IHCeasy® ATP13A1 Ready-To-Use IHC Kit
ATP13A1 Ready-to-use reagent kit for IHC.
Cat no : KHC2962
Synonyms
ATP13A, CGI-152, EC:7.4.2.-, Endoplasmic reticulum P5A-ATPase, Endoplasmic reticulum transmembrane helix translocase
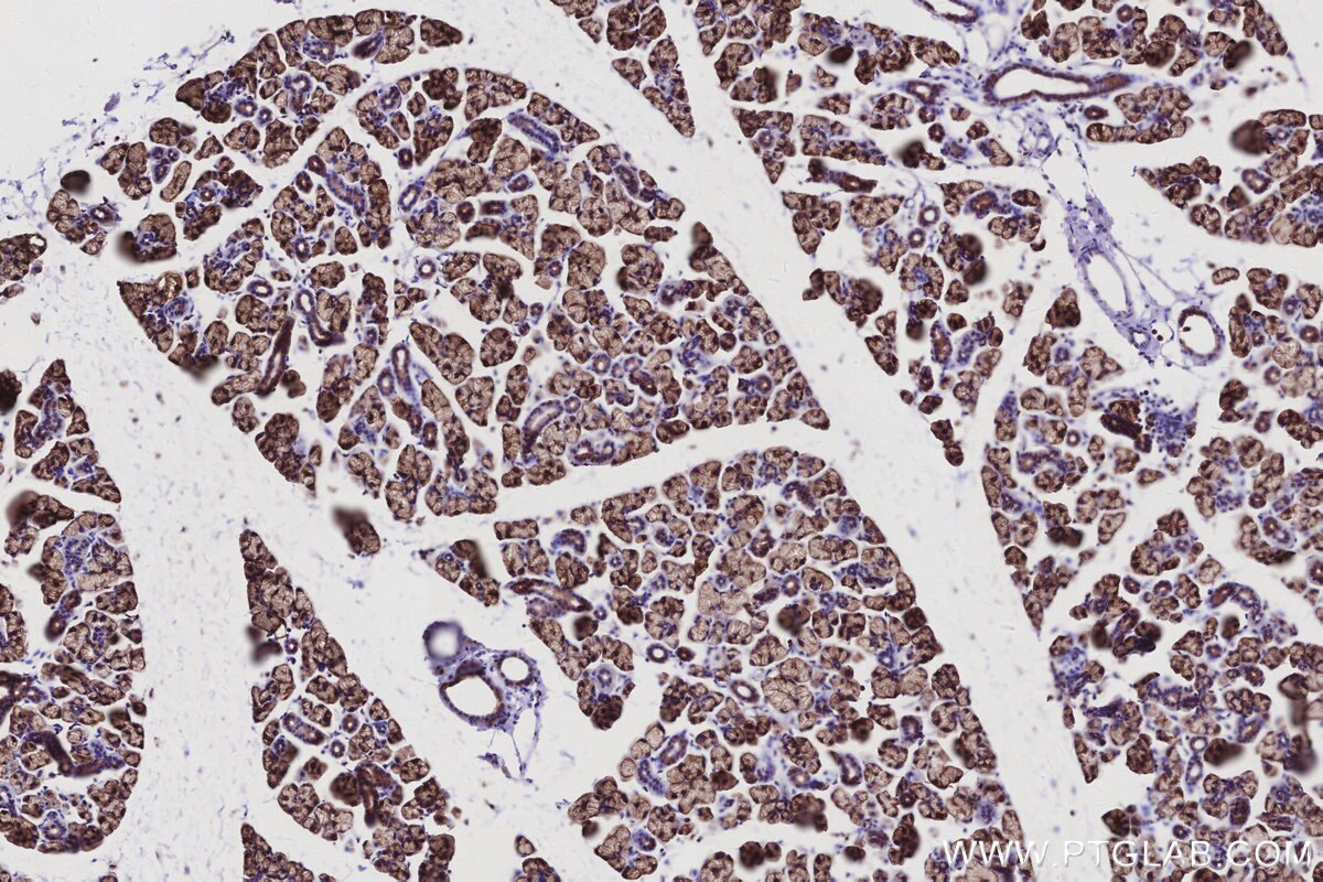
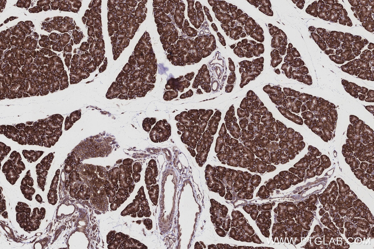
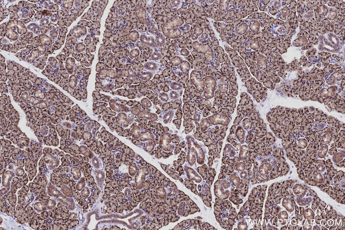
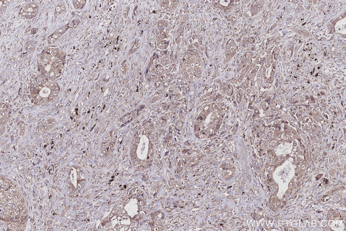
Validation Data Gallery View All
Product Information
KHC2962 is a ready-to-use IHC kit for staining of ATP13A1. The kit provides all reagents, from antigen retrieval to cover slip mounting, that require little to no diluting or handling prior to use. Simply apply the reagents to your sample slide according to the protocol and you're steps away from obtaining high-quality IHC data.
| Product name | IHCeasy® ATP13A1 Ready-To-Use IHC Kit |
| Sample type | FFPE tissue |
| Assay type | Immunohistochemistry |
| Primary antibody type | Rabbit Polyclonal |
| Secondary antibody type | Polymer-HRP-Goat anti-Rabbit |
| Reactivity | Human, Mouse, Rat |
Kit components
| Component | Size | Concentration |
|---|---|---|
| Antigen Retrieval Buffer | 100 mL | 50× |
| Washing Buffer | 100 mL ×2 | 20× |
| Blocking Buffer | 5 mL | RTU |
| Primary Antibody | 5 mL | RTU |
| Secondary Antibody | 5 mL | RTU |
| Chromogen Component A | 0.2 mL | RTU |
| Chromogen Component B | 4 mL | RTU |
| Signal Enhancer | 5 mL | RTU |
| Counter Staining Reagent | 5 mL | RTU |
| Mounting Media | 5 mL | RTU |
| Datasheet | 1 Copy | |
| Manual | 1 Copy |
Background Information
ATP13A1 is a P-type ATPase, mainly involved in the transport of cations within cells. It plays an important role in maintaining intracellular ion homeostasis and membrane potential. ATP13A1 acts as a dislocase that mediates the ATP-dependent extraction of mislocalized mitochondrial transmembrane proteins from the endoplasmic reticulum membrane.
Properties
| Storage Instructions | All the reagents are stored at 2-8°C. The kit is stable for 6 months from the date of receipt. |
| Synonyms | ATP13A, CGI-152, EC:7.4.2.-, Endoplasmic reticulum P5A-ATPase, Endoplasmic reticulum transmembrane helix translocase |






