IHCeasy® CD209 Ready-To-Use IHC Kit
CD209 Ready-to-use reagent kit for IHC.
Cat no : KHC2961
Synonyms
CDSIGN, CLEC4L, C-type lectin domain family 4 member L, DC SIGN, DC SIGN1
Validation Data Gallery View All
Product Information
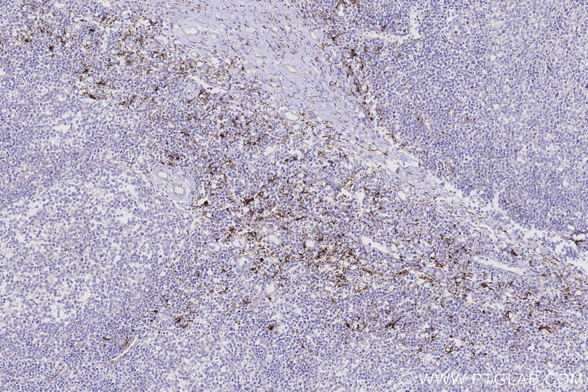
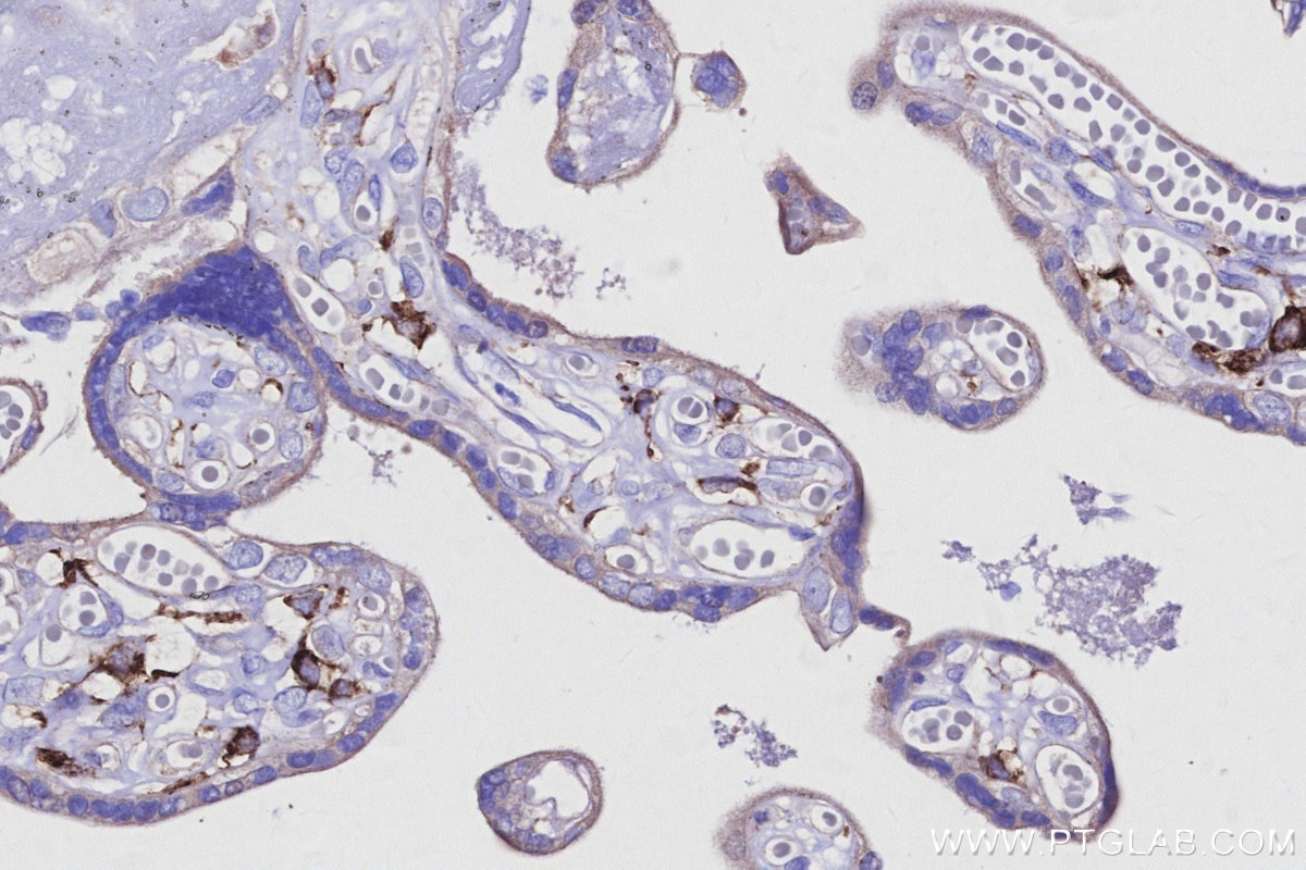
KHC2961 is a ready-to-use IHC kit for staining of CD209. The kit provides all reagents, from antigen retrieval to cover slip mounting, that require little to no diluting or handling prior to use. Simply apply the reagents to your sample slide according to the protocol and you're steps away from obtaining high-quality IHC data.
| Product name | IHCeasy® CD209 Ready-To-Use IHC Kit |
| Sample type | FFPE tissue |
| Assay type | Immunohistochemistry |
| Primary antibody type | Rabbit Polyclonal |
| Secondary antibody type | Polymer-HRP-Goat anti-Rabbit |
| Reactivity | Human |
Kit components
| Component | Size | Concentration |
|---|---|---|
| Antigen Retrieval Buffer | 100 mL | 50× |
| Washing Buffer | 100 mL ×2 | 20× |
| Blocking Buffer | 5 mL | RTU |
| Primary Antibody | 5 mL | RTU |
| Secondary Antibody | 5 mL | RTU |
| Chromogen Component A | 0.2 mL | RTU |
| Chromogen Component B | 4 mL | RTU |
| Signal Enhancer | 5 mL | RTU |
| Counter Staining Reagent | 5 mL | RTU |
| Mounting Media | 5 mL | RTU |
| Datasheet | 1 Copy | |
| Manual | 1 Copy |
Background Information
CD209 (DC-SIGN, CLEC4L) is a C-type lectin receptor that is involved in the innate immune system and recognizes numerous evolutionarily divergent pathogens, including bacteria, viruses, and parasites. CD209 is preferentially expressed on dendritic cells (DCs). It mediates transient adhesion of DCs with T cells. It has been reported that CD209 plays a role in capture and transmission of HIV from DC to T cells.
Properties
| Storage Instructions | All the reagents are stored at 2-8°C. The kit is stable for 6 months from the date of receipt. |
| Synonyms | CDSIGN, CLEC4L, C-type lectin domain family 4 member L, DC SIGN, DC SIGN1 |


