IHCeasy® CYP1A2 Ready-To-Use IHC Kit
CYP1A2 Ready-to-use reagent kit for IHC.
Cat no : KHC3172
Synonyms
Cholesterol 25-hydroxylase, CP12, CP1A2, CYPIA2, Cytochrome P(3)450
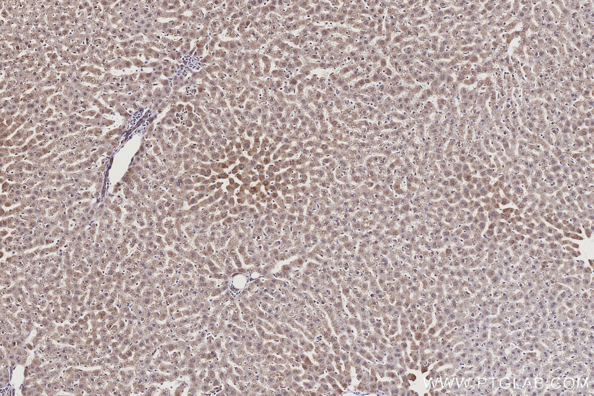
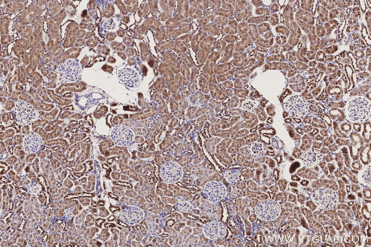
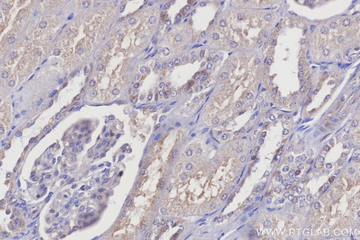
Validation Data Gallery View All
Product Information
KHC3172 is a ready-to-use IHC kit for staining of CYP1A2. The kit provides all reagents, from antigen retrieval to cover slip mounting, that require little to no diluting or handling prior to use. Simply apply the reagents to your sample slide according to the protocol and you're steps away from obtaining high-quality IHC data.
| Product name | IHCeasy® CYP1A2 Ready-To-Use IHC Kit |
| Sample type | FFPE tissue |
| Assay type | Immunohistochemistry |
| Primary antibody type | Rabbit Polyclonal |
| Secondary antibody type | Polymer-HRP-Goat anti-Rabbit |
| Reactivity | Human, Rat |
Kit components
| Component | Size | Concentration |
|---|---|---|
| Antigen Retrieval Buffer | 100 mL | 50× |
| Washing Buffer | 100 mL ×2 | 20× |
| Blocking Buffer | 5 mL | RTU |
| Primary Antibody | 5 mL | RTU |
| Secondary Antibody | 5 mL | RTU |
| Chromogen Component A | 0.2 mL | RTU |
| Chromogen Component B | 4 mL | RTU |
| Signal Enhancer | 5 mL | RTU |
| Counter Staining Reagent | 5 mL | RTU |
| Mounting Media | 5 mL | RTU |
| Datasheet | 1 Copy | |
| Manual | 1 Copy |
Background Information
CYP1A2, also named as CP12; P3-450 and P450(PA), belongs to the cytochrome P450 family. Cytochromes P450 are a group of heme-thiolate monooxygenases. In liver microsomes, CYP1A2 is involved in an NADPH-dependent electron transport pathway. It oxidizes a variety of structurally unrelated compounds, including steroids, fatty acids, and xenobiotics. Most active of CYP1A2 is in catalyzing 2-hydroxylation. Caffeine is metabolized primarily by cytochrome CYP1A2 in the liver through an initial N3-demethylation. It also acts in the metabolism of aflatoxin B1 and acetaminophen. CYP1A2 participates in the bioactivation of carcinogenic aromatic and heterocyclic amines.
Properties
| Storage Instructions | All the reagents are stored at 2-8°C. The kit is stable for 6 months from the date of receipt. |
| Synonyms | Cholesterol 25-hydroxylase, CP12, CP1A2, CYPIA2, Cytochrome P(3)450 |



