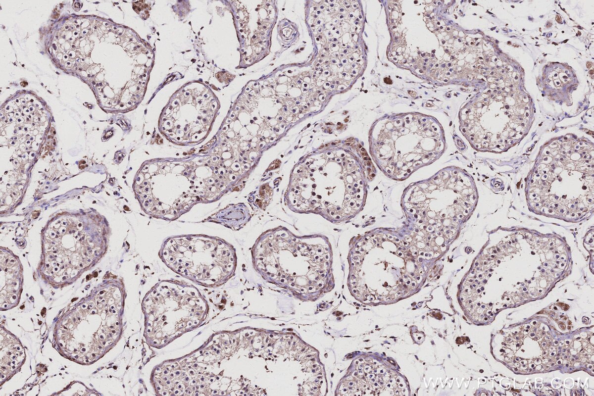
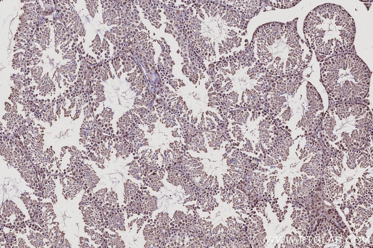
IHCeasy® CCNJ Ready-To-Use IHC Kit
CCNJ Ready-to-use reagent kit for IHC.
Cat no : KHC3126
Synonyms
cyclin J, Cyclin-J
Validation Data Gallery View All
Product Information
KHC3126 is a ready-to-use IHC kit for staining of CCNJ. The kit provides all reagents, from antigen retrieval to cover slip mounting, that require little to no diluting or handling prior to use. Simply apply the reagents to your sample slide according to the protocol and you're steps away from obtaining high-quality IHC data.
| Product name | IHCeasy® CCNJ Ready-To-Use IHC Kit |
| Sample type | FFPE tissue |
| Assay type | Immunohistochemistry |
| Primary antibody type | Rabbit Polyclonal |
| Secondary antibody type | Polymer-HRP-Goat anti-Rabbit |
| Reactivity | Human, Mouse |
Kit components
| Component | Size | Concentration |
|---|---|---|
| Antigen Retrieval Buffer | 100 mL | 50× |
| Washing Buffer | 100 mL ×2 | 20× |
| Blocking Buffer | 5 mL | RTU |
| Primary Antibody | 5 mL | RTU |
| Secondary Antibody | 5 mL | RTU |
| Chromogen Component A | 0.2 mL | RTU |
| Chromogen Component B | 4 mL | RTU |
| Signal Enhancer | 5 mL | RTU |
| Counter Staining Reagent | 5 mL | RTU |
| Mounting Media | 5 mL | RTU |
| Datasheet | 1 Copy | |
| Manual | 1 Copy |
Background Information
CCNJ (Cyclin-J) Belongs to the Cyclin family. Cyclin J is expressed in early Drosophila embryos, and it is essential for mediating intestinal epithelial cell recovery from bacterial pore-forming toxin attack in both Drosophila and mice. Upon TLR and IFN stimulation, cyclin J restrained macrophage inflammatory responses irrespective of the cell cycle control. Cyclin J interacted with CDKs and facilitated the phosphorylation of a set of CDK substrates, including FoxK1 and Drp1. Phosphorylation inhibited FoxK1-mediated expression of glycolytic genes by reducing FoxK1 nuclear localization. Cyclin J-CDK-dependent Drp1 phosphorylation also resulted in mitochondrial fission and the suppression of ROS production.
Properties
| Storage Instructions | All the reagents are stored at 2-8°C. The kit is stable for 6 months from the date of receipt. |
| Synonyms | cyclin J, Cyclin-J |


