IHCeasy® AKR7A2 Ready-To-Use IHC Kit
AKR7A2 Ready-to-use reagent kit for IHC.
Cat no : KHC3143
Synonyms
AFAR, AFB1 AR 1, AFB1 AR1, AFB1-AR 1, AKR7
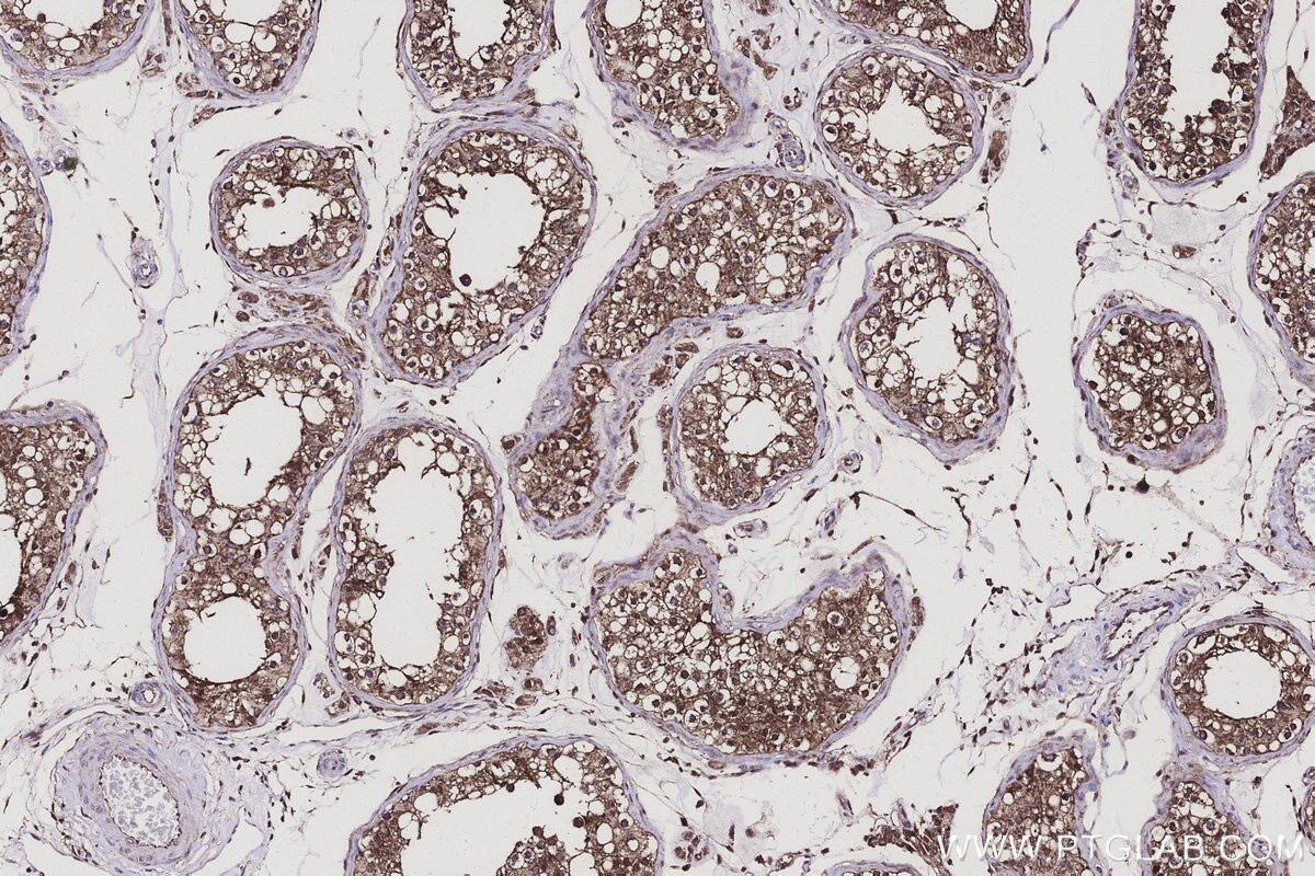
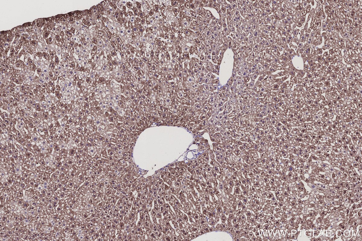
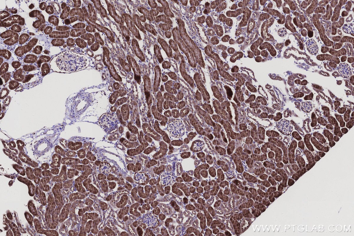
Validation Data Gallery View All
Product Information
KHC3143 is a ready-to-use IHC kit for staining of AKR7A2. The kit provides all reagents, from antigen retrieval to cover slip mounting, that require little to no diluting or handling prior to use. Simply apply the reagents to your sample slide according to the protocol and you're steps away from obtaining high-quality IHC data.
| Product name | IHCeasy® AKR7A2 Ready-To-Use IHC Kit |
| Sample type | FFPE tissue |
| Assay type | Immunohistochemistry |
| Primary antibody type | Rabbit Polyclonal |
| Secondary antibody type | Polymer-HRP-Goat anti-Rabbit |
| Reactivity | Human, Mouse |
Kit components
| Component | Size | Concentration |
|---|---|---|
| Antigen Retrieval Buffer | 100 mL | 50× |
| Washing Buffer | 100 mL ×2 | 20× |
| Blocking Buffer | 5 mL | RTU |
| Primary Antibody | 5 mL | RTU |
| Secondary Antibody | 5 mL | RTU |
| Chromogen Component A | 0.2 mL | RTU |
| Chromogen Component B | 4 mL | RTU |
| Signal Enhancer | 5 mL | RTU |
| Counter Staining Reagent | 5 mL | RTU |
| Mounting Media | 5 mL | RTU |
| Datasheet | 1 Copy | |
| Manual | 1 Copy |
Background Information
AKR7A2(Aflatoxin B1 aldehyde reductase member 2) is also named as AFAR, AFAR1, AKR7 and belongs to the aldo/keto reductase family. AKR7A2 enzyme is catalytically active toward aldehydes arising from lipid peroxidation, suggesting a potential role against the consequences of oxidative stress, and representing an important detoxication route in mammalian cells.
Properties
| Storage Instructions | All the reagents are stored at 2-8°C. The kit is stable for 6 months from the date of receipt. |
| Synonyms | AFAR, AFB1 AR 1, AFB1 AR1, AFB1-AR 1, AKR7 |



