IHCeasy® COMMD5 Ready-To-Use IHC Kit
COMMD5 Ready-to-use reagent kit for IHC.
Cat no : KHC3117
Synonyms
COMM domain containing 5, COMM domain-containing protein 5, HCaRG, HT002, Hypertension-related calcium-regulated gene protein
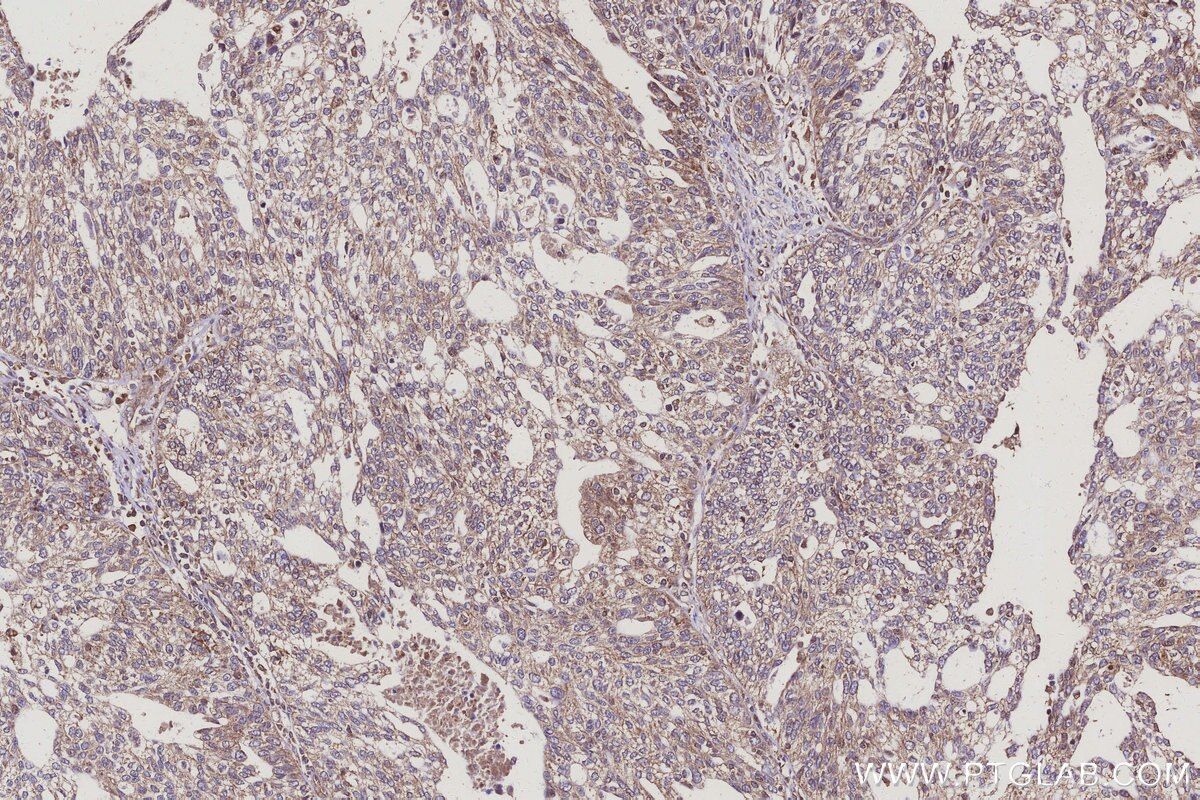
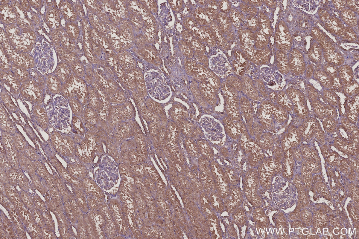
Validation Data Gallery View All
Product Information
KHC3117 is a ready-to-use IHC kit for staining of COMMD5. The kit provides all reagents, from antigen retrieval to cover slip mounting, that require little to no diluting or handling prior to use. Simply apply the reagents to your sample slide according to the protocol and you're steps away from obtaining high-quality IHC data.
| Product name | IHCeasy® COMMD5 Ready-To-Use IHC Kit | 
| Sample type | FFPE tissue | 
| Assay type | Immunohistochemistry | 
| Primary antibody type | Mouse Monoclonal | 
| Secondary antibody type | Polymer-HRP-Goat anti-Mouse | 
| Reactivity | Human | 
Kit components
| Component | Size | Concentration | 
|---|---|---|
| Antigen Retrieval Buffer | 100 mL | 50× | 
| Washing Buffer | 100 mL ×2 | 20× | 
| Blocking Buffer | 5 mL | RTU | 
| Primary Antibody | 5 mL | RTU | 
| Secondary Antibody | 5 mL | RTU | 
| Chromogen Component A | 0.2 mL | RTU | 
| Chromogen Component B | 4 mL | RTU | 
| Signal Enhancer | 5 mL | RTU | 
| Counter Staining Reagent | 5 mL | RTU | 
| Mounting Media | 5 mL | RTU | 
| Datasheet | 1 Copy | |
| Manual | 1 Copy | 
Background Information
COMM domain containing 5 (COMMD5, synonyms: HCARG, HT002) is a hypertension-related calcium-regulated gene. COMMD5 is negatively regulated by extracellular calcium concentration, and its basal mRNA levels were higher in hypertensive animals. Tissue distribution of COMMD5 shows a preponderance in the heart, stomach, jejunum, kidney (tubular fraction), liver, and adrenal gland (mainly in the medulla). COMMD5 mRNA is significantly more expressed in adult than in fetal organs, and its levels are decreased in tumors and cancerous cell lines. COMMD5 protein has no transmembrane domain, but contains 67% -helix content, a calcium-binding site, four putative "leucine zipper" motifs, and a nuclear receptor-binding domain. At the subcellular level, COMMD5 shows a nuclear localization.
Properties
| Storage Instructions | All the reagents are stored at 2-8°C. The kit is stable for 6 months from the date of receipt. | 
| Synonyms | COMM domain containing 5, COMM domain-containing protein 5, HCaRG, HT002, Hypertension-related calcium-regulated gene protein | 



