IHCeasy® FZR1 Ready-To-Use IHC Kit
FZR1 Ready-to-use reagent kit for IHC.
Cat no : KHC3039
Synonyms
CDC20 like protein 1, CDC20C, CDC20-like protein 1, CDH1, Cdh1/Hct1 homolog
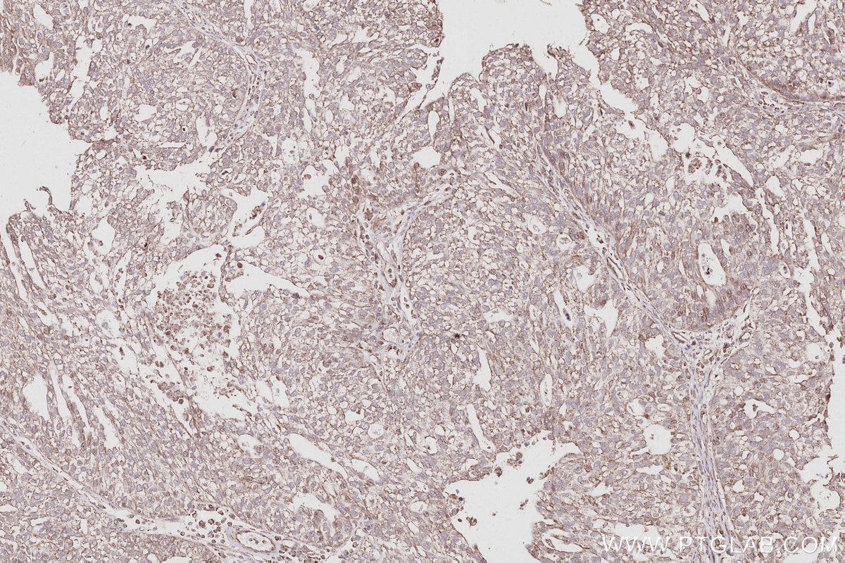
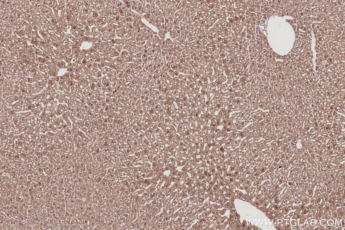
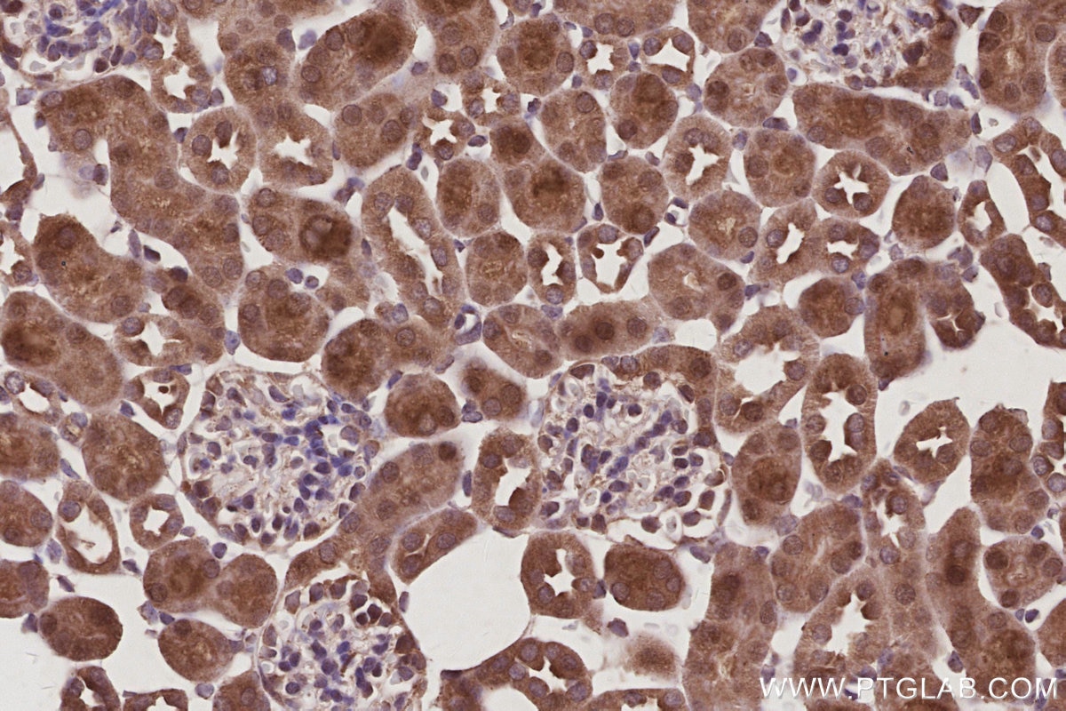
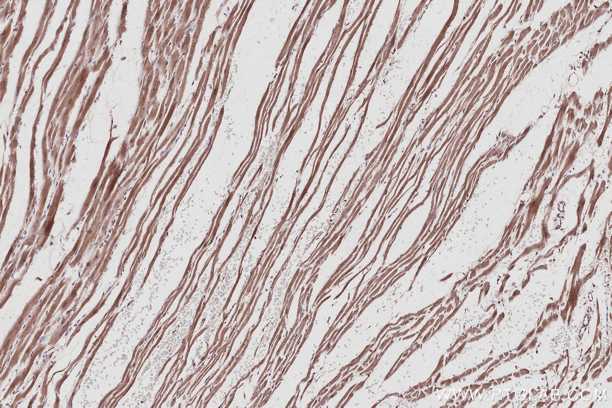
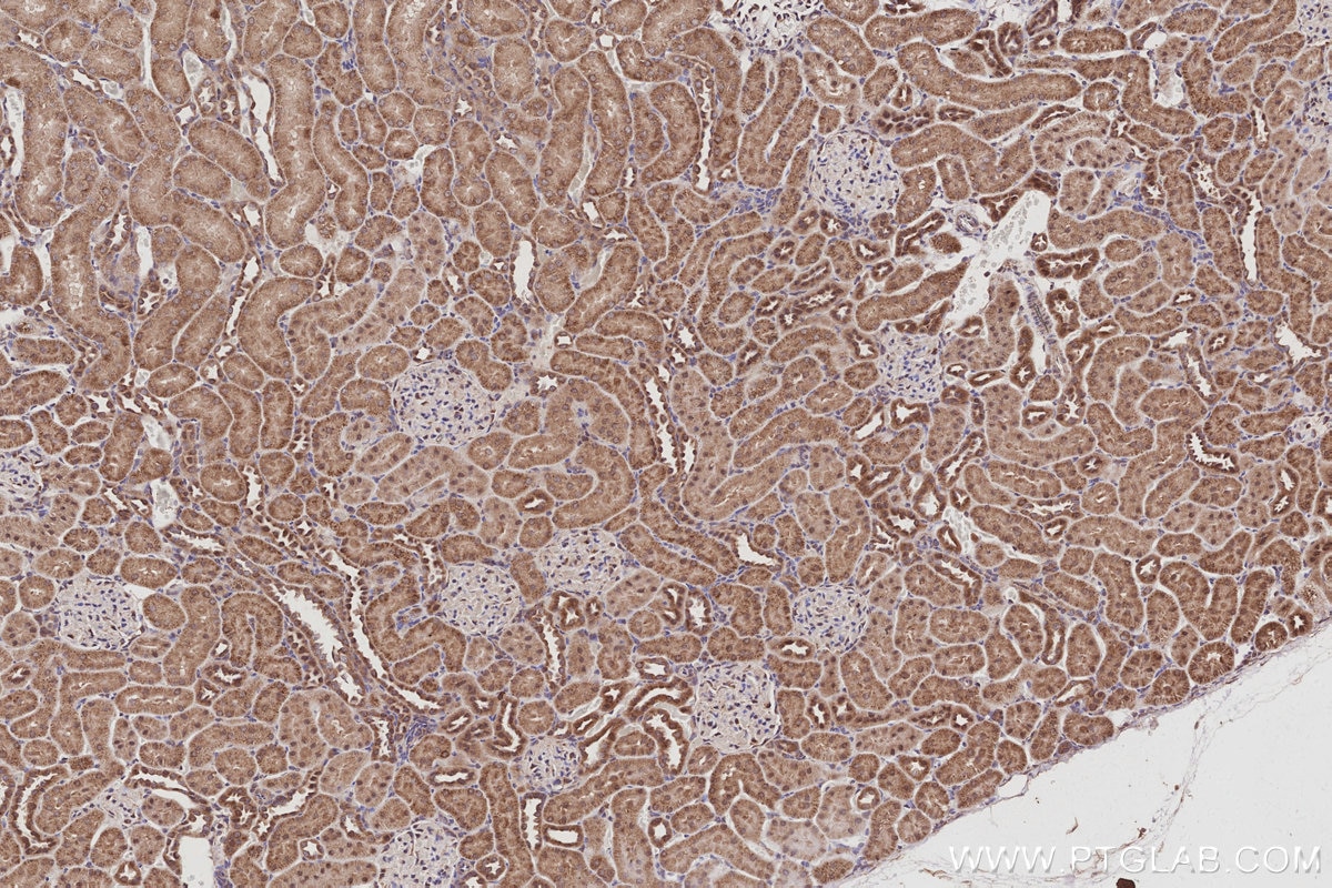
Validation Data Gallery View All
Product Information
KHC3039 is a ready-to-use IHC kit for staining of FZR1. The kit provides all reagents, from antigen retrieval to cover slip mounting, that require little to no diluting or handling prior to use. Simply apply the reagents to your sample slide according to the protocol and you're steps away from obtaining high-quality IHC data.
| Product name | IHCeasy® FZR1 Ready-To-Use IHC Kit |
| Sample type | FFPE tissue |
| Assay type | Immunohistochemistry |
| Primary antibody type | Rabbit Polyclonal |
| Secondary antibody type | Polymer-HRP-Goat anti-Rabbit |
| Reactivity | Human, Mouse, Rat |
Kit components
| Component | Size | Concentration |
|---|---|---|
| Antigen Retrieval Buffer | 100 mL | 50× |
| Washing Buffer | 100 mL ×2 | 20× |
| Blocking Buffer | 5 mL | RTU |
| Primary Antibody | 5 mL | RTU |
| Secondary Antibody | 5 mL | RTU |
| Chromogen Component A | 0.2 mL | RTU |
| Chromogen Component B | 4 mL | RTU |
| Signal Enhancer | 5 mL | RTU |
| Counter Staining Reagent | 5 mL | RTU |
| Mounting Media | 5 mL | RTU |
| Datasheet | 1 Copy | |
| Manual | 1 Copy |
Background Information
FZR1 gene, also named as FYR, FZR and KIAA1242, has been previously shown to be mutated in lobular breast carcinomas. Direct evidence of FZR1 mutations triggering tumorigenesis has been investigated. FZR1 is a key regulator of ligase activity of the anaphase promoting complex/cyclosome (APC/C) which is playing vital role s in cell cycle progression. There are 7 WD-repeat domains in FZR1. Upon phosphorylation and dephosphorylation, it interacts with other components to modulate cell mitosis.
Properties
| Storage Instructions | All the reagents are stored at 2-8°C. The kit is stable for 6 months from the date of receipt. |
| Synonyms | CDC20 like protein 1, CDC20C, CDC20-like protein 1, CDH1, Cdh1/Hct1 homolog |






