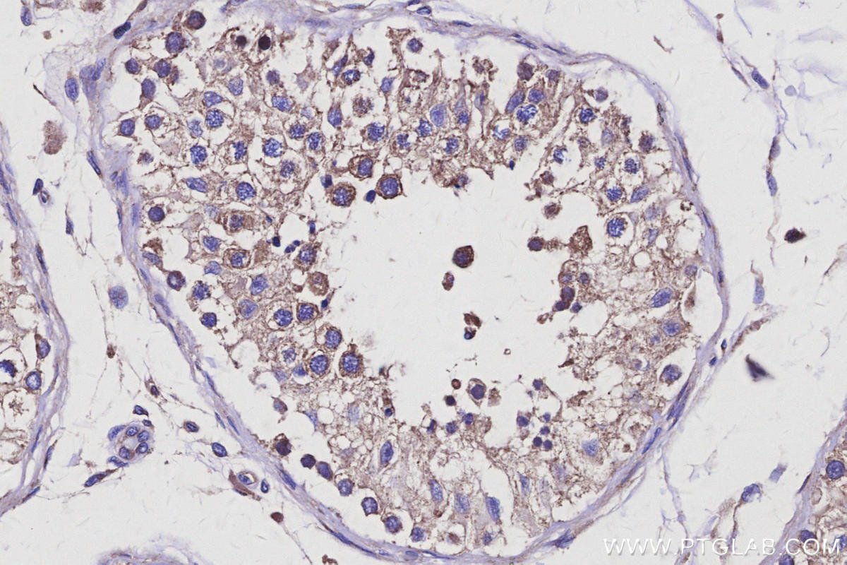
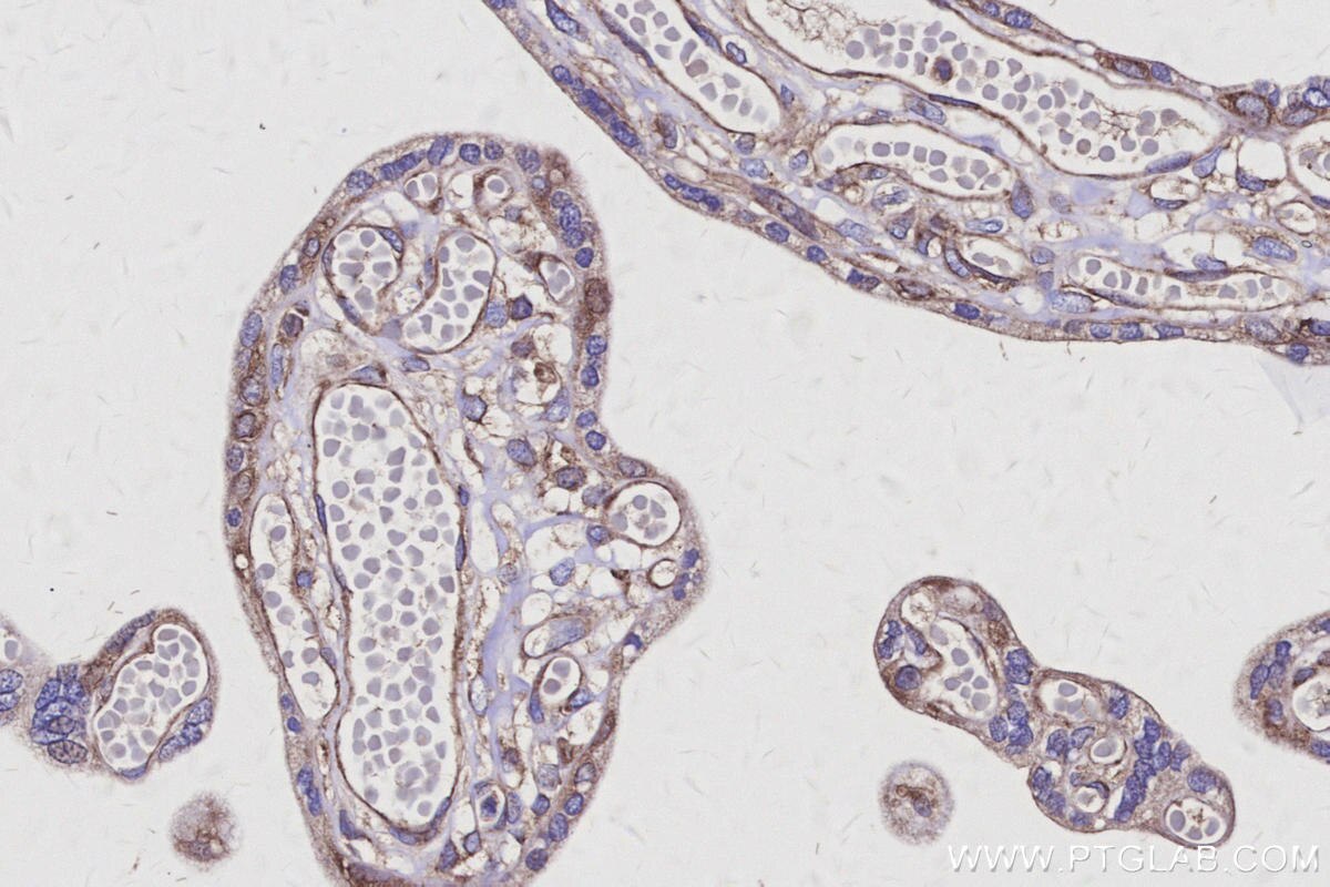
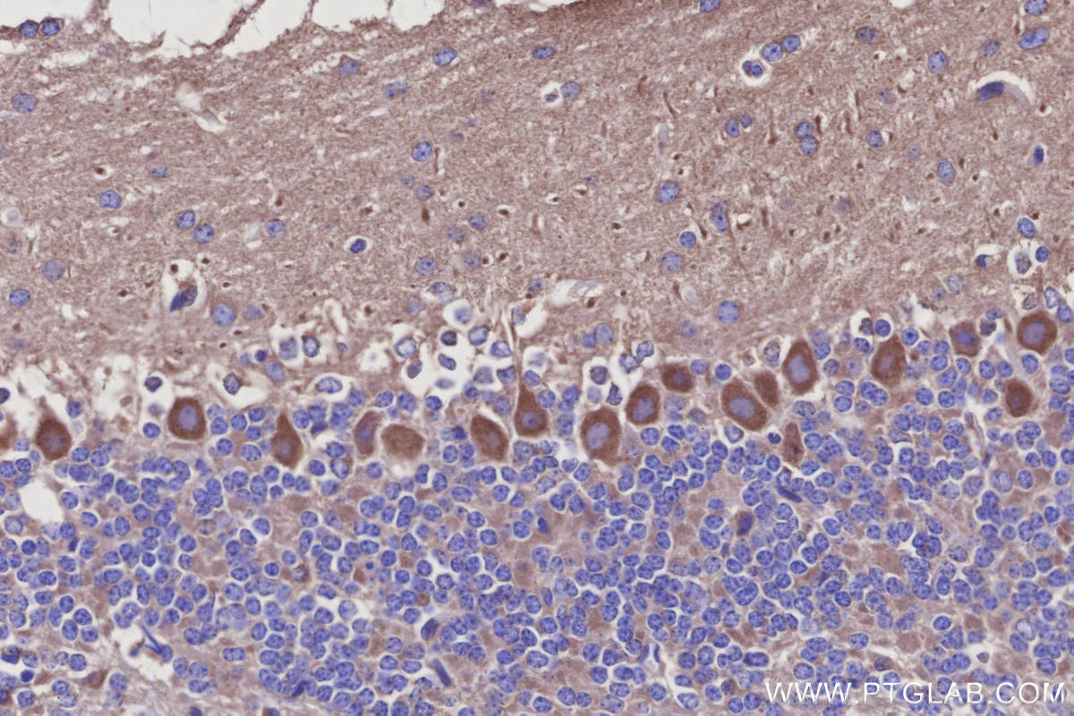
IHCeasy® AVEN Ready-To-Use IHC Kit
AVEN Ready-to-use reagent kit for IHC.
Cat no : KHC3118
Synonyms
Cell death regulator Aven, PDCD12
Validation Data Gallery View All
Product Information
KHC3118 is a ready-to-use IHC kit for staining of AVEN. The kit provides all reagents, from antigen retrieval to cover slip mounting, that require little to no diluting or handling prior to use. Simply apply the reagents to your sample slide according to the protocol and you're steps away from obtaining high-quality IHC data.
| Product name | IHCeasy® AVEN Ready-To-Use IHC Kit |
| Sample type | FFPE tissue |
| Assay type | Immunohistochemistry |
| Primary antibody type | Rabbit Polyclonal |
| Secondary antibody type | Polymer-HRP-Goat anti-Rabbit |
| Reactivity | Human, Mouse |
Kit components
| Component | Size | Concentration |
|---|---|---|
| Antigen Retrieval Buffer | 100 mL | 50× |
| Washing Buffer | 100 mL ×2 | 20× |
| Blocking Buffer | 5 mL | RTU |
| Primary Antibody | 5 mL | RTU |
| Secondary Antibody | 5 mL | RTU |
| Chromogen Component A | 0.2 mL | RTU |
| Chromogen Component B | 4 mL | RTU |
| Signal Enhancer | 5 mL | RTU |
| Counter Staining Reagent | 5 mL | RTU |
| Mounting Media | 5 mL | RTU |
| Datasheet | 1 Copy | |
| Manual | 1 Copy |
Background Information
AVEN (Apoptosis caspase activation inhibitor) is known to play a role in male and female germ cell development. AVEN protein has also been shown to inhibit the mitochondrial apoptosis pathway by binding to and inhibiting the self-association of proapoptotic APAF-1, as well as binding to and enhancing antiapoptotic BCL-xL activity. AVEN has also recently been shown to function as an activator of the cell cycle-regulating ATM kinase in the DNA damage response pathway.
Properties
| Storage Instructions | All the reagents are stored at 2-8°C. The kit is stable for 6 months from the date of receipt. |
| Synonyms | Cell death regulator Aven, PDCD12 |




