IHCeasy® EXOSC1 Ready-To-Use IHC Kit
EXOSC1 Ready-to-use reagent kit for IHC.
Cat no : KHC3061
Synonyms
CGI-108, CSL4, Csl4p, Exosome complex component CSL4, Exosome component 1
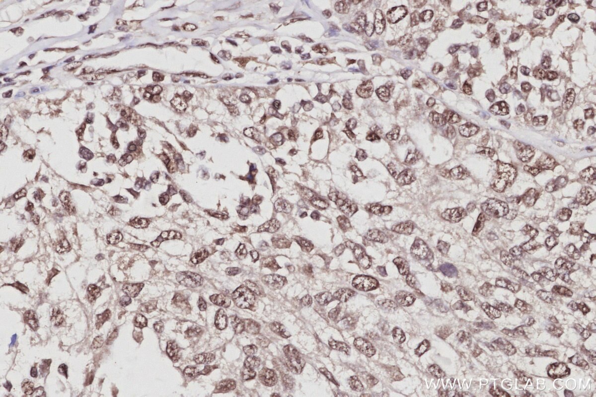
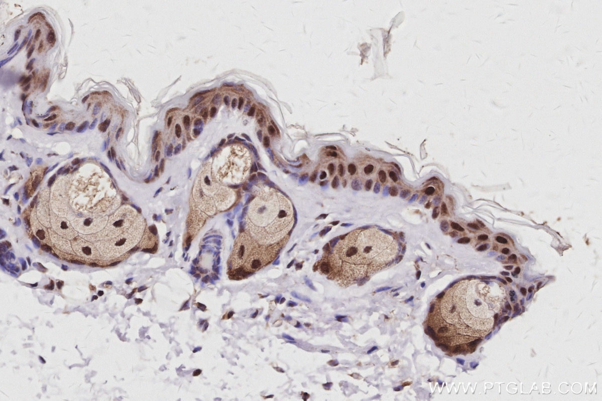
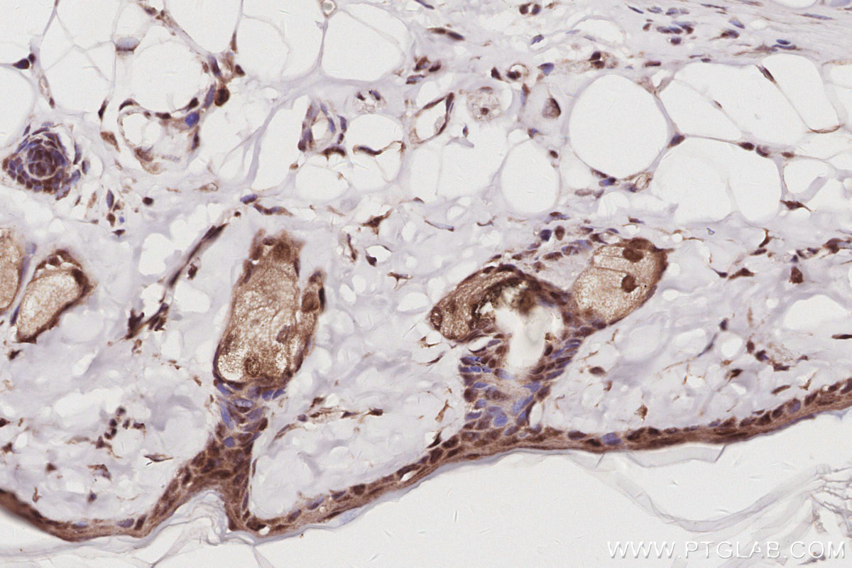
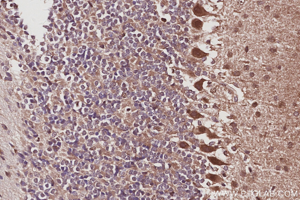
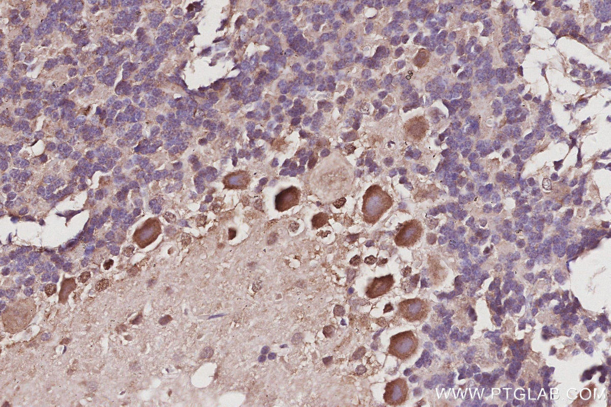
Validation Data Gallery View All
Product Information
KHC3061 is a ready-to-use IHC kit for staining of EXOSC1. The kit provides all reagents, from antigen retrieval to cover slip mounting, that require little to no diluting or handling prior to use. Simply apply the reagents to your sample slide according to the protocol and you're steps away from obtaining high-quality IHC data.
| Product name | IHCeasy® EXOSC1 Ready-To-Use IHC Kit |
| Sample type | FFPE tissue |
| Assay type | Immunohistochemistry |
| Primary antibody type | Rabbit Polyclonal |
| Secondary antibody type | Polymer-HRP-Goat anti-Rabbit |
| Reactivity | Human, Mouse, Rat |
Kit components
| Component | Size | Concentration |
|---|---|---|
| Antigen Retrieval Buffer | 100 mL | 50× |
| Washing Buffer | 100 mL ×2 | 20× |
| Blocking Buffer | 5 mL | RTU |
| Primary Antibody | 5 mL | RTU |
| Secondary Antibody | 5 mL | RTU |
| Chromogen Component A | 0.2 mL | RTU |
| Chromogen Component B | 4 mL | RTU |
| Signal Enhancer | 5 mL | RTU |
| Counter Staining Reagent | 5 mL | RTU |
| Mounting Media | 5 mL | RTU |
| Datasheet | 1 Copy | |
| Manual | 1 Copy |
Background Information
EXOSC1 is a core component of the exosome. The mammalian exosome is required for rapid degradation of AU rich element-containing RNAs but not for poly(A) shortening.
Properties
| Storage Instructions | All the reagents are stored at 2-8°C. The kit is stable for 6 months from the date of receipt. |
| Synonyms | CGI-108, CSL4, Csl4p, Exosome complex component CSL4, Exosome component 1 |





