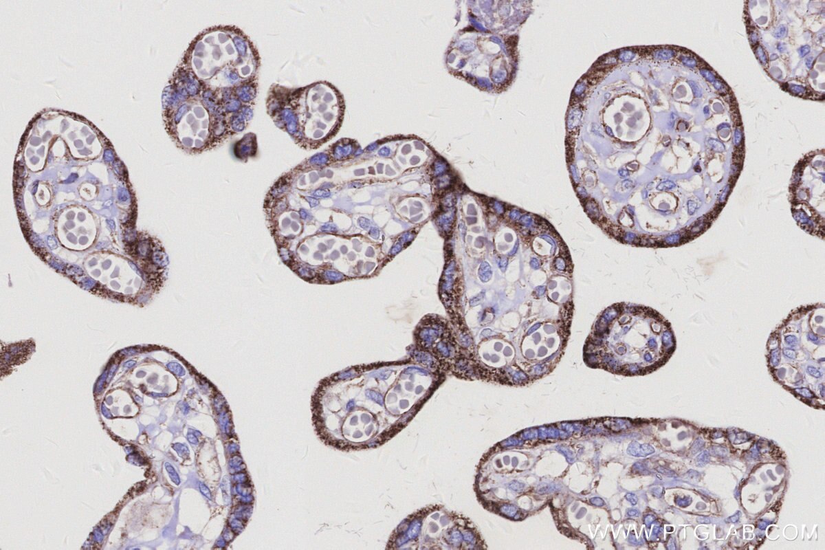
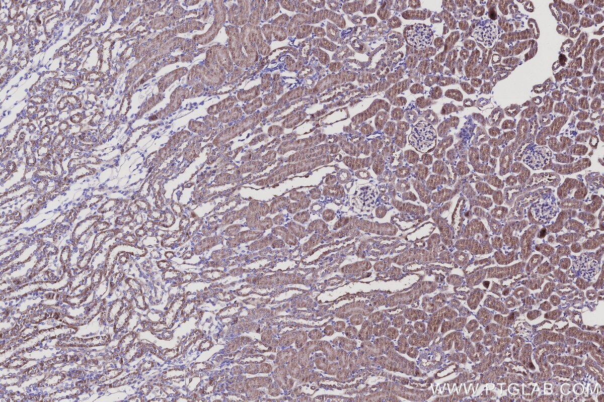
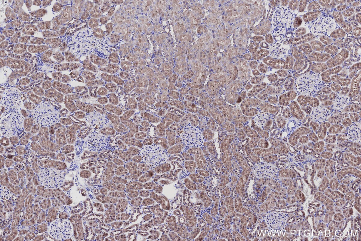
IHCeasy® BCAT2 Ready-To-Use IHC Kit
BCAT2 Ready-to-use reagent kit for IHC.
Cat no : KHC3140
Synonyms
Branched-chain-amino-acid aminotransferase, mitochondrial, EC:2.6.1.42, ECA40, Placental protein 18, PP18
Validation Data Gallery View All
Product Information
KHC3140 is a ready-to-use IHC kit for staining of BCAT2. The kit provides all reagents, from antigen retrieval to cover slip mounting, that require little to no diluting or handling prior to use. Simply apply the reagents to your sample slide according to the protocol and you're steps away from obtaining high-quality IHC data.
| Product name | IHCeasy® BCAT2 Ready-To-Use IHC Kit |
| Sample type | FFPE tissue |
| Assay type | Immunohistochemistry |
| Primary antibody type | Rabbit Polyclonal |
| Secondary antibody type | Polymer-HRP-Goat anti-Rabbit |
| Reactivity | Human, Mouse, Rat |
Kit components
| Component | Size | Concentration |
|---|---|---|
| Antigen Retrieval Buffer | 100 mL | 50× |
| Washing Buffer | 100 mL ×2 | 20× |
| Blocking Buffer | 5 mL | RTU |
| Primary Antibody | 5 mL | RTU |
| Secondary Antibody | 5 mL | RTU |
| Chromogen Component A | 0.2 mL | RTU |
| Chromogen Component B | 4 mL | RTU |
| Signal Enhancer | 5 mL | RTU |
| Counter Staining Reagent | 5 mL | RTU |
| Mounting Media | 5 mL | RTU |
| Datasheet | 1 Copy | |
| Manual | 1 Copy |
Background Information
Branched-chain amino acid transaminase 2 (BCAT2) is an important enzyme in branched-chain amino acids (BCAAs) catabolism that reversibly catalyzes the initial step of BCAA degradation to branched-chain acyl-CoA. In humans, BCAT2 encodes a mitochondrial protein that is ubiquitously expressed in all organs (except hepatocytes). Moreover, other reports showed that overexpressed BCAT2 in pancreatic ductal adenocarcinoma (PDAC) cells enhanced cell proliferation and survival in vitro and in vivo.
Properties
| Storage Instructions | All the reagents are stored at 2-8°C. The kit is stable for 6 months from the date of receipt. |
| Synonyms | Branched-chain-amino-acid aminotransferase, mitochondrial, EC:2.6.1.42, ECA40, Placental protein 18, PP18 |



