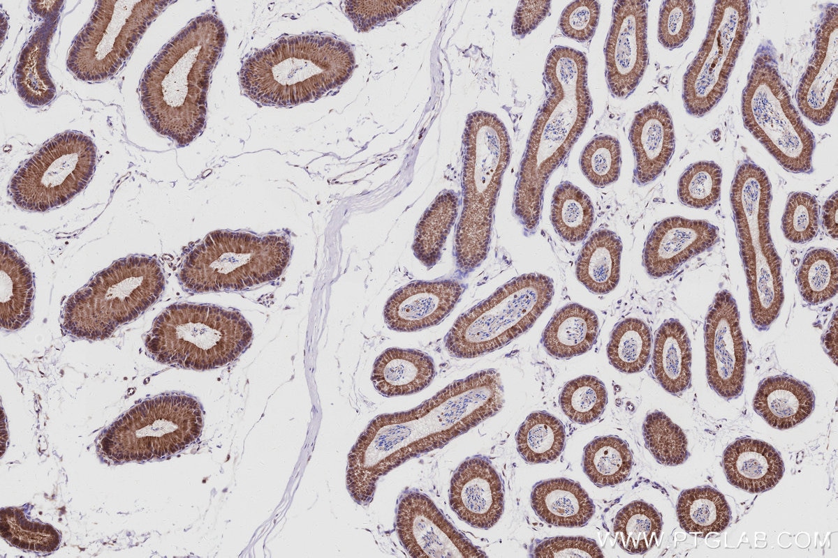
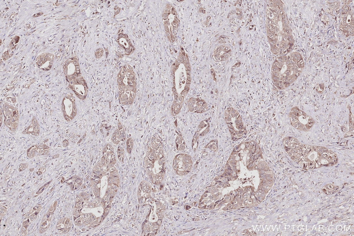
IHCeasy® FBX4 Ready-To-Use IHC Kit
FBX4 Ready-to-use reagent kit for IHC.
Cat no : KHC3029
Synonyms
FBXO4, F box only protein 4, F box protein 4, F-box only protein 4
Validation Data Gallery View All
Product Information
KHC3029 is a ready-to-use IHC kit for staining of FBX4. The kit provides all reagents, from antigen retrieval to cover slip mounting, that require little to no diluting or handling prior to use. Simply apply the reagents to your sample slide according to the protocol and you're steps away from obtaining high-quality IHC data.
| Product name | IHCeasy® FBX4 Ready-To-Use IHC Kit |
| Sample type | FFPE tissue |
| Assay type | Immunohistochemistry |
| Primary antibody type | Rabbit Polyclonal |
| Secondary antibody type | Polymer-HRP-Goat anti-Rabbit |
| Reactivity | Human, Mouse |
Kit components
| Component | Size | Concentration |
|---|---|---|
| Antigen Retrieval Buffer | 100 mL | 50× |
| Washing Buffer | 100 mL ×2 | 20× |
| Blocking Buffer | 5 mL | RTU |
| Primary Antibody | 5 mL | RTU |
| Secondary Antibody | 5 mL | RTU |
| Chromogen Component A | 0.2 mL | RTU |
| Chromogen Component B | 4 mL | RTU |
| Signal Enhancer | 5 mL | RTU |
| Counter Staining Reagent | 5 mL | RTU |
| Mounting Media | 5 mL | RTU |
| Datasheet | 1 Copy | |
| Manual | 1 Copy |
Background Information
FBX4 (F-Box Protein 4), also known as FBXO4, is a member of the F-box protein family. FBX4 is involved in the ubiquitination of various target proteins, leading to their degradation. It has been shown to regulate the cell cycle by targeting proteins such as cyclin D1 for ubiquitination and degradation. Mutations in FBX4 have been linked to various diseases, including spermatogenic failure and esophageal cancer. In cancer, FBX4 has been shown to act as a tumor suppressor. Loss of FBX4 function can lead to increased cell proliferation and tumor development. For example, FBX4 knockout mice have been shown to develop various tumors, including lymphoblastic lymphoma and mammary carcinoma.
Properties
| Storage Instructions | All the reagents are stored at 2-8°C. The kit is stable for 6 months from the date of receipt. |
| Synonyms | FBXO4, F box only protein 4, F box protein 4, F-box only protein 4 |



