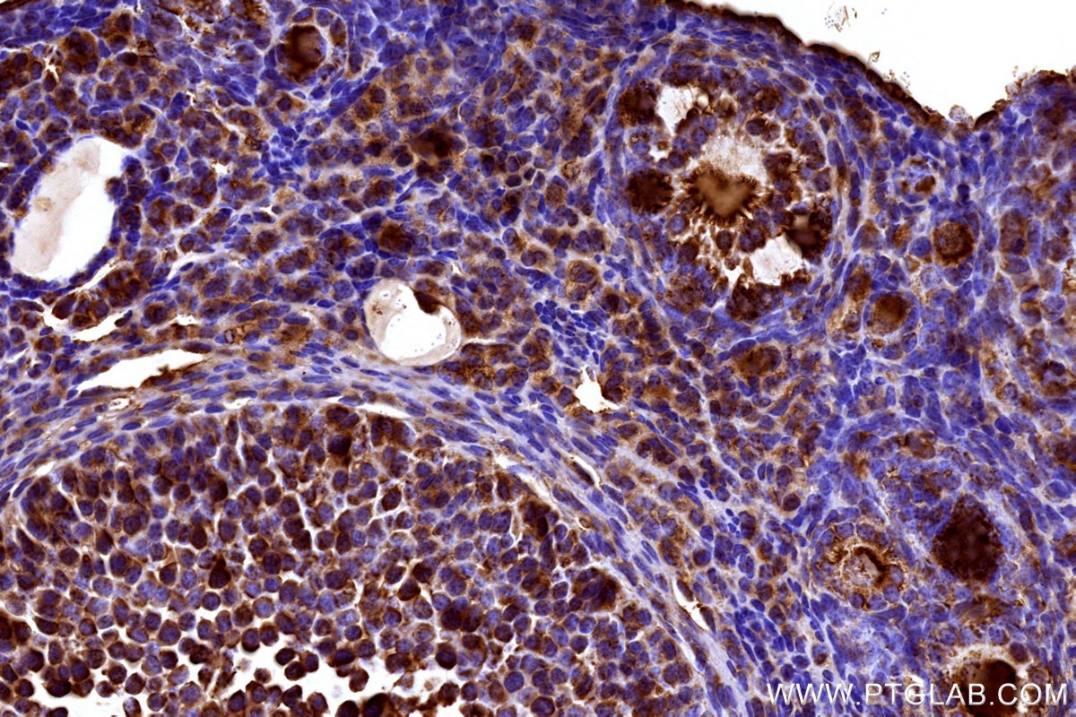
IHCeasy® APOB Ready-To-Use IHC Kit
APOB Ready-to-use reagent kit for IHC.
Cat no : KHC3167
Synonyms
Apolipoprotein B, Apo B, Apo B-100, ApoB100, ApoB48
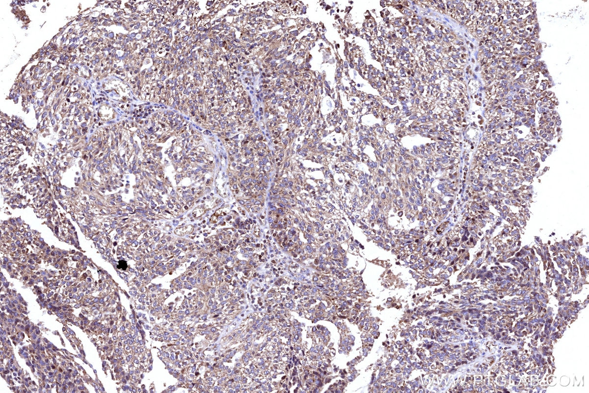
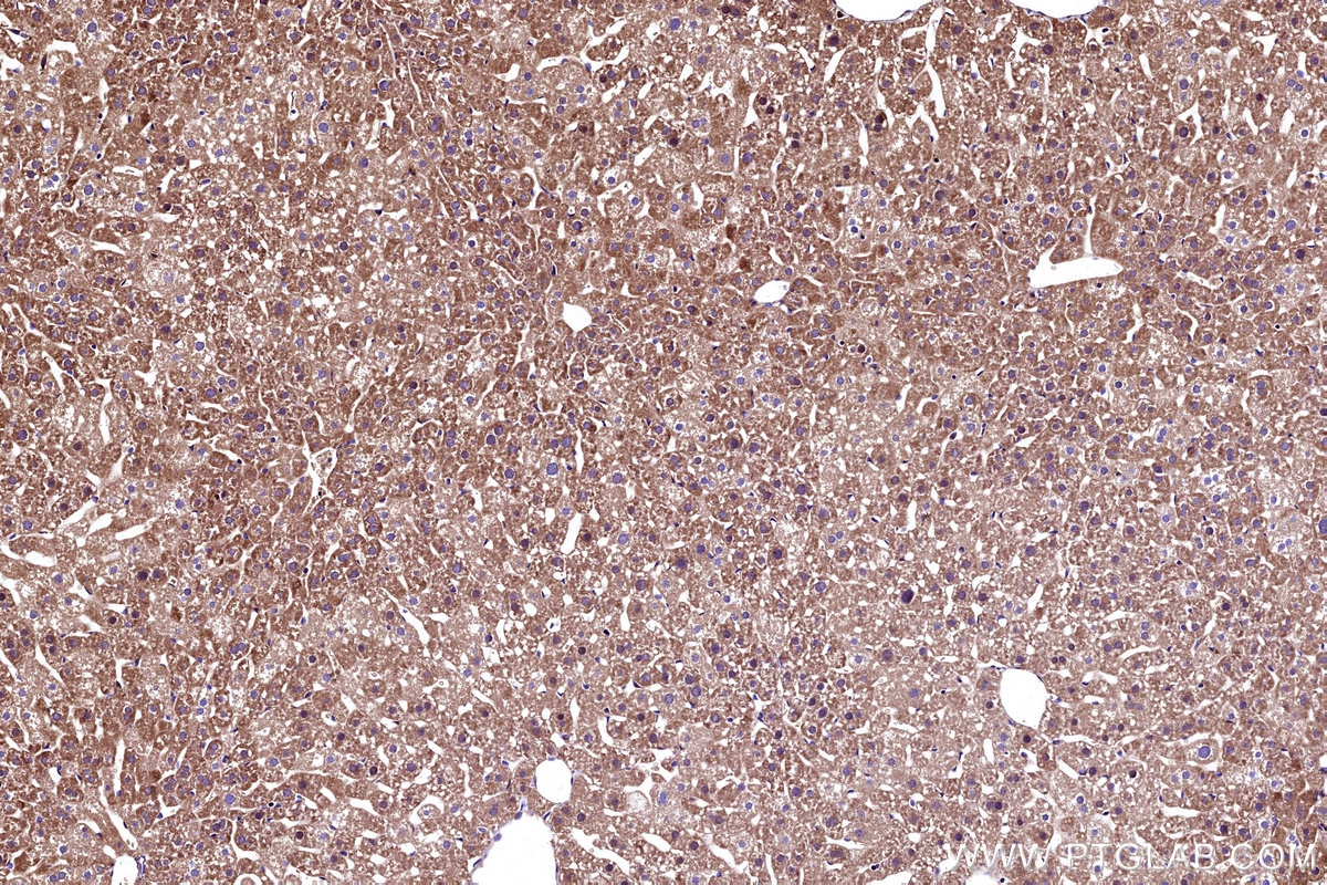
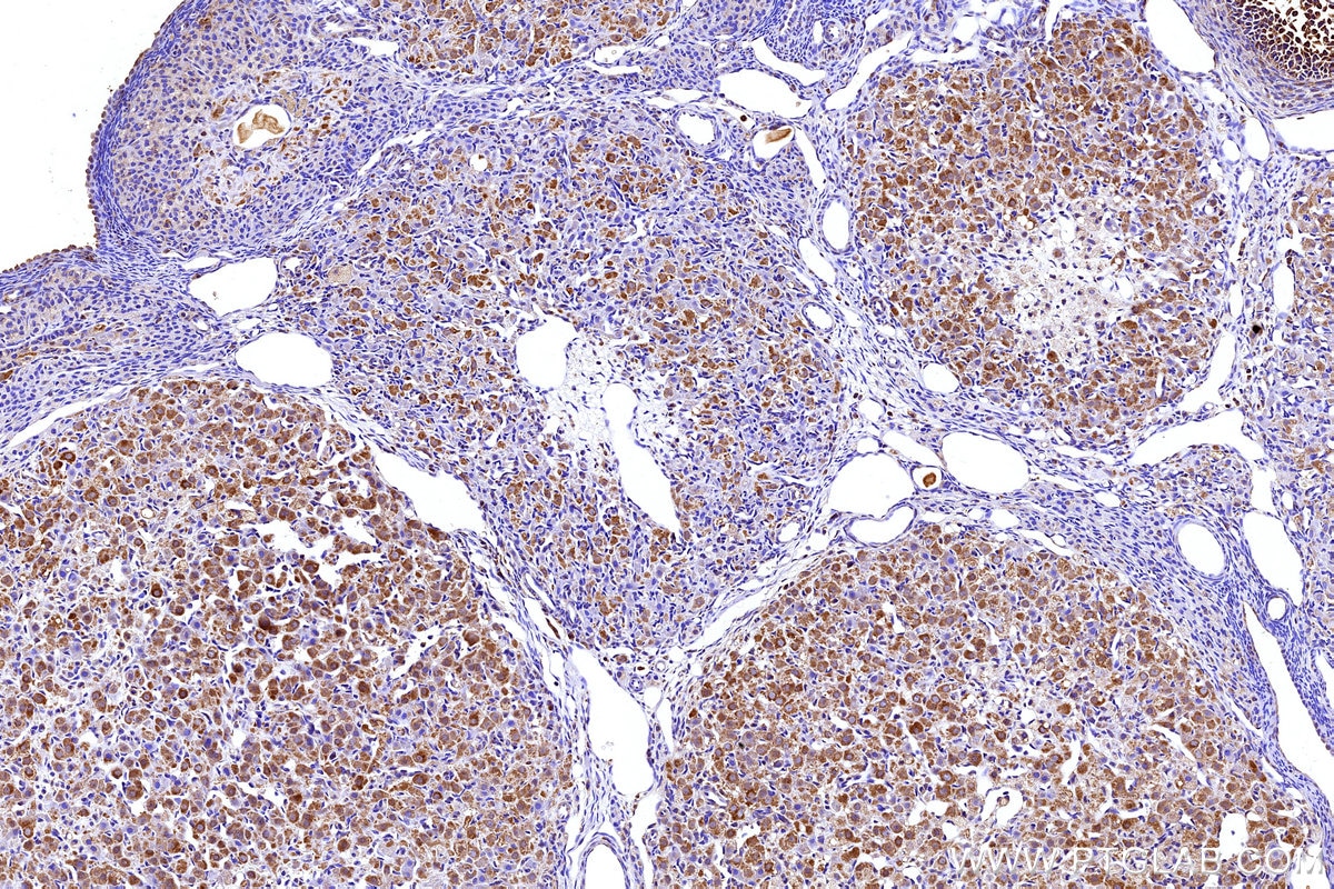
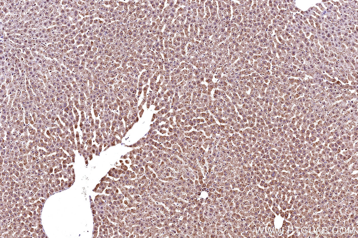
Validation Data Gallery View All
Product Information
KHC3167 is a ready-to-use IHC kit for staining of APOB. The kit provides all reagents, from antigen retrieval to cover slip mounting, that require little to no diluting or handling prior to use. Simply apply the reagents to your sample slide according to the protocol and you're steps away from obtaining high-quality IHC data.
| Product name | IHCeasy® APOB Ready-To-Use IHC Kit |
| Sample type | FFPE tissue |
| Assay type | Immunohistochemistry |
| Primary antibody type | Rabbit Polyclonal |
| Secondary antibody type | Polymer-HRP-Goat anti-Rabbit |
| Reactivity | Human, Mouse, Rat |
Kit components
| Component | Size | Concentration |
|---|---|---|
| Antigen Retrieval Buffer | 100 mL | 50× |
| Washing Buffer | 100 mL ×2 | 20× |
| Blocking Buffer | 5 mL | RTU |
| Primary Antibody | 5 mL | RTU |
| Secondary Antibody | 5 mL | RTU |
| Chromogen Component A | 0.2 mL | RTU |
| Chromogen Component B | 4 mL | RTU |
| Signal Enhancer | 5 mL | RTU |
| Counter Staining Reagent | 5 mL | RTU |
| Mounting Media | 5 mL | RTU |
| Datasheet | 1 Copy | |
| Manual | 1 Copy |
Background Information
The apolipoprotein B (APOB) is a plasma protein synthesized primarily in the liver and intestine and play an important role in lipid and cholesterol metabolism. The APOB encodes two different isoproteins through mRNA editing, APOB-48 and APOB-100. APOB-48 and APOB-100 is present in both human liver and intestine. APOB-100 is essential for the assembly of VLDL in the liver. APOB-48 is essential for the assembly of chylomicrons in the intestine. It is well established that APOB-100 levels are associated with coronary heart disease.
Properties
| Storage Instructions | All the reagents are stored at 2-8°C. The kit is stable for 6 months from the date of receipt. |
| Synonyms | Apolipoprotein B, Apo B, Apo B-100, ApoB100, ApoB48 |





