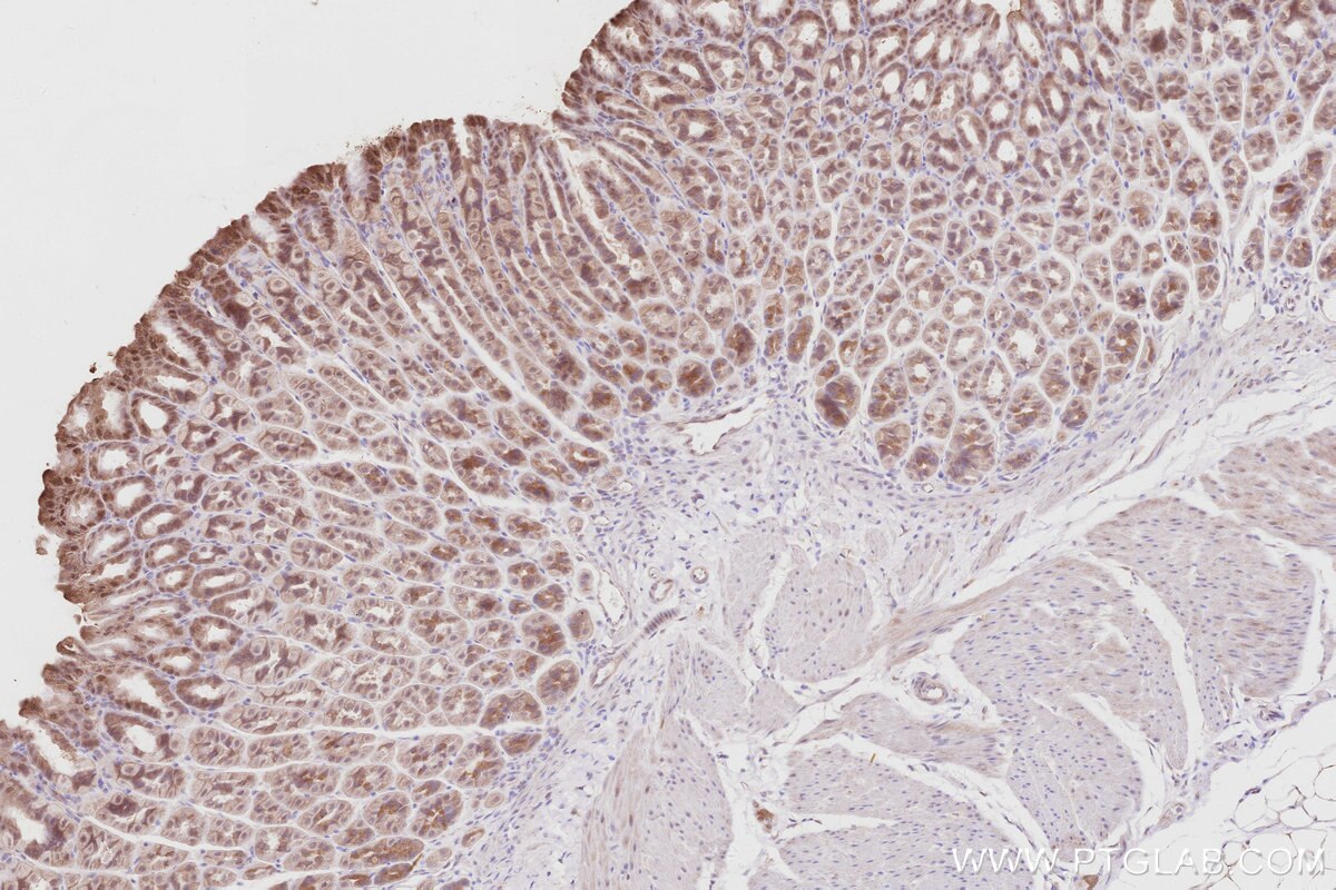
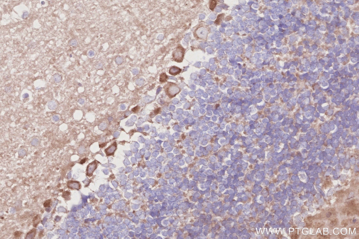
Validation Data Gallery View All
Product Information
KHC2910 is a ready-to-use IHC kit for staining of ACBD3. The kit provides all reagents, from antigen retrieval to cover slip mounting, that require little to no diluting or handling prior to use. Simply apply the reagents to your sample slide according to the protocol and you're steps away from obtaining high-quality IHC data.
| Product name | IHCeasy ACBD3 Ready-To-Use IHC Kit |
| Sample type | FFPE tissue |
| Assay type | Immunohistochemistry |
| Primary antibody type | Rabbit Polyclonal |
| Secondary antibody type | Polymer-HRP-Goat anti-Rabbit |
| Reactivity | Human, Mouse, Rat |
Kit components
| Component | Size | Concentration |
|---|---|---|
| Antigen Retrieval Buffer | 100 mL | 50× |
| Washing Buffer | 100 mL ×2 | 20× |
| Blocking Buffer | 5 mL | RTU |
| Primary Antibody | 5 mL | RTU |
| Secondary Antibody | 5 mL | RTU |
| Chromogen Component A | 0.2 mL | RTU |
| Chromogen Component B | 4 mL | RTU |
| Signal Enhancer | 5 mL | RTU |
| Counter Staining Reagent | 5 mL | RTU |
| Mounting Media | 5 mL | RTU |
| Datasheet | 1 Copy | |
| Manual | 1 Copy |
Properties
| Storage Instructions | All the reagents are stored at 2-8°C. The kit is stable for 6 months from the date of receipt. |
| Synonyms | Acyl-CoA-binding domain-containing protein 3, GCP60, GOCAP1, Golgi complex-associated protein 1, Golgi phosphoprotein 1 |







