IHCeasy® ARMCX3 Ready-To-Use IHC Kit
ARMCX3 Ready-to-use reagent kit for IHC.
Cat no : KHC3120
Synonyms
ALEX3, Armadillo repeat-containing X-linked protein 3, BM-017, KIAA0443, Protein ALEX3
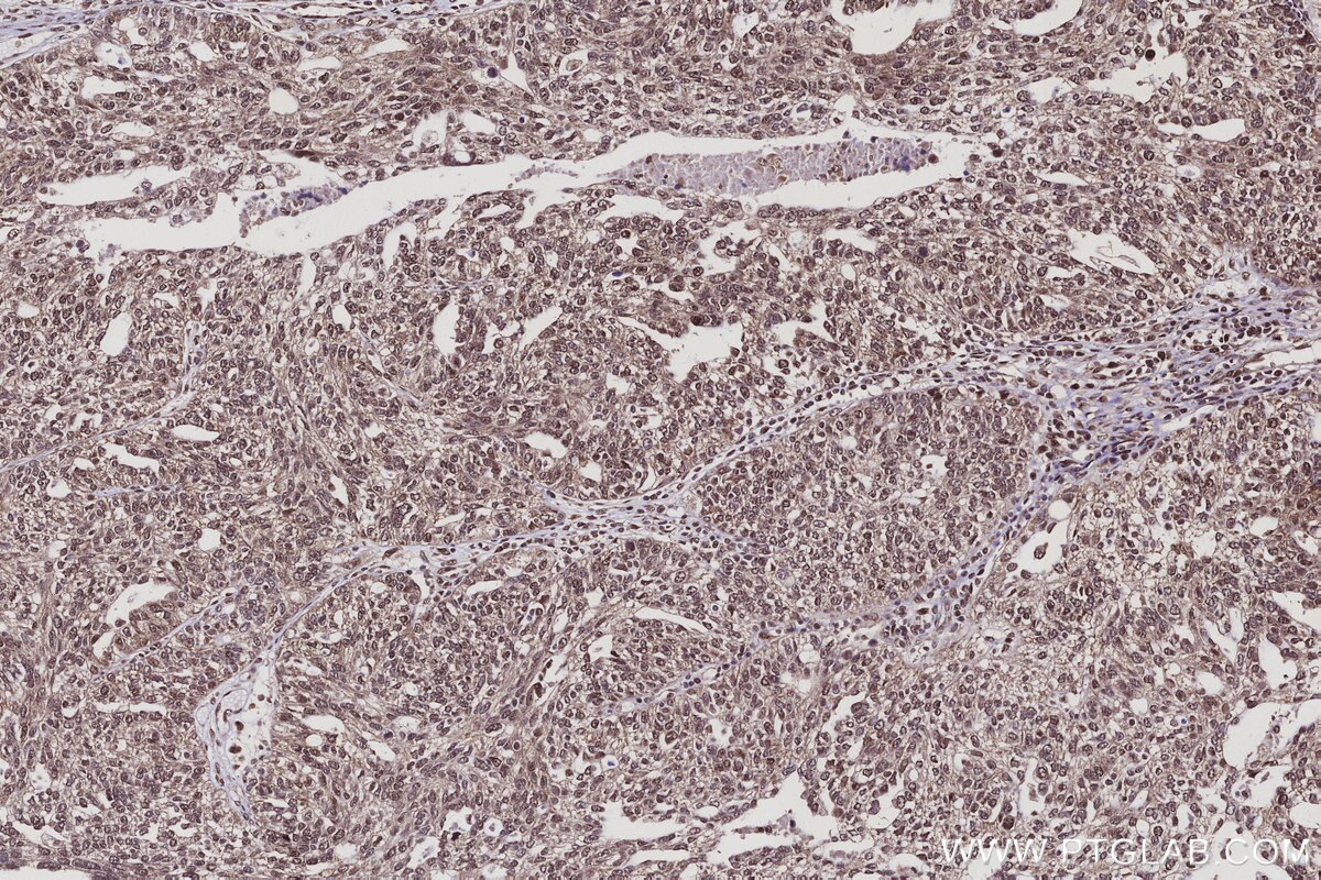
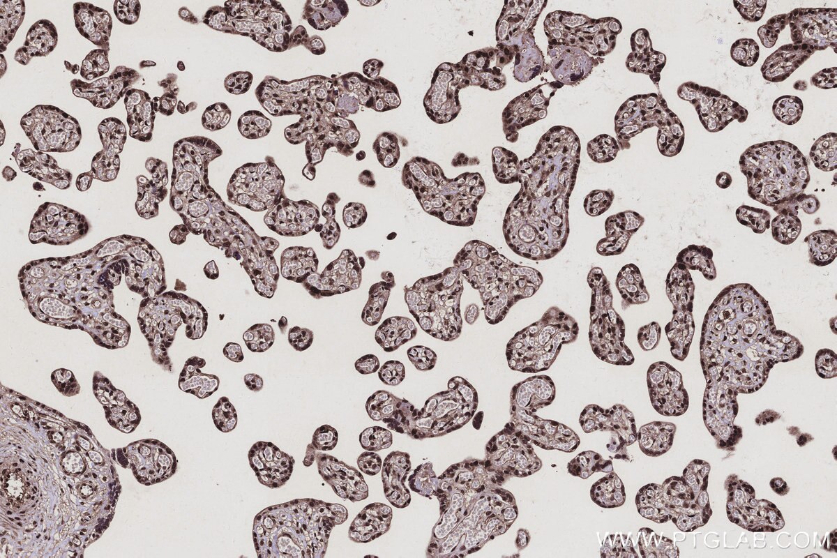
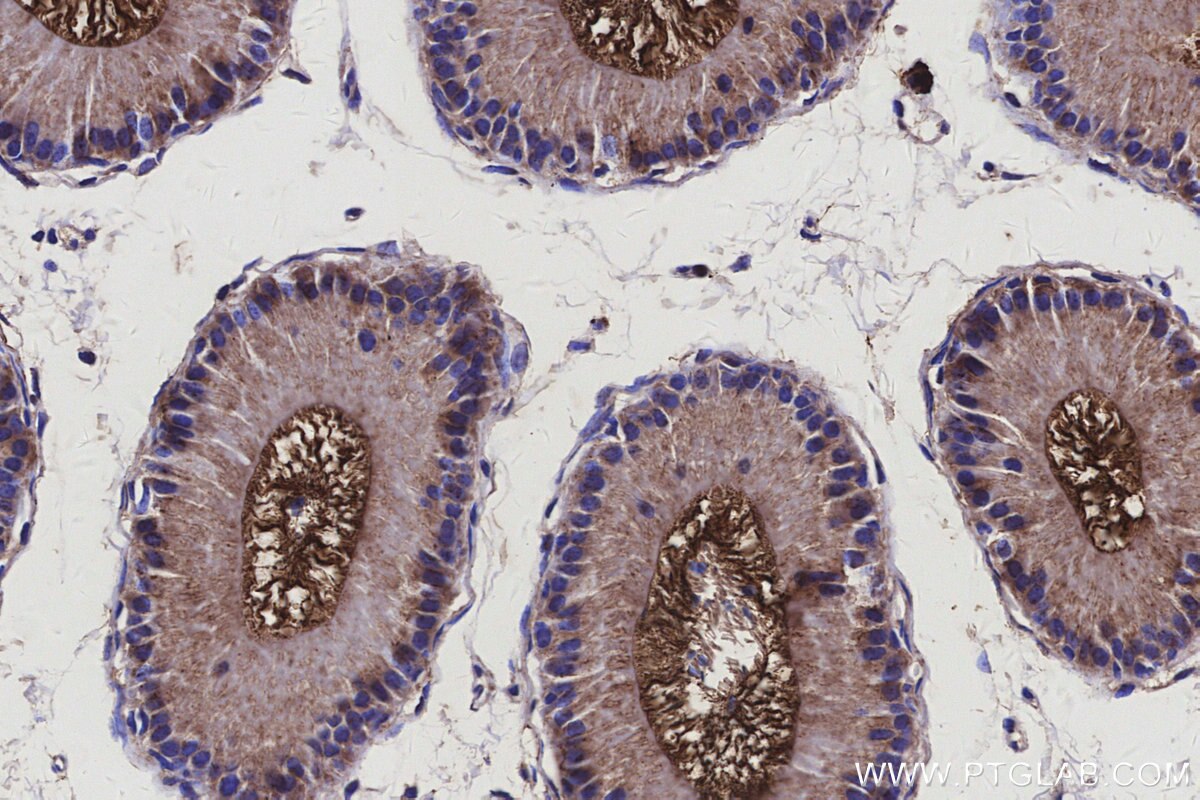
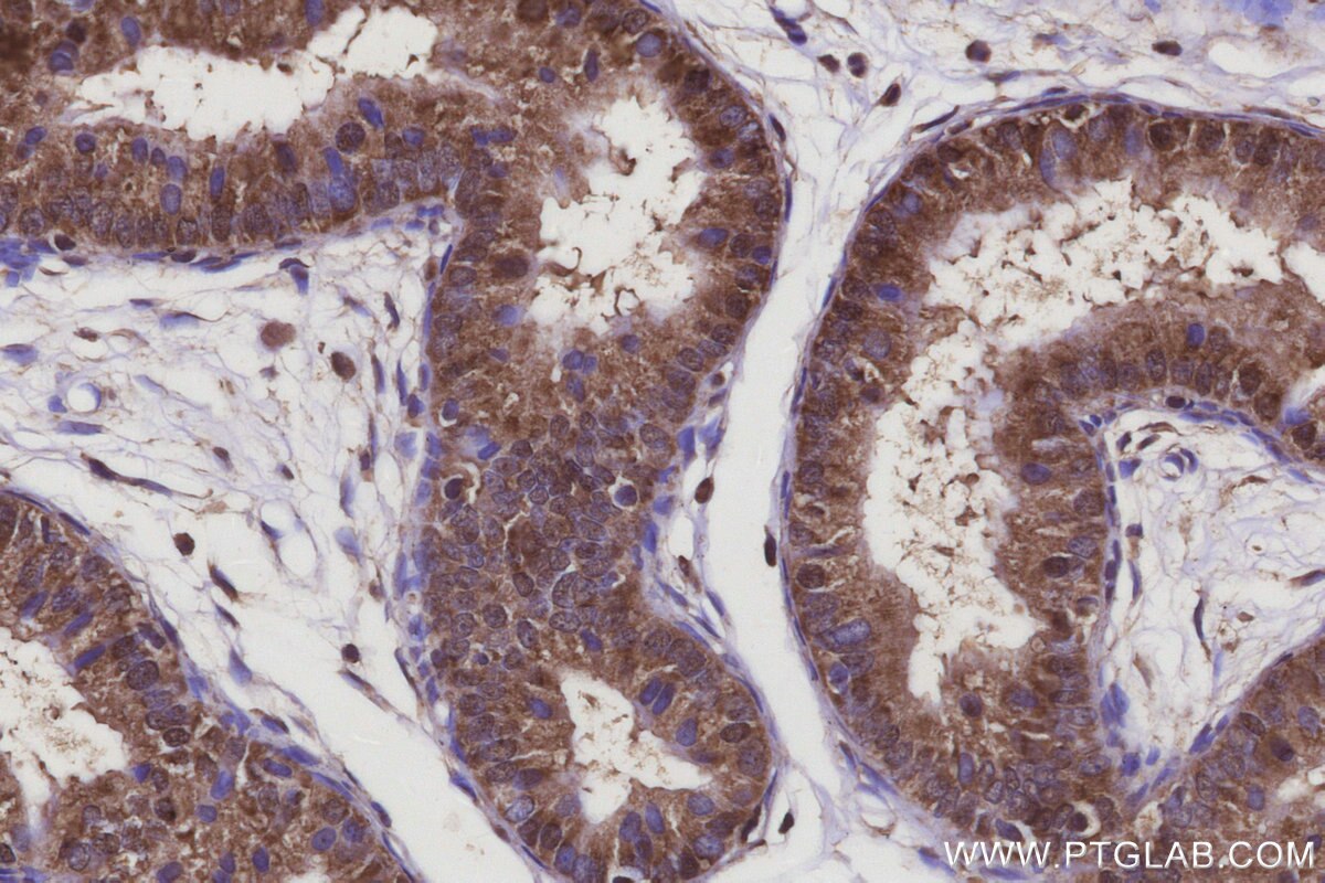
Validation Data Gallery View All
Product Information
KHC3120 is a ready-to-use IHC kit for staining of ARMCX3. The kit provides all reagents, from antigen retrieval to cover slip mounting, that require little to no diluting or handling prior to use. Simply apply the reagents to your sample slide according to the protocol and you're steps away from obtaining high-quality IHC data.
| Product name | IHCeasy® ARMCX3 Ready-To-Use IHC Kit |
| Sample type | FFPE tissue |
| Assay type | Immunohistochemistry |
| Primary antibody type | Rabbit Polyclonal |
| Secondary antibody type | Polymer-HRP-Goat anti-Rabbit |
| Reactivity | Human, Mouse, Rat |
Kit components
| Component | Size | Concentration |
|---|---|---|
| Antigen Retrieval Buffer | 100 mL | 50× |
| Washing Buffer | 100 mL ×2 | 20× |
| Blocking Buffer | 5 mL | RTU |
| Primary Antibody | 5 mL | RTU |
| Secondary Antibody | 5 mL | RTU |
| Chromogen Component A | 0.2 mL | RTU |
| Chromogen Component B | 4 mL | RTU |
| Signal Enhancer | 5 mL | RTU |
| Counter Staining Reagent | 5 mL | RTU |
| Mounting Media | 5 mL | RTU |
| Datasheet | 1 Copy | |
| Manual | 1 Copy |
Background Information
ARMCX3, also named as Armadillo repeat-containing X-linked protein 3, is a 379 amino acid protein, which contains 3 ARM repeats. ARMCX3 is a single pass membrane protein belonging to the armadillo repeat family of proteins. ARMCX3 is believed to play a role in embryonic development and tissue maintenance and may also function as a tumor suppressor.
Properties
| Storage Instructions | All the reagents are stored at 2-8°C. The kit is stable for 6 months from the date of receipt. |
| Synonyms | ALEX3, Armadillo repeat-containing X-linked protein 3, BM-017, KIAA0443, Protein ALEX3 |





